Sagaydak Aleksandr Опубликовано 27 марта, 2019 Поделиться Опубликовано 27 марта, 2019 Здравствуйте. Нужен совет более опытных коллег. Моя первая работа на e.max. Виниры от 3.3 по 4.3. Слепки не получилось снять в день обработки, повторно прокладывать нити в этот день не стал. Сделал времянки, приклеил точечно на адгезив. Назначил через неделю повторно слепки снимать. На повторном приёме пациент жалуется на чувствительность зубов от температурный раздражителей. А теперь вопросы. Должны ли зубы под времянками чувствовать холод и тепло? Будут ли они под постоянными конструкция и чувствовительны? Если будут, то что делать? Как облегчить процесс демонтажа времянок? На повторном приёме потратил на это почти час. Спасибо за внимание. Ссылка на комментарий
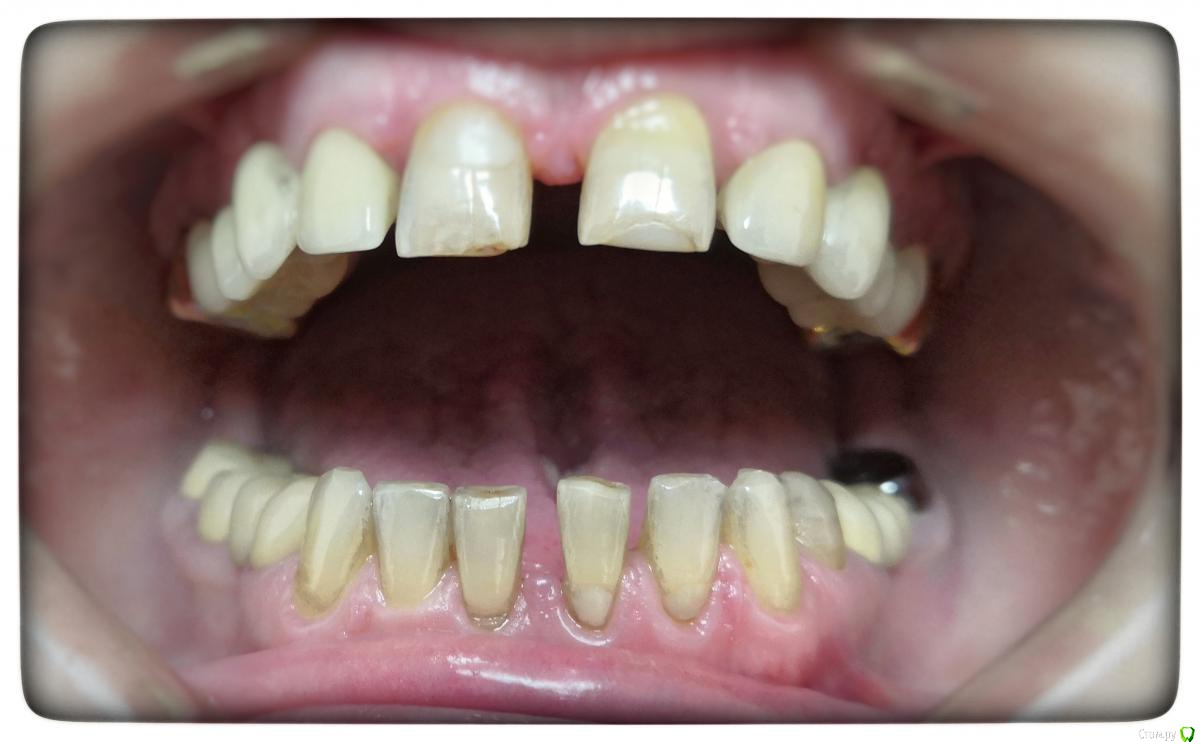
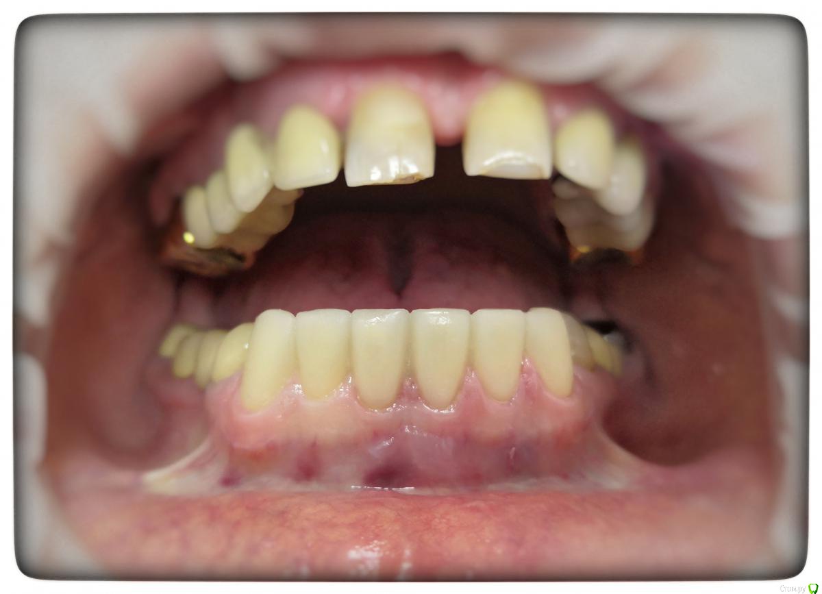
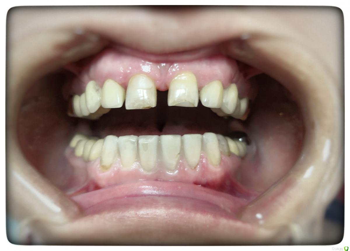
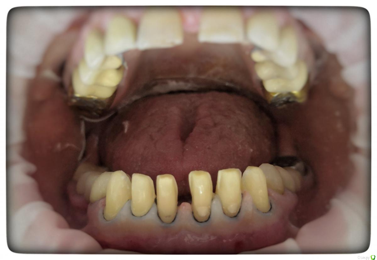
Sagaydak Aleksandr Опубликовано 27 марта, 2019 Автор Поделиться Опубликовано 27 марта, 2019 Фото Ссылка на комментарий
Sagaydak Aleksandr Опубликовано 27 марта, 2019 Автор Поделиться Опубликовано 27 марта, 2019 . Ссылка на комментарий
Sagaydak Aleksandr Опубликовано 27 марта, 2019 Автор Поделиться Опубликовано 27 марта, 2019 Препарировал через мокап. Ссылка на комментарий
makinos Опубликовано 29 марта, 2019 Поделиться Опубликовано 29 марта, 2019 зубы могут быть чувствительными, это нормально. у вас же времянки не герметичны, а зубы живые. под постоянными конструкциями может быть легкая чувствительность первое время. я пасты для чувствительных зубов назначаю. самое главное при фиксации не пересушить и не перетравить. чтобы легче снималось используйте меньше адгезива для фиксации Ссылка на комментарий
chervoncevdaniil Опубликовано 29 марта, 2019 Поделиться Опубликовано 29 марта, 2019 Быстропроходящая чувствительность может быть Ссылка на комментарий
Sagaydak Aleksandr Опубликовано 29 марта, 2019 Автор Поделиться Опубликовано 29 марта, 2019 Спасибо) Ссылка на комментарий
Sagaydak Aleksandr Опубликовано 18 апреля, 2019 Автор Поделиться Опубликовано 18 апреля, 2019 Зафиксировал виниры. Прошло 1,5 недели. Пациент отмечает продолжение чувствительны от температурный раздражителей. Фиксировал под анестезией, три часа. Под конец фиксации пациент отмечал очень сильную чувствительность, через два дня отметил небольшое облегчение. По ночам все спокойно. Назначил пасты для снижения чувствительности. Два раза обработал зубы десенсетином. Подскажите, дальше наблюдать или может все вообще переделать? Ссылка на комментарий
