Перейти к содержанию
Стоматология для всех

Боль при давлении на депульпированный зуб


Clauszzz

Рекомендуемые сообщения

Добрый день. Прошу помощи в следующей ситуации:

Лечили пульпит 30-го зуба, после пломбирования каналов (гуттаперчей, горячим методом) в течение пары недель (была установлена временная пломба) ощущалась боль при надавливании на зуб. Боль не прошла, пришлось распломбировать один из каналов, в котором предположительно была проблема (пластиковый "штифт", кажется).

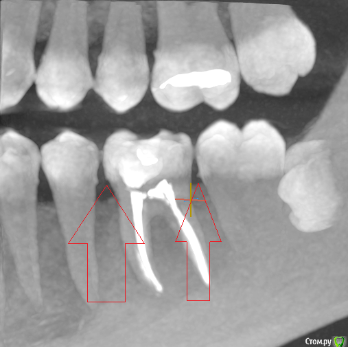
После распломбировки одного канала ожидали полторы недели, боль осталась, на следующем приеме распломбировали все каналы, поставили временную пломбу. Перед приемом был сделан снимок 30-го зуба и двух ближайших зубов. Прошло еще пару дней, зуб все так же болит при надавливании. В чем (хотя бы ориентировочно) может быть проблема? На снимке (фото которого прилагаю) видно, что материал не выходит за верхушку корня. Трещин, кажется, тоже нет. Но в чем тогда проблема?( Если боль не пройдет, я, честно говоря, даже и не знаю, что делать...

post-57474-0-25914600-1554047344_thumb.png

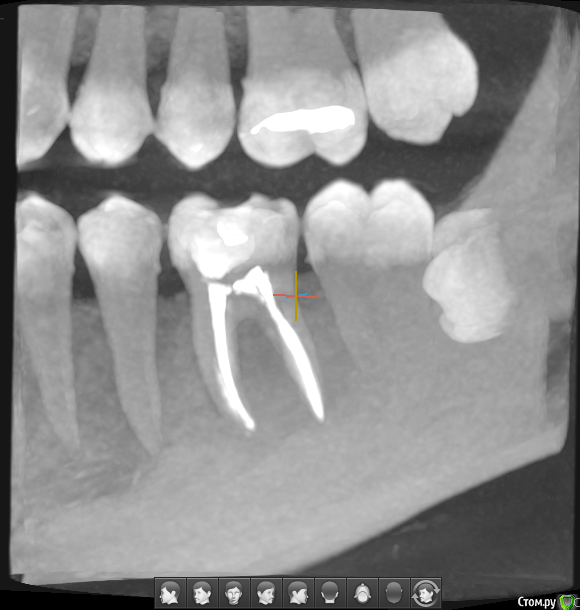
post-57474-0-40026400-1554047351_thumb.png

Ссылка на комментарий

Доброго. Речь скорее всего о 36 зубе. У Вас имеются зубные отложения (камни см.рис.) которые так же могут поддерживать воспалительный процесс влияющий на возникновение болей в зубе при надавливании. Также необходимо дифференцировать нет ли болевого синдрома из-за 38 зуба ( неправильное положение с упором в 37 ). Если даже все вышеперечисленное не является причиной болей , то может болеть зуб , иногда бывают ответвления в сторону от канала ближе к верхушке корня , которые пройти ( пролечить) крайне затруднительно , или не представляется возможным физически ....исключите сначала 2 первых пункта. 

post-38597-0-75696700-1554055497_thumb.png

  • Поддерживаю 1
Ссылка на комментарий

Доброго. Речь скорее всего о 36 зубе. У Вас имеются зубные отложения (камни см.рис.) которые так же могут поддерживать воспалительный процесс влияющий на возникновение болей в зубе при надавливании. Также необходимо дифференцировать нет ли болевого синдрома из-за 38 зуба ( неправильное положение с упором в 37 ). Если даже все вышеперечисленное не является причиной болей , то может болеть зуб , иногда бывают ответвления в сторону от канала ближе к верхушке корня , которые пройти ( пролечить) крайне затруднительно , или не представляется возможным физически ....исключите сначала 2 первых пункта. 

Спасибо большое за ответ! Приму Ваши рекомендации и продолжу лечение.

Ссылка на комментарий

Для публикации сообщений создайте учётную запись или авторизуйтесь

Вы должны быть пользователем, чтобы оставить комментарий

Создать аккаунт

Зарегистрируйте новый аккаунт в нашем сообществе. Это очень просто!

Регистрация нового пользователя

Войти

Уже есть аккаунт? Войти в систему.

Войти
×
×
  • Создать...
Вверх