tatsiana.ma Опубликовано 27 февраля, 2019 Поделиться Опубликовано 27 февраля, 2019 (изменено) Здравствуйте. Предыстория: 25 зуб - первичная адентия, молочный был удален очень рано в 11-12 лет, место не сохраняли. Сейчас мне 35 лет, по плану получение места для имплантации отсутствующего 25-го зуба.На данный момент прохожу лечение у ортодонта. Необходима интрузия 6-ки и под это дело установка ортодонтического миниимпланта нёбно в области 25 (ближе к 26). Для установки миниимпланта ортодонт отправил к хирургу, хирург начал противиться, мол, установим сейчас винт, под нагрузкой начнется воспалительный процесс в кости и резорбция, что в последующем может помешать установить уже ортопедическоий имплант на место 25-го. Хочу поинтересоваться вашим мнением, так ли все грустно и реальна ли предполагаемая ситуация? Неужели мини имплант может оставить после себя такие разрушительные последствия в кости? Второй снимок - свежий. Изменено 27 февраля, 2019 пользователем tatsiana.ma Ссылка на комментарий
Kazankov.Egor Опубликовано 28 февраля, 2019 Поделиться Опубликовано 28 февраля, 2019 Пришлите фото во рту как всё выглядит. Ссылка на комментарий
tatsiana.ma Опубликовано 5 марта, 2019 Автор Поделиться Опубликовано 5 марта, 2019 К сожалению качественные фото не получились. Да я и другого хирурга нашла, который установил мне микроимплант. Ссылка на комментарий
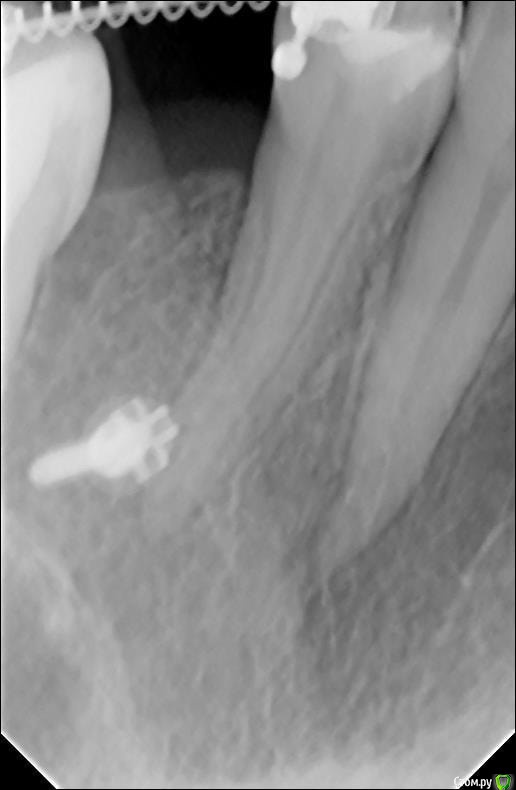
red_butler Опубликовано 5 марта, 2019 Поделиться Опубликовано 5 марта, 2019 К сожалению качественные фото не получились. Да я и другого хирурга нашла, который установил мне микроимплант. винт.jpegНа снимке все хорошо. ортодонту для интрузии одного ортоимпланта хватит? Ссылка на комментарий
tatsiana.ma Опубликовано 5 марта, 2019 Автор Поделиться Опубликовано 5 марта, 2019 На снимке все хорошо. ортодонту для интрузии одного ортоимпланта хватит?Нёбный бугор 6-ки опущен, надеемся что с одним мини имплантом справимся. Иначе придется устанавливать второй для стабильности - в области 27 с вестибулярной стороны. Ссылка на комментарий
Brigita Опубликовано 5 марта, 2019 Поделиться Опубликовано 5 марта, 2019 (изменено) На снимке все хорошо. ортодонту для интрузии одного ортоимпланта хватит?нет.но насколько я вижу по кт интрузия и дистализация все же произошла. И кмк, места достаточно, скорее всего по мимо ортоимпланта было что то еще Изменено 5 марта, 2019 пользователем Brigita Ссылка на комментарий
Brigita Опубликовано 5 марта, 2019 Поделиться Опубликовано 5 марта, 2019 мол, установим сейчас винт, под нагрузкой начнется воспалительный процесс в кости и резорбция, что в последующем может помешать установить уже ортопедическоий имплант на место 25-го. Хочу поинтересоваться вашим мнением, так ли все грустно и реальна ли предполагаемая ситуация? Неужели мини имплант может оставить после себя такие разрушительные последствия в кости? орто.pngВторой снимок - свежий.как правило такого не происходит. Ссылка на комментарий
tatsiana.ma Опубликовано 5 марта, 2019 Автор Поделиться Опубликовано 5 марта, 2019 но насколько я вижу по кт интрузия и дистализация все же произошла. И кмк, места достаточно, скорее всего по мимо ортоимпланта было что то еще Пока только дистализировали. Ортоимплант вкрутили три дня назад, завтра еду к ортодонту- будем клеить кнопку на нёбный бугор и нагружать винт. Про "было что-то еще" не поняла... Ссылка на комментарий
tatsiana.ma Опубликовано 5 марта, 2019 Автор Поделиться Опубликовано 5 марта, 2019 как правило такого не происходит. спасибо, успокоили. Ссылка на комментарий
tatsiana.ma Опубликовано 14 мая, 2019 Автор Поделиться Опубликовано 14 мая, 2019 Ну вот, пришлось ставить второй винт Ссылка на комментарий
Рекомендуемые сообщения
Для публикации сообщений создайте учётную запись или авторизуйтесь
Вы должны быть пользователем, чтобы оставить комментарий
Создать аккаунт
Зарегистрируйте новый аккаунт в нашем сообществе. Это очень просто!
Регистрация нового пользователяВойти
Уже есть аккаунт? Войти в систему.
Войти