moises Опубликовано 13 марта, 2019 Автор Поделиться Опубликовано 13 марта, 2019 Чтобы не плодить темы,напишу здесь.Та же пациентка,противоположный сегмент.Планируется удаление 36 и имплантация 36,37.Стоит идти одномоментно?Зуб резорцин,бессимптомный Ссылка на комментарий
Dman Опубликовано 13 марта, 2019 Поделиться Опубликовано 13 марта, 2019 если легко удалится, можно рассмотреть, а вообще, я бы сделал отсроченно 1 Ссылка на комментарий
колесников Опубликовано 13 марта, 2019 Поделиться Опубликовано 13 марта, 2019 (изменено) Медиальный коварен. Просверлитесь как под имплант,ослабите тем самым перегородку и пробуйте вывихивать к центру. Все показания к одномоментной Изменено 13 марта, 2019 пользователем колесников 1 Ссылка на комментарий
moises Опубликовано 14 марта, 2019 Автор Поделиться Опубликовано 14 марта, 2019 Медиальный коварен. Просверлитесь как под имплант,ослабите тем самым перегородку и пробуйте вывихивать к центру. Все показания к одномоментнойНе совсем понял,то есть сверлюсь через зуб в перегородку(то есть сепарирую корни),а потом медиальный туда вывихиваю(? Тогда я всю перегородку выломаю,мне кажется,и имплантат ставить некуда будет. Ссылка на комментарий
АнтонТЛТ Опубликовано 14 марта, 2019 Поделиться Опубликовано 14 марта, 2019 Не совсем понял,то есть сверлюсь через зуб в перегородку(то есть сепарирую корни),а потом медиальный туда вывихиваю(? Тогда я всю перегородку выломаю,мне кажется,и имплантат ставить некуда будет.Просто надо прямым элеватором удалять, а не угловым вместе с перегородкой выламывать. 1 Ссылка на комментарий
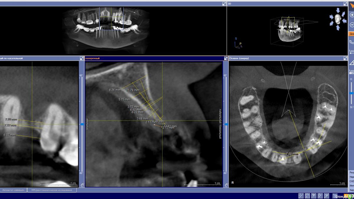
zumanok Опубликовано 22 марта, 2019 Поделиться Опубликовано 22 марта, 2019 (изменено) Господа, раз уж пошла такая пьянка. Посоветуйте с тактикой лечения. Буду весьма благодарен. Изменено 22 марта, 2019 пользователем zumanok Ссылка на комментарий
kramer Опубликовано 22 марта, 2019 Поделиться Опубликовано 22 марта, 2019 Господа, раз уж пошла такая пьянка. Посоветуйте с тактикой лечения. Буду весьма благодарен.Имплантат под заглушку + нкр с ПТФЕ мембраной, через 5 месяцев убрать мембрану и добавить толстый ССТ, через 6 недель поставить формирователь без больших разрезов, через 2 недели временную коронку. Я бы так делал. Медленно, зато прогнозируемо. Ссылка на комментарий
zumanok Опубликовано 22 марта, 2019 Поделиться Опубликовано 22 марта, 2019 Большое спасибо. Примерно так и планировал но без имлантации. Имплантат под заглушку + нкр с ПТФЕ мембраной, через 5 месяцев убрать мембрану и добавить толстый ССТ, через 6 недель поставить формирователь без больших разрезов, через 2 недели временную коронку. Я бы так делал. Медленно, зато прогнозируемо. 1 Ссылка на комментарий
Рекомендуемые сообщения
Для публикации сообщений создайте учётную запись или авторизуйтесь
Вы должны быть пользователем, чтобы оставить комментарий
Создать аккаунт
Зарегистрируйте новый аккаунт в нашем сообществе. Это очень просто!
Регистрация нового пользователяВойти
Уже есть аккаунт? Войти в систему.
Войти