bakagaidzin Опубликовано 9 марта, 2019 Поделиться Опубликовано 9 марта, 2019 Вот видите, как у вас все просто. Ну и на кой пёс вам мост 16-13? Два имплантата, а шестерку и клык не трогать вообще.потом укрепить имплантаты вкладками) Ссылка на комментарий
Lostikas Опубликовано 10 марта, 2019 Автор Поделиться Опубликовано 10 марта, 2019 Спасибо участникам форума за высказанное мнение.Что думают остальные?, коротко: использую не использую, часто\не очень, хочеться составитья для себя более полное предсталние СТОИТ ЛИ? за ранее спасибо! Ссылка на комментарий
Л Ю С Я Опубликовано 11 марта, 2019 Поделиться Опубликовано 11 марта, 2019 Делаю все чтобы максимально сохранить внутренний дентин( цервикальный) . Это залог прочности зуба. Вернулась к тонким анкерам( это для особо настойчивых ортопедов, что штифт был) стальным. Если свш можно вклеить не пользуясь развёртками , можно и его. А так либо композитный билд ап с максимальным сохранением тканей , либо вкв Ссылка на комментарий
Lostikas Опубликовано 11 марта, 2019 Автор Поделиться Опубликовано 11 марта, 2019 Спасибо за мнение, почему анкерные? чем они лучше свш, ведь все кричат что анкер это зло? С Уважением! Ссылка на комментарий
Л Ю С Я Опубликовано 12 марта, 2019 Поделиться Опубликовано 12 марта, 2019 Спасибо за мнение, почему анкерные? чем они лучше свш, ведь все кричат что анкер это зло? С Уважением!Потому что нет таких тонких свш, чтоб канал подготовить одним паяльником, без использованием разверток. А анкера очень даже тонкие встречаются. Анкера у меня для ортопедов которым по религии нужен хоть какой нибудь штифт под коронки, ну не верят они в ферулл))). В остальных случаях в основном вкв или просто композит. Ссылка на комментарий
Lostikas Опубликовано 12 марта, 2019 Автор Поделиться Опубликовано 12 марта, 2019 Понял, благодарю. 1 Ссылка на комментарий
DmitrySH Опубликовано 12 марта, 2019 Поделиться Опубликовано 12 марта, 2019 А анкера очень даже тонкие встречаются. Это как плацебо для ортопеда? Они же сгибаются легко. Раньше заморачивался, брал толстые анкера, спиливал резьбу и индивидуализировал бором под форму канала. Получалось достаточно тонко, но прочнее тонких с резьбой Ссылка на комментарий
Л Ю С Я Опубликовано 13 марта, 2019 Поделиться Опубликовано 13 марта, 2019 (изменено) Это как плацебо для ортопеда? Они же сгибаются легко. Раньше заморачивался, брал толстые анкера, спиливал резьбу и индивидуализировал бором под форму канала. Получалось достаточно тонко, но прочнее тонких с резьбой У меня из мед стали, нифига не согнёшь, я тоже их фиксирую пассивно Изменено 13 марта, 2019 пользователем Л Ю С Я Ссылка на комментарий
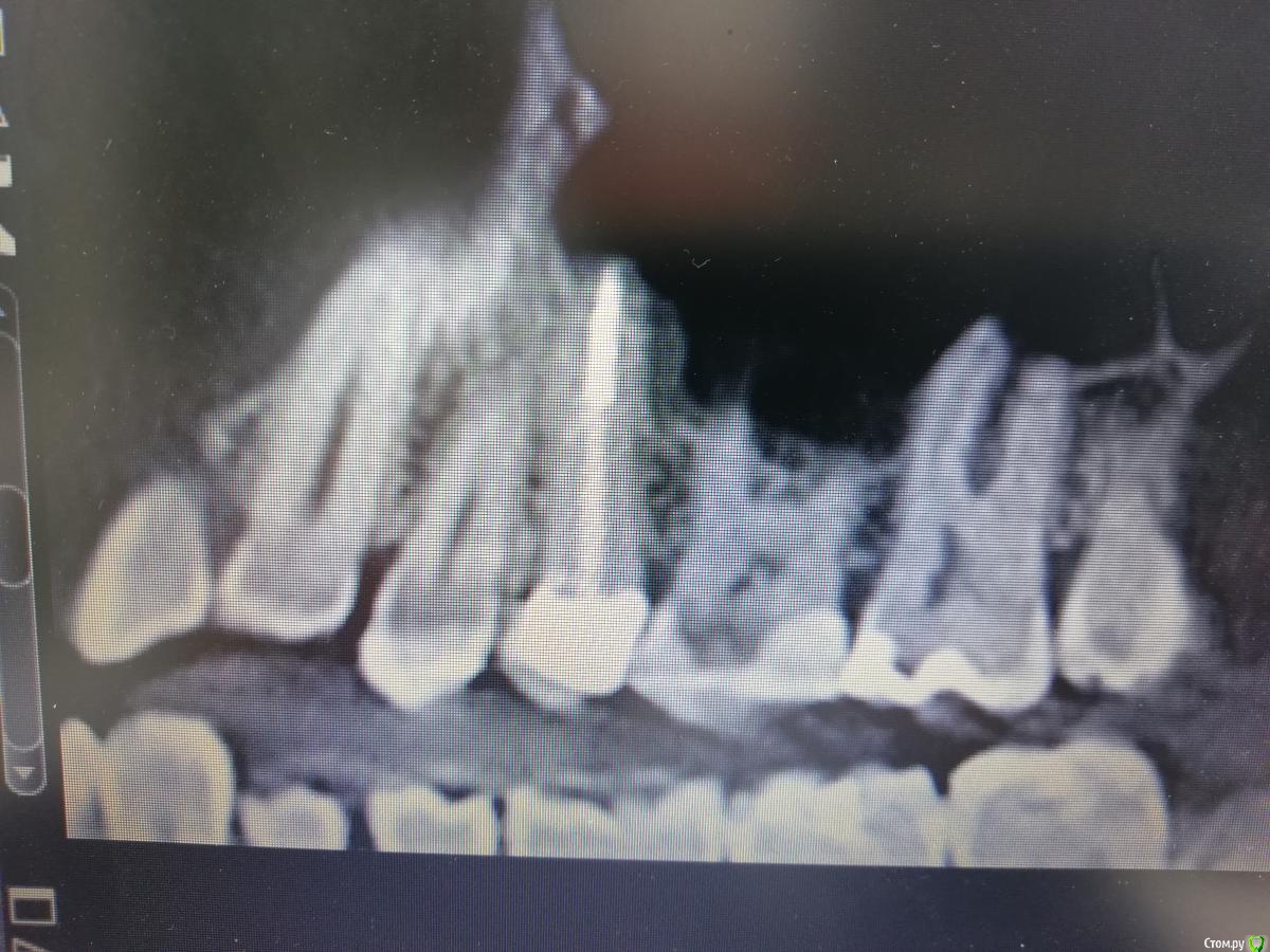
