Sloleg Опубликовано 4 марта, 2019 Поделиться Опубликовано 4 марта, 2019 (изменено) Уважаемые доктора, здравствуйте! Если возможно, помогите, пожалуйста, советом. Был недавно на приеме у лора, сделал КТ на котором была обнаружена киста с признаками хронического одонтогенного синусита, и источника всех моих хронических воспалений и головных болей коими я периодически озадачивался. На приеме у стоматолога при изучении КТ, пришли к выводу, что проблема с верхнем зубом (6ка) леченным в 90х годах прошлого века резорцин формалиновым методом. Мое предложение вырвать эту 6 ку и поставить имплантат было отвергнуто т.к. для имплантата недостаточно костной ткани и без синус лифта не обойтись. Семерка была удалена несколько лет назад, 8ка кривая смотрит в сторону и в процессе участия не принимает. Таким образом при удалении 6ки вся нагрузка ложится на 5, 4 ку. в связи с чем имею большую печаль Хочу спросить хорошего эндодонта про шансы и возможности лечения. Очень хочу сохранить. P.S. Есть болле информативная КТ диагностика в полном формате всей челюсти. https://yadi.sk/d/hI3HWgsVHMTwUg Изменено 4 марта, 2019 пользователем Sloleg Ссылка на комментарий
kramer Опубликовано 5 марта, 2019 Поделиться Опубликовано 5 марта, 2019 Выкладывайте срезы КТ 1 Ссылка на комментарий
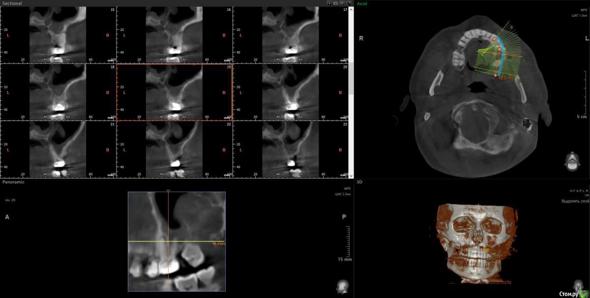
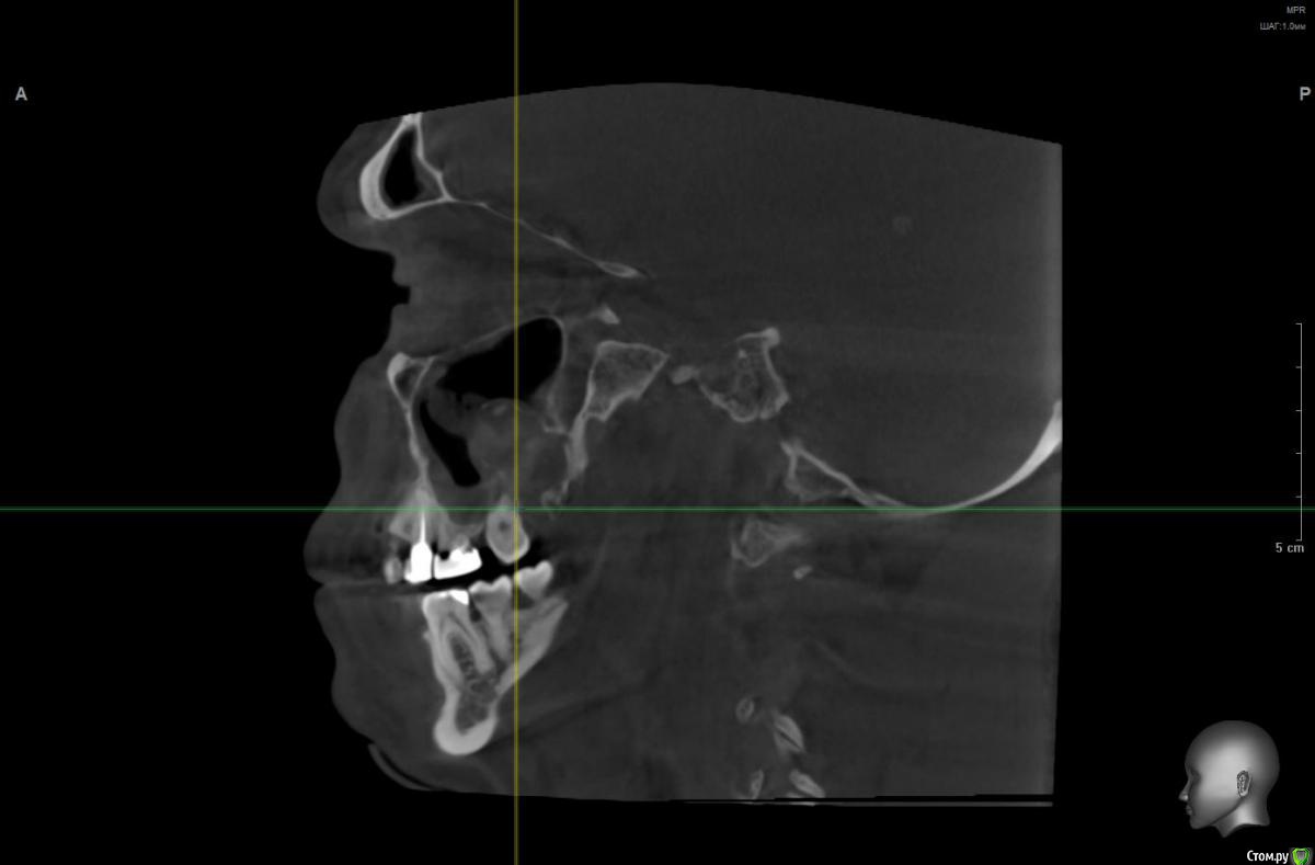
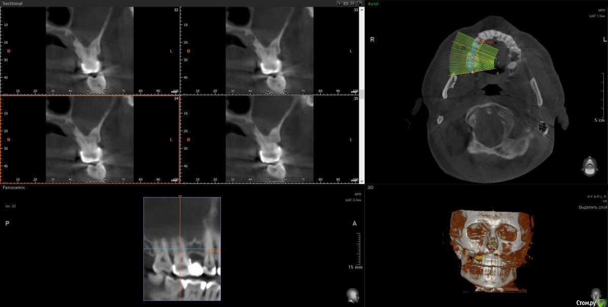
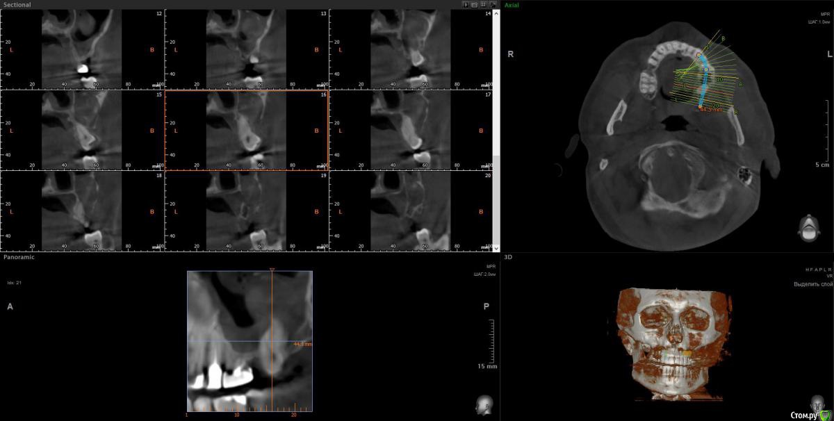
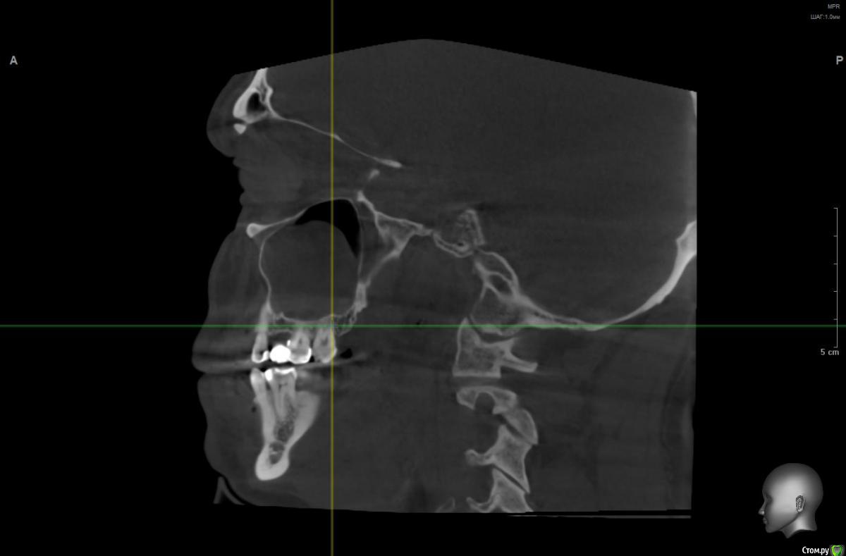
wladdX Опубликовано 5 марта, 2019 Поделиться Опубликовано 5 марта, 2019 Корональная проекция Сагиттальная справа Сагиттальная слева 16 26 28 Ссылка на комментарий
kramer Опубликовано 5 марта, 2019 Поделиться Опубликовано 5 марта, 2019 В общем скачал я КТ. Что касается зуба 26, да, там есть признаки воспаления вокруг корней, лечить / удалять зависит от состояния тканей зуба и возможностей врача. Но лично мне не кажется, что этот зуб играет главную роль в возникшем гайморите. Обратите внимание, в области 8 зуба (см. срез) внутри пазухи есть некий очаг, содержащий неоднородные по плотности элементы (более светлые включения, а выше пузырьки воздуха). Снимок не особо четкий, но такое ощущение, что в области 8 зуба вообще нарушена