Kristy2 Опубликовано 29 марта, 2019 Поделиться Опубликовано 29 марта, 2019 Здравствуйте! Скажите, пожалуйста, можно ли поставить брекеты если нет 6 зубов в том числе жевательных? Или сначала нужно делать импланты?Дело в том, что я сейчас прохожу лечение парадонтита. Врач-парадонтолог сказала, что мне нужно скорее ставить съемные протезы, иначе зубы начнут двигаться В связи с этим я подумала, может мне сначала исправить кривизну сверху и снизу? У меня сильная скученность зубов. Маленькая челюсть и крупные зубы. Может сейчас когда нет зубов с помощью брекетов можно их подвинуть? Ссылка на комментарий
Yana guapa Опубликовано 2 апреля, 2019 Поделиться Опубликовано 2 апреля, 2019 все зависит от ситуации. без фотографий трудно что-то посоветовать. (кому-то ставят импланты, а потом брекеты, кому-то наоборот. Потому что разные ситуации, разные задачи) Ссылка на комментарий
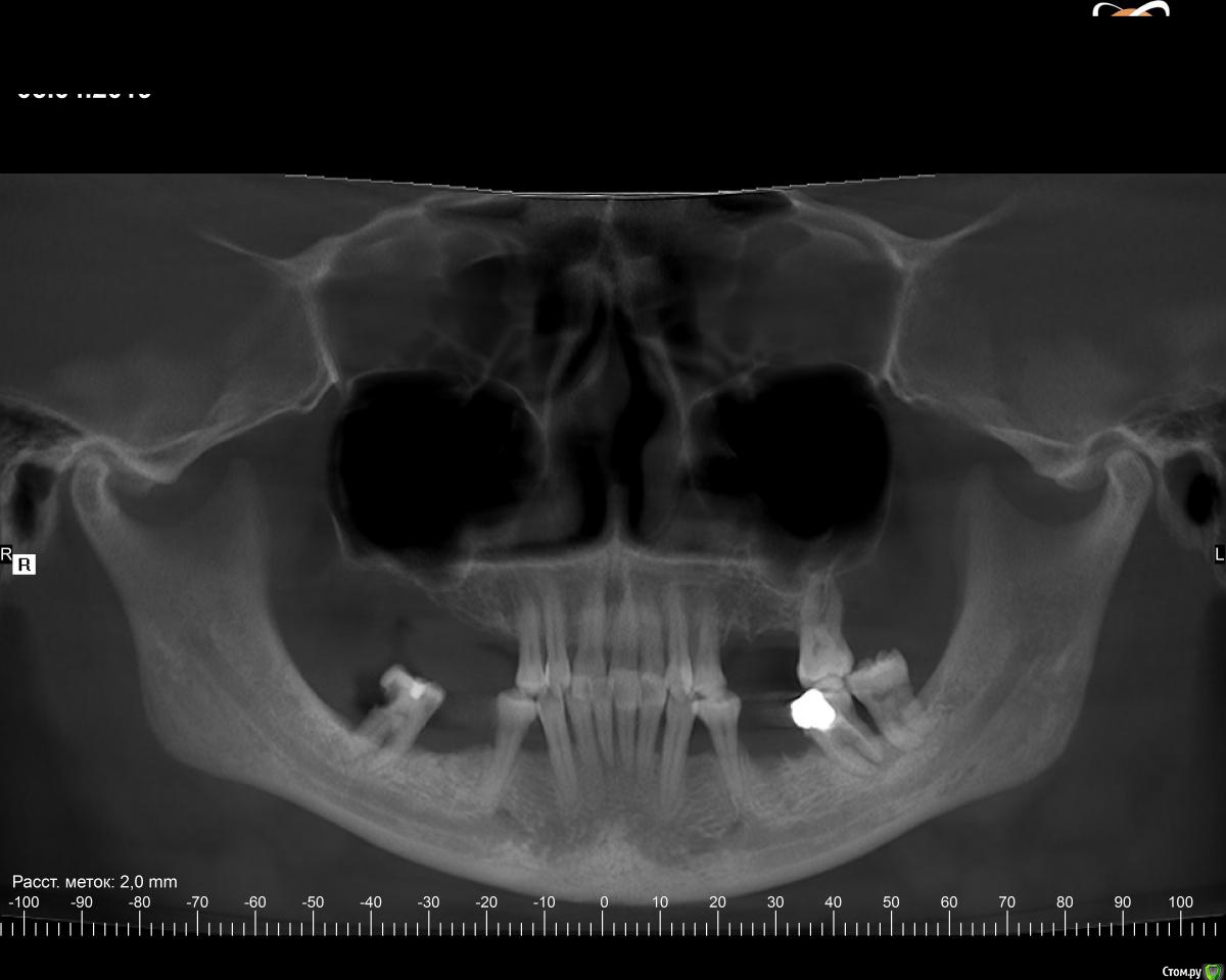
Kristy2 Опубликовано 7 апреля, 2019 Автор Поделиться Опубликовано 7 апреля, 2019 (изменено) все зависит от ситуации. без фотографий трудно что-то посоветовать. (кому-то ставят импланты, а потом брекеты, кому-то наоборот. Потому что разные ситуации, разные задачи)Здравствуйте! Спасибо за ответ Снимок прикрепила Ходила на консультацию к ортодонту. Сказала, ставить брекеты не ранее, чем через полгода, когда десна придут в порядок. Ставить только на верхнюю челюсть, так как снизу десны уже мало у некоторых зубов, шейки оголены. Какую-то лоскутную операцию надо делать вроде как Изменено 7 апреля, 2019 пользователем Kristy2 Ссылка на комментарий
red_butler Опубликовано 7 апреля, 2019 Поделиться Опубликовано 7 апреля, 2019 http://forum.stom.ru/topic/4655-patcientam/ Ссылка на комментарий
kramer Опубликовано 7 апреля, 2019 Поделиться Опубликовано 7 апреля, 2019 Не думаю, что здесь брекеты помогут. Ссылка на комментарий
Рекомендуемые сообщения
Для публикации сообщений создайте учётную запись или авторизуйтесь
Вы должны быть пользователем, чтобы оставить комментарий
Создать аккаунт
Зарегистрируйте новый аккаунт в нашем сообществе. Это очень просто!
Регистрация нового пользователяВойти
Уже есть аккаунт? Войти в систему.
Войти