Onika Опубликовано 26 февраля, 2019 Поделиться Опубликовано 26 февраля, 2019 Очень нуждаюсь в помощи. Я врач, но не стоматолог.Ситуация такова:Нужно протезировать верхнюю 6. Есть КЛКТ ( но не знаю, как загрузить). В анамнезе - радикальная операция на гайморовой пазухе.Кости моей недостаточно.Синус-лифтинг не обсуждается из-за оперированной пазухи в прошлом. Во время консультаций услышала несколько мнений врачей: 1. короткий имплант не годится, т. к. кость верхней челюсти пористая, он провалится. Лучше под углом длинный имплант - 7мм ( угол наклона назвать не могут).2.под углом будет неадекватная нагрузка на кость, не будет стоять,не советуют.можно бы было поставить короткий имплант, но минимальный размер кости должен быть 5мм, а у меня 4мм. Я нашла информацию. что существуют короткие импланты 4 мм(штраумен). Не знаю, что предпочесть в моей ситуации: короткий имплант, возможно с меньшим углом , или длинный имплант - 7 мм под углом? Если бы можно было, выслала бы КЛКТ. Спасибо. Ссылка на комментарий
red_butler Опубликовано 26 февраля, 2019 Поделиться Опубликовано 26 февраля, 2019 http://forum.stom.ru/topic/10677-kak-vylozhit-kt-na-sajte/Выкладывайте срезы Кт в зоне интереса Ссылка на комментарий
Nazim_NV86 Опубликовано 26 февраля, 2019 Поделиться Опубликовано 26 февраля, 2019 Очень нуждаюсь в помощиСинус-лифтинг не обсуждается из-за оперированной пазухи в прошлом. Во время консультаций услышала несколько мнений врачей: Заблуждение. Уверен что на форуме есть много хирургов, которых оперированными пазухами не удивишь. Главное чтоб соустье работало Выкладывайте срезы Кт в зоне интересаТолько после просмотра Кт будут рекомендации. Ссылка на комментарий
Onika Опубликовано 27 февраля, 2019 Автор Поделиться Опубликовано 27 февраля, 2019 смогла сделать ссылку для скачивания файлов ( срезы КТ я не смогу сама сделать). Очень прошу откликнуться.https://cloud.mail.ru/stock/9fo7wxUVgUSxMT4aFczUFXsA Ссылка на комментарий
Onika Опубликовано 27 февраля, 2019 Автор Поделиться Опубликовано 27 февраля, 2019 Нужно протезировать верхнюю 6. Есть КЛКТ . В анамнезе - радикальная операция на гайморовой пазухе.Кости моей недостаточно.Синус-лифтинг не обсуждается из-за оперированной пазухи в прошлом. Во время консультаций услышала несколько мнений врачей: 1. короткий имплант не годится, т. к. кость верхней челюсти пористая, он провалится. Лучше под углом длинный имплант - 7мм ( угол наклона назвать не могут).2.