chervoncevdaniil Опубликовано 18 апреля, 2019 Поделиться Опубликовано 18 апреля, 2019 Так а какой смысл переделывать,у вас же там нет зазоров по границе или неполной посадки виниров,чтобы переделка конструкции решила вопрос,плюс от спиливание пресс керамики с живых зубов то еще удовольствие.Тут вариант либо ждать,либо депульпировать..Что одно,что другое не требует снятия виниров,вопрос как пациент на это отреагирует.Зуб на горячие раздражители чувствителен или только холод? 1 Ссылка на комментарий
Дмитрий Л. Опубликовано 18 апреля, 2019 Поделиться Опубликовано 18 апреля, 2019 Сделайте каппу и мипасту или тус мус на ночь, можно нпвс на пару дней назначить, если не поможет - депульпировать, снимать виниры нет смысла, если только дело не в прилегании. Ссылка на комментарий
Sagaydak Aleksandr Опубликовано 18 апреля, 2019 Автор Поделиться Опубликовано 18 апреля, 2019 Сегодня был осмотр. При зондировании чувствительная зона пришейки ниже границы прилегания. По прилеганию все хорошо, все сидит на своих местах. Попробую сделать каппу как посоветовали. Ссылка на комментарий
chervoncevdaniil Опубликовано 18 апреля, 2019 Поделиться Опубликовано 18 апреля, 2019 Сегодня был осмотр. При зондировании чувствительная зона пришейки ниже границы прилегания. По прилеганию все хорошо, все сидит на своих местах. Попробую сделать каппу как посоветовали.Во время препа не могли за границей чего напилить?У меня был один раз случай,у пациента стояла штамповка я снял и сделал циркониевую коронку,но уступ сделал вровень с десной,а у него до этого было под десну наточено и тоже была чувствительность ниже границы препа Ссылка на комментарий
Sagaydak Aleksandr Опубликовано 19 апреля, 2019 Автор Поделиться Опубликовано 19 апреля, 2019 Во время препа не могли за границей чего напилить?У меня был один раз случай,у пациента стояла штамповка я снял и сделал циркониевую коронку,но уступ сделал вровень с десной,а у него до этого было под десну наточено и тоже была чувствительность ниже границы препаНе знаю. Вроде нет. Но препарирую без оптики, к сожалению, так что может. Ссылка на комментарий
Паращук Роман Опубликовано 22 апреля, 2019 Поделиться Опубликовано 22 апреля, 2019 Каппу с тусмуссом на неделю,по пару часов в день. Пару раз было аналогичное,такой вариант спасал. Ссылка на комментарий
Рекомендуемые сообщения
Для публикации сообщений создайте учётную запись или авторизуйтесь
Вы должны быть пользователем, чтобы оставить комментарий
Создать аккаунт
Зарегистрируйте новый аккаунт в нашем сообществе. Это очень просто!
Регистрация нового пользователяВойти
Уже есть аккаунт? Войти в систему.
Войти