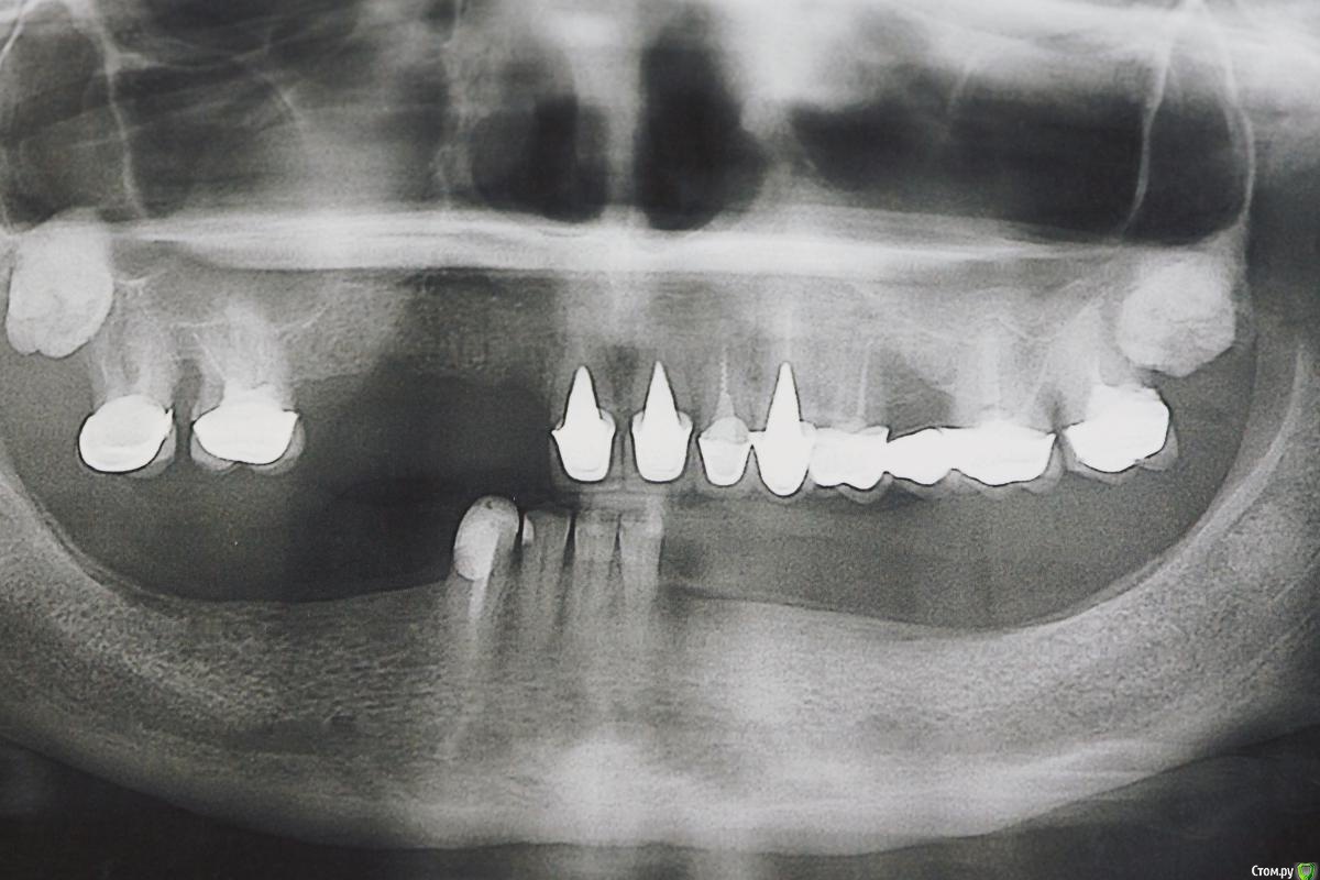
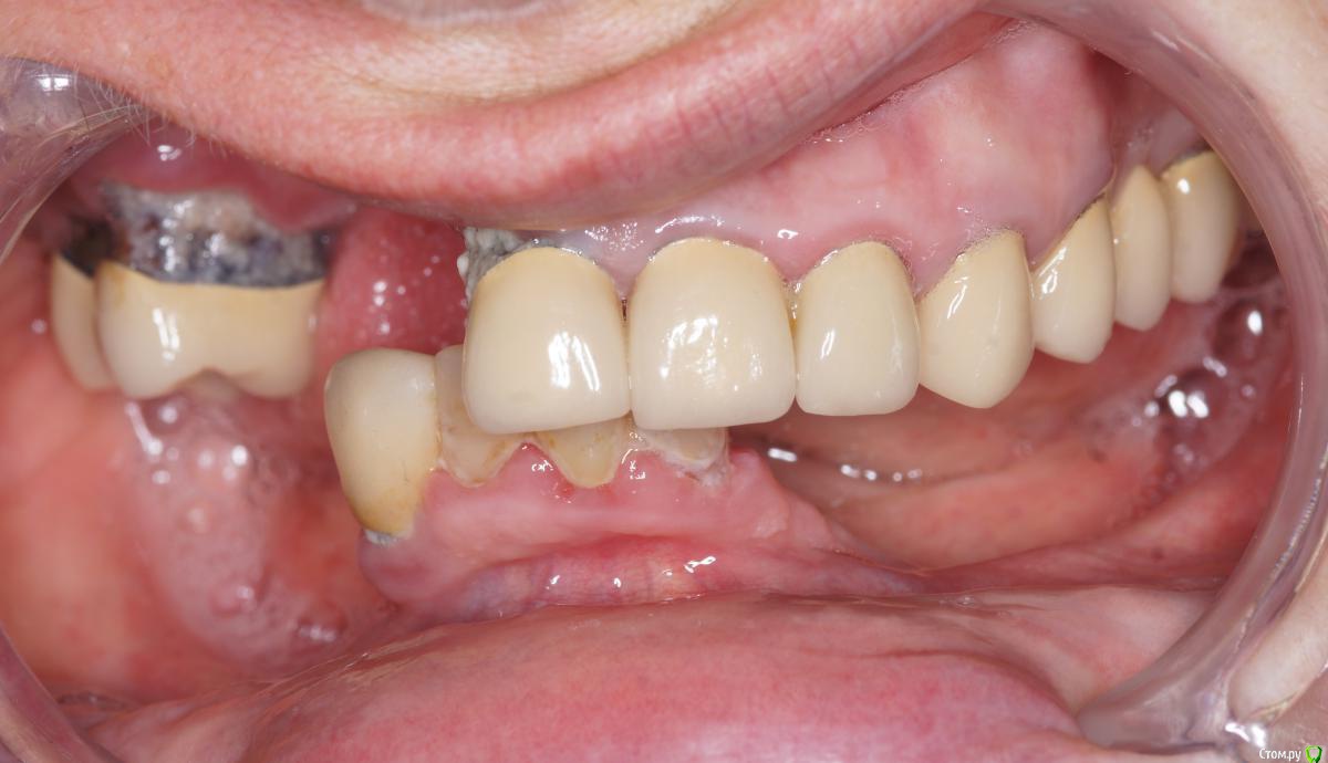
Dman Опубликовано 13 марта, 2019 Поделиться Опубликовано 13 марта, 2019 (изменено) Обратилась пациентка, панорама 2012 панорама 2018 Сейчас по ощущениям еще хуже Если с низом более или менее понятно, 4 винта и балка, чтобы разгрузить кость, то сверху вообще непонятно. Желание пациента жить и жевать. За эти 7 лет поменяли 7 съемных протезов, все они ей натирали и плохо держались. Анамнез чист, принимает только эстрогены Если есть кто-то из тольятти, кто готов взять пациента, с удовольствием передам контакты. Изменено 13 марта, 2019 пользователем Dman Ссылка на комментарий
АнтонТЛТ Опубликовано 13 марта, 2019 Поделиться Опубликовано 13 марта, 2019 Кто-то есть)) Ссылка на комментарий
Dman Опубликовано 13 марта, 2019 Автор Поделиться Опубликовано 13 марта, 2019 Кто-то есть))Отлично, какую тактику предложите? Отправлять лс вам не могу Ссылка на комментарий
колесников Опубликовано 13 марта, 2019 Поделиться Опубликовано 13 марта, 2019 Мне больше не нравится область 14-12. Чтобы сделать там красиво ,надо сильно постараться. И не раз. Ссылка на комментарий
АнтонТЛТ Опубликовано 13 марта, 2019 Поделиться Опубликовано 13 марта, 2019 Оценить зубы слева, удалить все зубы справа, через 2-3 мес аугментация с жёстким каркасом, через 6-8 мес имплантация 11,13,14,16, ещё через 4-6 мес фдм с восстановлением прикрепленных тканей, потом временное протезирование. Затем постоянное мостами 11-13 и 14-16. Ссылка на комментарий
Рекомендуемые сообщения
Для публикации сообщений создайте учётную запись или авторизуйтесь
Вы должны быть пользователем, чтобы оставить комментарий
Создать аккаунт
Зарегистрируйте новый аккаунт в нашем сообществе. Это очень просто!
Регистрация нового пользователяВойти
Уже есть аккаунт? Войти в систему.
Войти