___49___ Опубликовано 22 марта, 2019 Поделиться Опубликовано 22 марта, 2019 (изменено) Адгезивная фиксация в канале - миф. Может она там и есть годик, но потом фигушки. Я вытащил не один десяток свш. за счет чего держится данный штифт (см.фото ниже)тогда по Вашему если , адгезивная фиксация там уже не работает , культя полностью из композита ? Снимок сделан в феврале этого года , а СВШ я ставил в 2011 году под емакс ( но пациентка в последствии изменила конструкцию) . И кстати мои СВШ поставленные ( именно так) обратно с расфиксацией или переломом не приходили . А вот такие работы с несколькими анкерами (ваше фото) , или как у ТС я бы переделал прежде чем одевать коронку . Кстати этот 15 зуб пролечил с "гранулемой" 4*4 мм после неудачного эндо кем-то в 2008 г . Изменено 22 марта, 2019 пользователем ___49___ Ссылка на комментарий
Дмитрий Л. Опубликовано 23 марта, 2019 Поделиться Опубликовано 23 марта, 2019 А я вот против анкеров До сих пор удивляюсь когда вижу их в стомат-магазинах. Культевая вкладка или свш на мой взгляд лучше. Кстати! Видел пациента с анкером, вкрученным сквозь корень в кость. Полёт 5 лет...) Ну немножко резорбация есть, ну и что...)Может анкер можно использовать в качестве ортодонтического имплантата? Ссылка на комментарий
Kolchanov Опубликовано 23 марта, 2019 Поделиться Опубликовано 23 марта, 2019 за счет чего держится данный штифт (см.фото ниже)тогда по Вашему если , адгезивная фиксация там уже не работает , За счет макроретенции. Ссылка на комментарий
___49___ Опубликовано 24 марта, 2019 Поделиться Опубликовано 24 марта, 2019 (изменено) За счет макроретенции.что возвращает к обоснованности обработки на 2\3 (не мной придумано) , а насчет того работает сейчас там адгезивная фиксация или нет не скажу - вытаскивать не приходилось. Изменено 24 марта, 2019 пользователем ___49___ Ссылка на комментарий
Kolchanov Опубликовано 24 марта, 2019 Поделиться Опубликовано 24 марта, 2019 Вы сами запутались и меня пытаетесь. Но в этом вопросе мои позиции тверды, как анкер из стали. Мы... Нет, я говорию про билд-ап под коронку. Для его дополнительной ретенции применяются штифты. Но работает долгосрочно эта конструкция только при наличии полноценного феррула. Гдубина засовывания здесь не имеет решающего значения. Ссылка на комментарий
___49___ Опубликовано 30 марта, 2019 Поделиться Опубликовано 30 марта, 2019 Мы с Вами оба знаем , что в литературе описывается аргументированно погружение штифта от 1\2 до 3\4 при условии что над корневая часть будет меньше той что погружена в канал. Меня интересует обоснованность Вашего подхода - можете отправить по "адресу" где аргументированно описано почему "глубина засовывания" не имеет значения ... если то о чем Вы говорите имеет место быть я буду вынужден сопоставить оба подхода и взвесив плюсы и минусы выбрать какой из них лучше ... Ниже на рис. обозначен участок ослаблающий возможности зуба нести нагрузку который даже не компенсирован длинной штифта дабы распределить ее более равномерно - хотя судя по ширине канала тут можно было установить достаточно крупный штифт на хорошую глубину. но тем не менее даже при нарушении этих 2 условий несколько участников форума "лайкают" данный подход , хотелось бы услышать и их аргументированное мнение ЗА подобную установку штифтов. Может быть я чего-то не понимаю или не знаю или сопромат ошибается ( мысли вслух) . Ссылка на комментарий
___49___ Опубликовано 2 апреля, 2019 Поделиться Опубликовано 2 апреля, 2019 по "адресу" я так понимаю , что отправлять не куда ? не Вам, не участникам форума с Вами солидарными в данном вопросе ( DmitrySH,bakagaidzin,Л Ю С Я) ? Ссылка на комментарий
Kolchanov Опубликовано 2 апреля, 2019 Поделиться Опубликовано 2 апреля, 2019 Вы в самом деле думаете, что мне заняться нечем, кроме как пытаться переубедить вас? Чтобы вы рассмотрели все возможные варианты и может быть что-нибудь выбрали подходящее? Вы всерьез восприняли эту рентгенограмму, как реальный пример моей работы?Оставайтесь со своими заблуждениями, ради бога. О чем вы планируете тут разговаривать? Меряться длиной штифта? Вы проигнорировали мое утверждение, что билд-ап (а я пытался разговаривать только о нем), будь он штифтовой или без, будет полноценно и долгосрочно служить только при достаточном количестве сохраненных тканях зуба. Ну как с вами разговаривать, если вам нужна только статья? Идите и поищите, а потом покажете. Ссылка на комментарий
___49___ Опубликовано 3 апреля, 2019 Поделиться Опубликовано 3 апреля, 2019 Вы в самом деле думаете, что мне заняться нечем, кроме как пытаться переубедить вас? Чтобы вы рассмотрели все возможные варианты и может быть что-нибудь выбрали подходящее? Нет Доктор не утруждайтесь и не занимайтесь этим тем более для меня . вместо столь много написанных слов (утруждений) , было достаточно сослаться хотя бы на одну книгу ( я бы уже сам нашел необходимую главу), но видимо это сделать тяжелее , нежели печатать . Вы всерьез восприняли эту рентгенограмму, как реальный пример моей работы? и со мной как минимум еще трое коллег . Оставайтесь со своими заблуждениями, ради бога. О чем вы планируете тут разговаривать? Меряться длиной штифта? да пока остаюсь с "заблуждениями" описанными в Вы проигнорировали мое утверждение, что билд-ап (а я пытался разговаривать только о нем), будь он штифтовой или без, будет полноценно и долгосрочно служить только при достаточном количестве сохраненных тканях зуба. литературе. в этом вопросе у нас с Вами нет разногласий , возможно Вы не внимательно читали мой ответ Вам - ПС - и прошу еще раз обратить внимание на снимок в рекомендации - по моему беспощадной потери дентина тут нет ? и насколько мне кажется штифт нарисован с минимальным захватом стенок канала зуба ... Ну как с вами разговаривать, если вам нужна только статья? Идите и поищите, а потом покажете. тут Вы переставили местами утверждающего и доказывающего - мне не нужно искать статью доказывающую Вашу теорию - это должно Вас беспокоить если Вы хотите доказать Вами утверждающее. Но я так понимаю далее конструктивного диалога у нас с Вами скорее всего не получиться , и по тому количеству Вопросов и характеру текста , что Вы написали выше моя дотошность у Вас уже вызывает раздражение , можете более не отвечать , поберегите свои нервы. Возможно у других коллег солидарных с Колчановым будут какие-то аргументы ? Ссылка на комментарий
Kolchanov Опубликовано 3 апреля, 2019 Поделиться Опубликовано 3 апреля, 2019 О, поверьте, никакого раздражения! Если уж вы, действительно, аналитического склада ума, вы сами все докажете, или опровергнете, аргументированно, по полочкам, с ссылками.... Выложите тут. И все будут разбиты в пух и прах или сами посыплете себе голову пеплом. Так что сами как-нибудь, сами. Ссылка на комментарий
