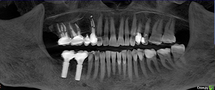
favirit Опубликовано 26 февраля, 2019 Поделиться Опубликовано 26 февраля, 2019 Добрый день! Мне 65 лет. Пришла к врачу по поводу небольшой рецессии десны у имплантов. Импланты стоят 5 лет. Сделали компьютерную томограмму. Врач в ужасе. Увидел на верхней челюсти переломы корней у трех зубов под мостом. Предлагает снять мост, удалить 3 зуба, у которых сломаны корни, и установить 2 импланта. У меня никаких жалоб нет. На десне образований нет, подвижности зубов нет, боли нетПрошу посмотреть кадр КТ.При необходимости выложу КТ.Спасибо. 1 Ссылка на комментарий
kramer Опубликовано 26 февраля, 2019 Поделиться Опубликовано 26 февраля, 2019 Разумеется, никакого перелома там нет. 4 Ссылка на комментарий
Ethan Hunt Опубликовано 26 февраля, 2019 Поделиться Опубликовано 26 февраля, 2019 не видно ничего. Отправьте кт Ссылка на комментарий
favirit Опубликовано 27 февраля, 2019 Автор Поделиться Опубликовано 27 февраля, 2019 Разумеется, никакого перелома там нет. Тогда почему такой вид у запломбированных каналов? Ссылка на комментарий
red_butler Опубликовано 27 февраля, 2019 Поделиться Опубликовано 27 февраля, 2019 Тогда почему такой вид у запломбированных каналов? зубы восстановлены корневыми вкладками Ссылка на комментарий
favirit Опубликовано 1 марта, 2019 Автор Поделиться Опубликовано 1 марта, 2019 зубы восстановлены корневыми вкладкамиБольшое спасибо за ответ Ссылка на комментарий
Рекомендуемые сообщения
Для публикации сообщений создайте учётную запись или авторизуйтесь
Вы должны быть пользователем, чтобы оставить комментарий
Создать аккаунт
Зарегистрируйте новый аккаунт в нашем сообществе. Это очень просто!
Регистрация нового пользователяВойти
Уже есть аккаунт? Войти в систему.
Войти