под углом будет неадекватная нагрузка на кость, не будет стоять,не советуют.можно бы было поставить короткий имплант, но минимальный размер кости должен быть 5мм, а у меня 4мм. Я нашла информацию. что существуют короткие импланты 4 мм(штраумен). Не знаю, что предпочесть в моей ситуации: короткий имплант, возможно с меньшим углом , или длинный имплант - 7 мм под углом?Удалось сделать папку с файлами: http://fayloobmennik.cloud/7351711 а вот ещё одна ссылка для скачивания файлов:https://cloud.mail.r...USxMT4aFczUFXsA Буду очень благодарна всем, кто откликнется. Спасибо. Ссылка на комментарий
Onika Опубликовано 27 февраля, 2019 Автор Поделиться Опубликовано 27 февраля, 2019 Прошу прощения, первая ссылка не работает, работает во эта ссылка: https://cloud.mail.ru/stock/9fo7wxUVgUSxMT4aFczUFXsA Ссылка на комментарий
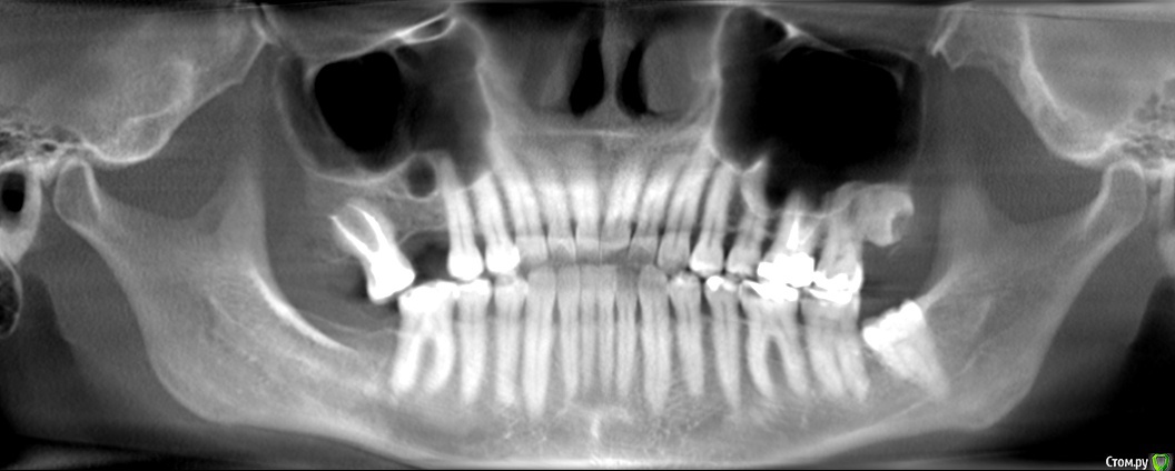
wladdX Опубликовано 27 февраля, 2019 Поделиться Опубликовано 27 февраля, 2019 (изменено) Скриншоты Сколько успел Изменено 27 февраля, 2019 пользователем wladdX Ссылка на комментарий
red_butler Опубликовано 27 февраля, 2019 Поделиться Опубликовано 27 февраля, 2019 соустье нужно посмотреть, но предварительно - не вижу препятствий для проведения открытого синуслифта Ссылка на комментарий
wladdX Опубликовано 27 февраля, 2019 Поделиться Опубликовано 27 февраля, 2019 Похоже, я загрузил скрины другого пациента (на диске записаны 2 исследования), исправляюсь. Ссылка на комментарий
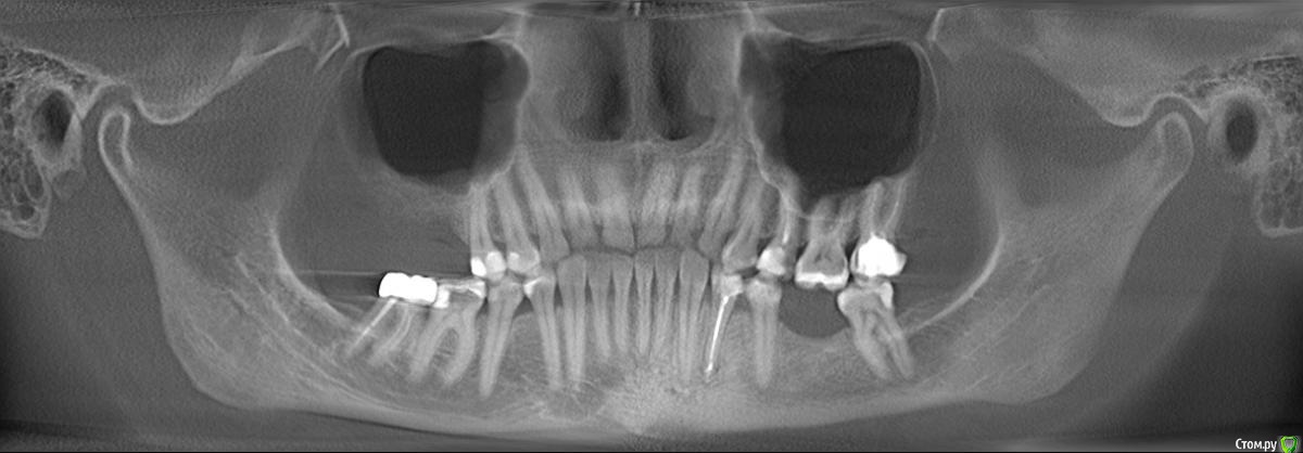
kramer Опубликовано 27 февраля, 2019 Поделиться Опубликовано 27 февраля, 2019 Закрытый синус-лифт + 10 мм имплантат Ссылка на комментарий
red_butler Опубликовано 27 февраля, 2019 Поделиться Опубликовано 27 февраля, 2019 Похоже, я загрузил скрины другого пациента Ссылка на комментарий
red_butler Опубликовано 27 февраля, 2019 Поделиться Опубликовано 27 февраля, 2019 8 мм имплант и закрытый синус без графта Ссылка на комментарий
Onika Опубликовано 27 февраля, 2019 Автор Поделиться Опубликовано 27 февраля, 2019 Cпасибо, что откликнулись. Хирурги советуют после радикальной операции не делать синус, если это возможно...Плюс ко всему у меня в этой области имеются боли - ноют верхние зубы после горячего и после активного жевания,- уже достаточно длительное время... А почему Вы не согласны с возможностью поставить короткий имплант или имплант под углом?Спасибо. Ссылка на комментарий