целостность боковой стенки пазухи. Кроме того, с правой стороны все зубы в порядке, а явления гайморита тоже имеются (там вообще почти вся пазуха забита). Соустья с носом закрыты. В общем, в данной ситуации я бы более детально обследовал 8 зуб, если там все нормально, то пусть ЛОРы эндоскопически лезут в пазухи и убирают это все. Ссылка на комментарий
Sloleg Опубликовано 5 марта, 2019 Автор Поделиться Опубликовано 5 марта, 2019 (изменено) Благодарю, Вас за уделенное время, уважаемые wladdX и kramer. Я был в декабре у двух лоров в сеченовке и в профлорцентре в обеих клиниках мне не рекомендовали удаление кисты слева пока не вылечу зубы, справа да говорят без проблем хоть киста и больше, но без одонтогенной природы, а слева лечи зубы, убирай воспаление а потом к нам. Был сегодня у ЧЛХ одного он предложил сделать радикальный колдуэлл люк с удалением кисты в возможно 8ки (ему тоже там не понравились изменения). К сожалению большинство ЧЛХ отстают от лоров в плане использования эндоскопа и делать радикальный колдуэлл люк с разрезом в 5 сантиметров очень боюсь . Или может для меня это будет оптимальный вариант? А более детально как я могу обследовать 8 зуб? Изменено 5 марта, 2019 пользователем Sloleg Ссылка на комментарий
kramer Опубликовано 5 марта, 2019 Поделиться Опубликовано 5 марта, 2019 Я предлагаю вам такой алгоритм действий. 1. Вы идёте к терапевту, который сможет оценить шансы на перелечивание каналов в зубы 26. Если можно, перелечиваете, если нет, то см. п.2. 2. Вы идёте к хирургу, который должен определить, нужно ли удалять 28 (я бы удалил). Зуб удаляется, всё, что можно вычистить через лунку, промывается, вычищается. Скорее всего будет перфорация в пазуху, по возможности её надо будет устранить. Соответственно, если заранее будет известно, что 26 лечению не подлежит, удалить его тоже. 3. Через 3-4 месяца повторить КТ и с чистой совестью идти к ЛОРам, тк одонтогенных очагов не осталось. Выполнить двустороннюю эндоскопическую синусотомию 4. В случае удаления 26 на предыдущих этапах, подумать о том, как его возместить Ссылка на комментарий
