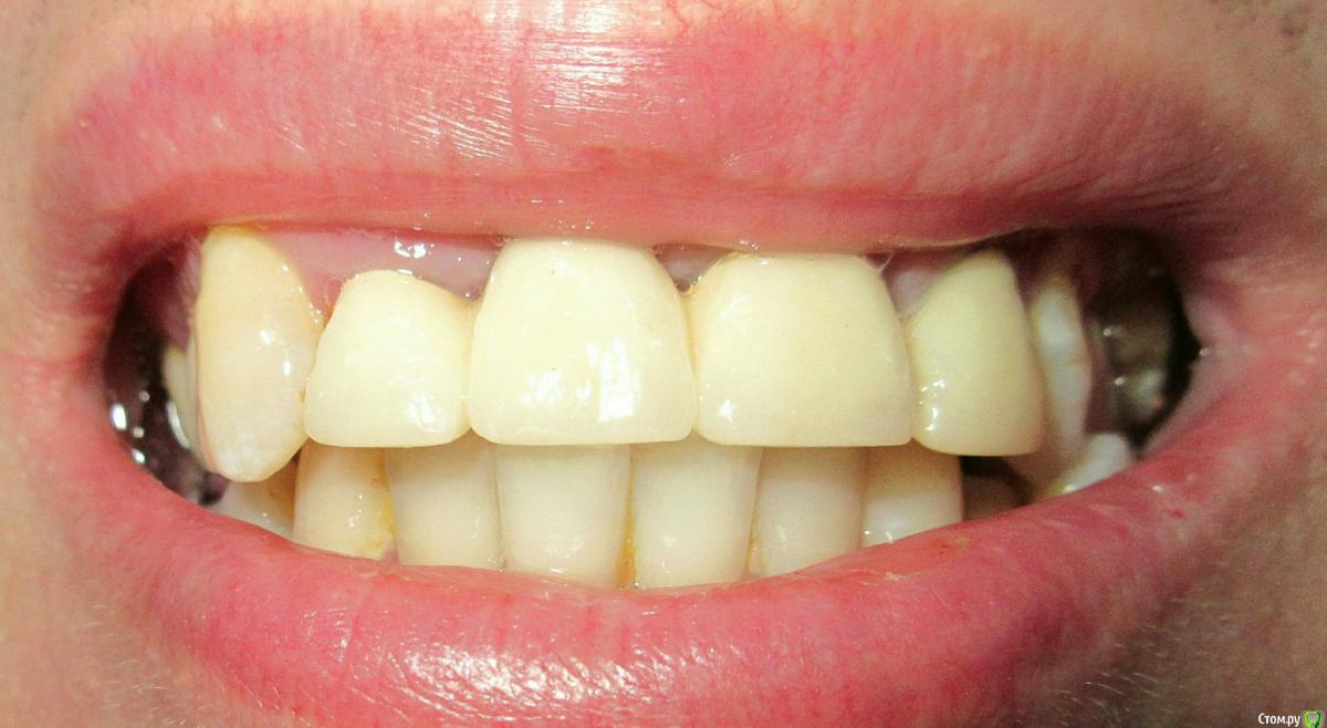
Mr_Zorg Опубликовано 28 марта, 2019 Поделиться Опубликовано 28 марта, 2019 (изменено) Месяц назад установили металлакерамический мостик на 12, 11(нет), 21, 22 зуб . 12 и 22 зуб не примыкают к нижним зубам как 11 и 12. Толщина резцов такая что не откусываю, а мну пищу. При разговоре задеваю данным протезом об верхнюю губу, изменилась дикция. Плохо заполированы о чем было сказано стоматологу. Неверный угол наклона протеза?Могули я подать заявление на переделку протеза? Изменено 28 марта, 2019 пользователем Mr_Zorg Ссылка на комментарий
Mr_Zorg Опубликовано 28 марта, 2019 Автор Поделиться Опубликовано 28 марта, 2019 (изменено) До этого было так, тонкие резцы. Изменено 28 марта, 2019 пользователем Mr_Zorg Ссылка на комментарий
chervoncevdaniil Опубликовано 28 марта, 2019 Поделиться Опубликовано 28 марта, 2019 Судя по фото,все у вас примыкает к нижним зубам Ссылка на комментарий
Mr_Zorg Опубликовано 28 марта, 2019 Автор Поделиться Опубликовано 28 марта, 2019 (изменено) Судя по фото,все у вас примыкает к нижним зубам расстояние от нижних зубов и и угол протеза. И засчёт толщины резующеи кромки резца я задевают при разговоре губой. Дискомфорт как будто хожу с капои. Изменено 28 марта, 2019 пользователем Mr_Zorg Ссылка на комментарий
red_butler Опубликовано 29 марта, 2019 Поделиться Опубликовано 29 марта, 2019 Покажите панорамный снимок Ссылка на комментарий
chervoncevdaniil Опубликовано 29 марта, 2019 Поделиться Опубликовано 29 марта, 2019 Протез на постоянном цементе зафиксирован? Ссылка на комментарий
Mr_Zorg Опубликовано 29 марта, 2019 Автор Поделиться Опубликовано 29 марта, 2019 Покажите панорамный снимок такого снимка ннт Ссылка на комментарий
Mr_Zorg Опубликовано 29 марта, 2019 Автор Поделиться Опубликовано 29 марта, 2019 Протез на постоянном цементе зафиксирован?Да Ссылка на комментарий
Mr_Zorg Опубликовано 6 апреля, 2019 Автор Поделиться Опубликовано 6 апреля, 2019 Так что скажите? Ссылка на комментарий
AndyAndy Опубликовано 6 апреля, 2019 Поделиться Опубликовано 6 апреля, 2019 Так получилось из-за особенностей вашего прикуса. Видно, что он у вас перекрестный в боковом отделе. Интересно бы посмотреть на ваши фронтальные зубы до удаления и протезирования. Ссылка на комментарий
Рекомендуемые сообщения
Для публикации сообщений создайте учётную запись или авторизуйтесь
Вы должны быть пользователем, чтобы оставить комментарий
Создать аккаунт
Зарегистрируйте новый аккаунт в нашем сообществе. Это очень просто!
Регистрация нового пользователяВойти
Уже есть аккаунт? Войти в систему.
Войти