Перейти к содержанию
Стоматология для всех

Хотим посоветоваться с врачами


nikmaxpayne

Рекомендуемые сообщения

Добрый день. Очень просим вашего совета. 

Начну предысторию. 

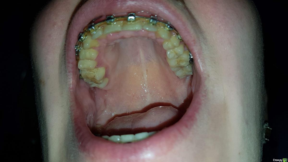
Жена начала носить брекеты в сентябре 2016 г. Цель выровнять зубы и убрать щелчки в области где суставы челюстные ( извините за термины, может и ошибаюсь) убрать щелчки при открывании рта широко.

Изначально предложили удалить сверху четверки верхние. Снизу 4 или 5 не выросло вообще (т.е. в нижнем ряду изначально не хватало 2 зубов). Сейчас после всех проделанных работ ортодонтом было предложено следующее:

удалить нижнюю восьмерку с правой стороны, с левой стороны восьмерка была удалена до начала лечения. и с левой стороны предложено раздвинуть зубы 6 и 4 (или 5 неизвестно какой там 4 или 5 в итоге вырос, а какой не вырос).

С правой стороны где большой промежуток без 2 зубов, там установлено уже 2 имплантата( сделано расщепление и установлено одномоментно два имплантата)

В итоге сейчас стоит вопрос расширять ли зубы слева снизу для еще одного имплантата и удалять 8 или же этого всего не делать, обратно стянуть и снимать брекеты.

Один ортодонт говорит что не надо удалять восьмерку и расширять под имплантат, другой говорит за такую работу мало кто возьмется, третий говорит приходите к нам мы вам стянем все обратно и снимем, но стоимость услуги такая, как будто брекеты год носить.

Просим помощи.

post-54479-0-41412600-1551880996_thumb.jpg

post-54479-0-32923300-1551880998_thumb.jpg

post-54479-0-02681100-1551881000_thumb.jpg

post-54479-0-57194900-1551881001_thumb.jpg

post-54479-0-12152300-1551881003_thumb.jpg

Изменено пользователем nikmaxpayne
Ссылка на комментарий
  • 4 недели спустя...

 

Один ортодонт говорит что не надо удалять восьмерку и расширять под имплантат,

другой говорит за такую работу мало кто возьмется,

третий говорит приходите к нам мы вам стянем все обратно и снимем, но стоимость услуги такая, как будто брекеты год носить.

 

 

 Лучшее решение - это поступить так, как советует Вам Ваш ортодонт! (основной, который ведет Вас от начала до конца, на ком вся ответственность за лечение) Ни один здравомыслящий врач не возьмется доделывать уже начатую работу.   

 

(про стягивание - это должно стоить не как один год, а возможно больше! потому что процесс не быстрый! Быстро будет, если вам передние зубы потянут назад. Они более тонкие, легче пойдут назад. В таком случае средняя линия еще больше уедет.  Чтобы не ухудшать ситуацию - надо "задние" зубы перемещать вперед. А они многокорневые, будут идти долго. Больше года) 

Ссылка на комментарий

Для публикации сообщений создайте учётную запись или авторизуйтесь

Вы должны быть пользователем, чтобы оставить комментарий

Создать аккаунт

Зарегистрируйте новый аккаунт в нашем сообществе. Это очень просто!

Регистрация нового пользователя

Войти

Уже есть аккаунт? Войти в систему.

Войти
×
×
  • Создать...
Вверх