Kolchanov Опубликовано 3 апреля, 2019 Поделиться Опубликовано 3 апреля, 2019 Держите, любитель статей. Расстарался для вас, коли сами не в состоянии были. https://www.ncbi.nlm.nih.gov/pubmed/23870819 1 Ссылка на комментарий
___49___ Опубликовано 3 апреля, 2019 Поделиться Опубликовано 3 апреля, 2019 Держите, любитель статей. Расстарался для вас, коли сами не в состоянии были. https://www.ncbi.nlm.nih.gov/pubmed/23870819цитата из статьи - "Напряжения mvM в зубах со стержнями различной длины были одинаковыми, независимо от материала основания.... " Это очень весомый аргумент ( спасибо Доктор за старания) . еще цитата из той же статьи - "Эффект ферулы в зубах со стержнями и стержнями оказывает решающее влияние на снижение напряжения. Использование столбов и стержней из жестких материалов приводит к снижению напряжения в зубах. Длина стойки незначительно влияет на значения напряжения в зубных структурах." с первыми двумя предложениями всегда был согласен, а вот третье предложение противоречит первой цитате ....но это я уже так - придираюсь . Спасибо за то, что пошли на конструктивный диалог - есть о чем подумать , пеплом голову пока не сыплю но разбираться придется . Ссылка на комментарий
Kolchanov Опубликовано 3 апреля, 2019 Поделиться Опубликовано 3 апреля, 2019 Доставайте аргумент, коллега. Просили статью - нате. Все вопросы к исследователям. Давайте свои научные труды. Нечего в стол писать, пора явить народу истину. А не то я Рэдса позову. Для конструктивного полилога. Ссылка на комментарий
Kolchanov Опубликовано 3 апреля, 2019 Поделиться Опубликовано 3 апреля, 2019 Вот вам еще статейка - https://www.hindawi.com/journals/cmmm/2012/816481/ Чего не сделаешь,для дотошного коллеги. Ссылка на комментарий
___49___ Опубликовано 3 апреля, 2019 Поделиться Опубликовано 3 апреля, 2019 Боровский от 2003г стр.476 см.Рис. я думаю мы с Вами оба подобное читали в наших учебниках будучи студентами..... если только Вы не закончили Вуз за границей. ... врут ? Ссылка на комментарий
Kolchanov Опубликовано 3 апреля, 2019 Поделиться Опубликовано 3 апреля, 2019 Не понял? Это ваш аргумент? Пойду корвалолу выпью. Сердце, знаете ли, слабое для таких шуток. Ссылка на комментарий
___49___ Опубликовано 3 апреля, 2019 Поделиться Опубликовано 3 апреля, 2019 (изменено) Стивен Коен "эндодонтия" 8 ое издание стр.780 .... тоже врет ? Изменено 3 апреля, 2019 пользователем ___49___ Ссылка на комментарий
Рекомендуемые сообщения
Для публикации сообщений создайте учётную запись или авторизуйтесь
Вы должны быть пользователем, чтобы оставить комментарий
Создать аккаунт
Зарегистрируйте новый аккаунт в нашем сообществе. Это очень просто!
Регистрация нового пользователяВойти
Уже есть аккаунт? Войти в систему.
Войти