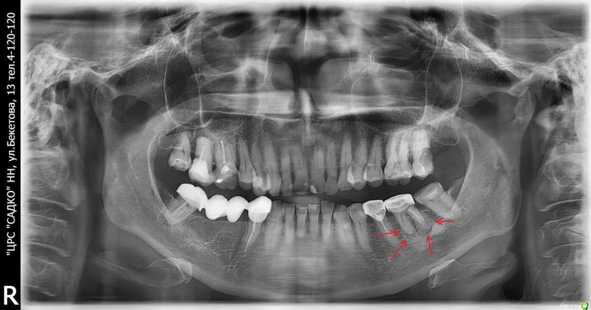
usilitel Опубликовано 10 марта, 2019 Поделиться Опубликовано 10 марта, 2019 На снимке видно что вокруг корней зуба что-то явно ненормальное образовалось (возможно киста?).При этом сам зуб не беспокоит.Были у двух разных врачей - сказали что раз не беспокоит - то ничего делать не надо.А ваше мнение? Ссылка на комментарий
red_butler Опубликовано 10 марта, 2019 Поделиться Опубликовано 10 марта, 2019 требуется повторное лечение корневых каналов 2 Ссылка на комментарий
Рекомендуемые сообщения
Для публикации сообщений создайте учётную запись или авторизуйтесь
Вы должны быть пользователем, чтобы оставить комментарий
Создать аккаунт
Зарегистрируйте новый аккаунт в нашем сообществе. Это очень просто!
Регистрация нового пользователяВойти
Уже есть аккаунт? Войти в систему.
Войти