Lostikas Опубликовано 9 марта, 2019 Поделиться Опубликовано 9 марта, 2019 Заглубил имплант на 2-2.5 мм вместо 1 как рекомендуется торк меньше 10 нм. Чего ожидать? Плохо или допустимо?имплант neobiotech 4.5x13mm Ссылка на комментарий
kramer Опубликовано 9 марта, 2019 Поделиться Опубликовано 9 марта, 2019 Какой зуб, протокол, снимок и т.д. Ссылка на комментарий
Lostikas Опубликовано 9 марта, 2019 Автор Поделиться Опубликовано 9 марта, 2019 зачем вам снимок? все прошло успешно имплантация легкая, свая кость, много кости. Просто заглубил сильно, до этого такого небыло, просто перешел на новую систему имплантов а на необиотеке нету линейки а стоперы не совподают с реальной длиной поэтому так. 4 Ссылка на комментарий
Александр07 Опубликовано 9 марта, 2019 Поделиться Опубликовано 9 марта, 2019 Заглубил имплант на 2-2.5 мм вместо 1 как рекомендуется торк меньше 10 нм. Чего ожидать? Плохо или допустимо?имплант neobiotech 4.5x13mmЖди 4 месяца и раскрывайся Ссылка на комментарий
Lostikas Опубликовано 9 марта, 2019 Автор Поделиться Опубликовано 9 марта, 2019 Жди 4 месяца и раскрывайся то есть все норм? Ссылка на комментарий
Тимур86 Опубликовано 9 марта, 2019 Поделиться Опубликовано 9 марта, 2019 Ничего криминального Ссылка на комментарий
Lostikas Опубликовано 9 марта, 2019 Автор Поделиться Опубликовано 9 марта, 2019 понял спасибо! Сразу забегу на перед и можно тему считать закрытой, Когда откроюсь если все также пройтись бором? или оставить высоту альвеолярного отростка как есть,? Ссылка на комментарий
Smileee Опубликовано 9 марта, 2019 Поделиться Опубликовано 9 марта, 2019 понял спасибо! Сразу забегу на перед и можно тему считать закрытой, Когда откроюсь если все также пройтись бором? или оставить высоту альвеолярного отростка как есть,?Ничего не трогать, при условии что кость не мешает фиксации ФДМ. Ссылка на комментарий
Lostikas Опубликовано 9 марта, 2019 Автор Поделиться Опубликовано 9 марта, 2019 Спасибо! Ссылка на комментарий
AndyAndy Опубликовано 9 марта, 2019 Поделиться Опубликовано 9 марта, 2019 А как получилось, что есть своя кость и ее много, торк меньше 10нм? Ссылка на комментарий
Lostikas Опубликовано 9 марта, 2019 Автор Поделиться Опубликовано 9 марта, 2019 верхняя челюсть обл. 15 зуба так не может быть? я спрашиваю серьезна без подколов, опыт фирургии очень не большой Ссылка на комментарий
АнтонТЛТ Опубликовано 9 марта, 2019 Поделиться Опубликовано 9 марта, 2019 Ничего страшного, торк не главное)Шариком потом над заглушкой пройтись если кость будет мешать. Иногда глубже приходится вкручивать. Совет: глубину установки делать такой, чтобы вторая жёлтая риска имплантовода была на уровне зенита соседнего зуба этой же групповой принадлежности. 3 Ссылка на комментарий
Lostikas Опубликовано 9 марта, 2019 Автор Поделиться Опубликовано 9 марта, 2019 Совет: глубину установки делать такой, чтобы вторая жёлтая риска имплантовода была на уровне зенита соседнего зуба этой же групповой принадлежности. Спасибо за совет, еще бы понять..., разжуйте если не сложно, относительно кости кокое заглубление? Ссылка на комментарий
АнтонТЛТ Опубликовано 9 марта, 2019 Поделиться Опубликовано 9 марта, 2019 Нужно отталкиваться от ортопедического положения, а не от кости. 1 Ссылка на комментарий
колесников Опубликовано 10 марта, 2019 Поделиться Опубликовано 10 марта, 2019 Нужно отталкиваться от ортопедического положения, а не от кости. Ссылка на комментарий
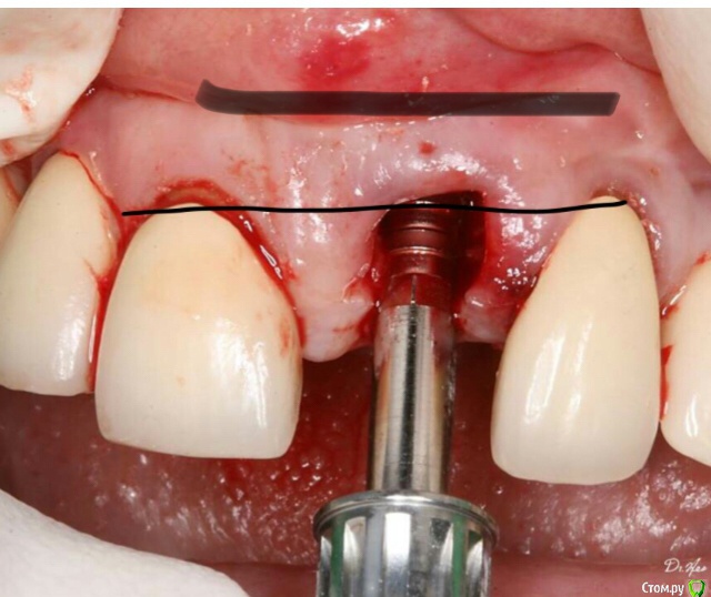
АнтонТЛТ Опубликовано 10 марта, 2019 Поделиться Опубликовано 10 марта, 2019 Колесников, спасибо за отредактированное фото)Тонкая линия это положение второй жёлтой отметки имплантовода, толстая линия - положение платформы имплантата. 1 Ссылка на комментарий
Kazankov.Egor Опубликовано 11 марта, 2019 Поделиться Опубликовано 11 марта, 2019 Вот и соль, в каких случаях и под какие конструкции где должна располагаться ортопедическая платформа? Где хирургическая?Что за система имплантатов? У меня нет отметок никаких на имплантоводах... Ссылка на комментарий
Lostikas Опубликовано 11 марта, 2019 Автор Поделиться Опубликовано 11 марта, 2019 а что токое нкр и сст? читаю форум часто встречается? и сразу про графт какой лучше? Спасибо! Ссылка на комментарий
zubovolok Опубликовано 11 марта, 2019 Поделиться Опубликовано 11 марта, 2019 а что токое нкр и сст? читаю форум часто встречается? и сразу про графт какой лучше? Спасибо!сст-субэпителиальный соединительнотканный трансплантат, нкр-направленная костная регенерация, по графту смотря для чего вам. Ссылка на комментарий
Lostikas Опубликовано 11 марта, 2019 Автор Поделиться Опубликовано 11 марта, 2019 по графту смотря для чего вам для остеопластики альвеолярного отростка, не для синуса Ссылка на комментарий
Рекомендуемые сообщения
Для публикации сообщений создайте учётную запись или авторизуйтесь
Вы должны быть пользователем, чтобы оставить комментарий
Создать аккаунт
Зарегистрируйте новый аккаунт в нашем сообществе. Это очень просто!
Регистрация нового пользователяВойти
Уже есть аккаунт? Войти в систему.
Войти