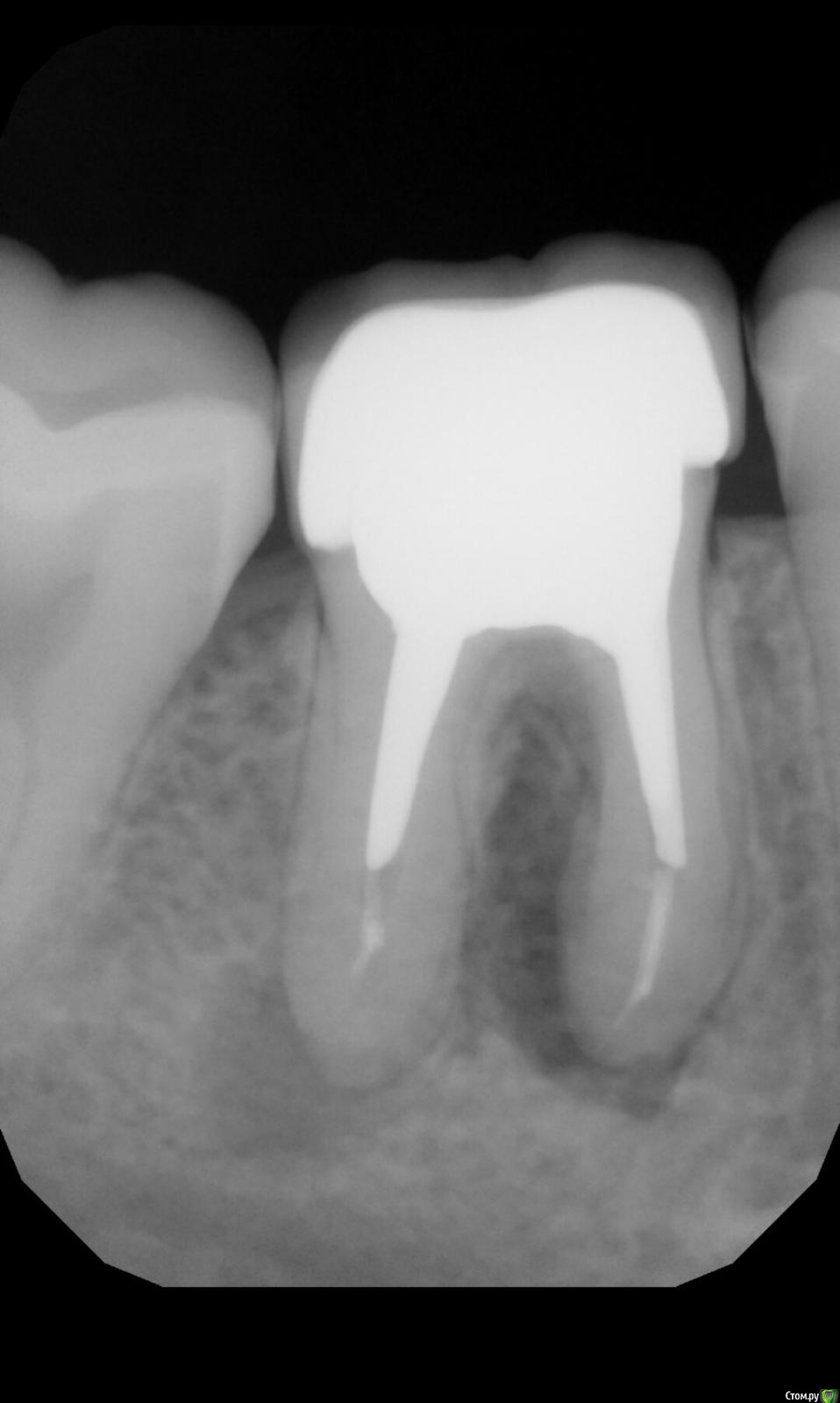
Mrs.guest Опубликовано 4 марта, 2019 Поделиться Опубликовано 4 марта, 2019 (изменено) Добрый вечер! 2.5 года назад депульпировали зуб и поставили коронку с вкладкой, зуб никак не тревожил и сейчас не болит. Вчера заметила уплотнение в десне около кости под этим зубом,шишку! при нажатии небольшая ,тупая боль,есть не мешает. Пошла к врачу,сделали снимок,врач сказала ,что зуб на удаление из-за того что воспаление уже сильное и вскрывать это все нет смысла,так как там все тонкое и зуб разрушится. Очень жалко зуб,так как к нему нет никаких претензий,коронка целая, жую хорошо, конечно же удалять жалко.. Я позвонила в клинику где мне это все устанавливали,они сказали прийти к ним завтра на приём и они посмотрят,если действительно по их вине пошло воспаление и нельзя исправить ,то удалят мне бесплатно зуб,но уверены ,что это не их вина. Подскажите чья это может быть вина, врача который лечил зуб или нет? Это как-то можно по снимку определить?И есть ли шанс и смысл сохранять зуб? Нудно независимое мнение,так как в этой клинике конечно же будут снимать вину с себя Изменено 4 марта, 2019 пользователем Mrs.guest Ссылка на комментарий
Mrs.guest Опубликовано 4 марта, 2019 Автор Поделиться Опубликовано 4 марта, 2019 (изменено) Снимок приложила Изменено 4 марта, 2019 пользователем Mrs.guest Ссылка на комментарий
Mrs.guest Опубликовано 11 марта, 2019 Автор Поделиться Опубликовано 11 марта, 2019 (изменено) много тут стоматологов) спасибо за "ответы" Изменено 11 марта, 2019 пользователем Mrs.guest 1 1 Ссылка на комментарий
kramer Опубликовано 11 марта, 2019 Поделиться Опубликовано 11 марта, 2019 Здравствуйте. Вы зачем-то ищите виноватых, это вас никуда не приведет. На исход лечения каналов гарантий не существует, к тому же мы не знаем, что было до эндодонтического лечения. Так или иначе вокруг корней есть воспаление, которое можно попытаться устранить перелечиванием каналов (опять же без гарантии). Сложность в том, что коронка установлена на культевую вкладку, извлечение которой из каналов может привести к утрате собственных тканей зуба и его ослаблению и как следствие невозможности его сохранения... Каким путем идти решать вам 1 Ссылка на комментарий
Pavel-Pskov Опубликовано 11 марта, 2019 Поделиться Опубликовано 11 марта, 2019 Кмк там ещё между корнями процесс, а это вряд ли лечится. Ссылка на комментарий
Рекомендуемые сообщения
Для публикации сообщений создайте учётную запись или авторизуйтесь
Вы должны быть пользователем, чтобы оставить комментарий
Создать аккаунт
Зарегистрируйте новый аккаунт в нашем сообществе. Это очень просто!
Регистрация нового пользователяВойти
Уже есть аккаунт? Войти в систему.
Войти