Sloleg Опубликовано 6 марта, 2019 Автор Поделиться Опубликовано 6 марта, 2019 Благодарю, kramer. Попробую найти специалиста и попытаюсь пролечить 26 зуб. Потом дальше по Вашему алгоритму. Меня после вчерашнего посещения ЧЛХ беспокоит мысль про опухоль в раоне 28 зуба, надеюсь она не злокачественная, и смогут ли ее лоры удалить все эндоскопически. Ссылка на комментарий
kramer Опубликовано 11 марта, 2019 Поделиться Опубликовано 11 марта, 2019 Благодарю, kramer. Попробую найти специалиста и попытаюсь пролечить 26 зуб. Потом дальше по Вашему алгоритму. Меня после вчерашнего посещения ЧЛХ беспокоит мысль про опухоль в раоне 28 зуба, надеюсь она не злокачественная, и смогут ли ее лоры удалить все эндоскопически.Как продвигается? Ссылка на комментарий
Sloleg Опубликовано 20 марта, 2019 Автор Поделиться Опубликовано 20 марта, 2019 Как продвигается?Здравствуйте. Был у эндодонта показал кт, он также как Вы предположил, что 6 ка не моя основная проблема, а 6 ку говорит можно пролечить без проблем, но запись у него только на конец мая. Если никого не найду раньше буду ждать. Что касается 8ки он посоветовал обратится к хорошему лору,я так понял, что у меня достаточно не типичная проблема и все может быть гораздо серьезней с опухолью. К лору попаду через неделю. Чувствую себя хуже, появились головокружения и пульсирующие боли в глазных яблоках. После посещения лора отпишусь. Ссылка на комментарий
kramer Опубликовано 21 марта, 2019 Поделиться Опубликовано 21 марта, 2019 Здравствуйте. Был у эндодонта показал кт, он также как Вы предположил, что 6 ка не моя основная проблема, а 6 ку говорит можно пролечить без проблем, но запись у него только на конец мая. Если никого не найду раньше буду ждать. Что касается 8ки он посоветовал обратится к хорошему лору,я так понял, что у меня достаточно не типичная проблема и все может быть гораздо серьезней с опухолью. К лору попаду через неделю. Чувствую себя хуже, появились головокружения и пульсирующие боли в глазных яблоках. После посещения лора отпишусь.Удачи! Ссылка на комментарий
Рекомендуемые сообщения
Для публикации сообщений создайте учётную запись или авторизуйтесь
Вы должны быть пользователем, чтобы оставить комментарий
Создать аккаунт
Зарегистрируйте новый аккаунт в нашем сообществе. Это очень просто!
Регистрация нового пользователяВойти
Уже есть аккаунт? Войти в систему.
Войти