Onika Опубликовано 27 февраля, 2019 Автор Поделиться Опубликовано 27 февраля, 2019 И что значит без графта? Ссылка на комментарий
red_butler Опубликовано 27 февраля, 2019 Поделиться Опубликовано 27 февраля, 2019 А почему Вы не согласны с возможностью поставить короткий имплан это вопрос "веры", но если очень хочется то астра 4,0 длиной 6 мм или имплант под углом? некуда у вас наклонять И что значит без графта? без "костезаменителя" Ссылка на комментарий
Onika Опубликовано 27 февраля, 2019 Автор Поделиться Опубликовано 27 февраля, 2019 Что значит вопрос "веры"? что значит астра? И я не совсем понимаю, почему мне не советуют закрытый синус... Сказали мне так: "нежелательно.если есть возможность избежать, то лучше избежать".Я и сама боюсь вмешательства на пазухе, т. к. уже была радикальная операция, есть боли сейчас...Cпасибо. Ссылка на комментарий
red_butler Опубликовано 27 февраля, 2019 Поделиться Опубликовано 27 февраля, 2019 Что значит вопрос "веры"? вопрос предпочтений конкретного доктора. я не верю в импланты короче 7 мм что значит астра? уважаемая ну поиском то тоже не брезгуйте пользоваться... марка имплантов astra tech И я не совсем понимаю, почему мне не советуют закрытый синус... я тоже не понимаю... Ссылка на комментарий
kramer Опубликовано 27 февраля, 2019 Поделиться Опубликовано 27 февраля, 2019 почему мне не советуют закрытый синус Кто не советует-то? Закрытый синус-лифт с натяжкой можно назвать операцией на пазухе. Скорее это операция на альвеолярном отростке с вовлечением нижней стенки пазухи без нарушения целостности мембраны Ссылка на комментарий
Onika Опубликовано 27 февраля, 2019 Автор Поделиться Опубликовано 27 февраля, 2019 спасибо, извините, если что не так... Просто я слышала 2 мнения:1 - короткие импланты имеют шероховатую поверхность, благодаря чему площадь соприкосновения с костью увеличивается, и они хорошо стоят2 - короткий имплант не выдержит большую нагрузку и провалится в пористую кость... Ссылка на комментарий
Onika Опубликовано 27 февраля, 2019 Автор Поделиться Опубликовано 27 февраля, 2019 Кто не советует-то? Закрытый синус-лифт с натяжкой можно назвать операцией на пазухе. Скорее это операция на альвеолярном отростке с вовлечением нижней стенки пазухи без нарушения целостности мембраны не советует челюстно-лицевой хирург... Ссылка на комментарий
kramer Опубликовано 27 февраля, 2019 Поделиться Опубликовано 27 февраля, 2019 не советует челюстно-лицевой хирург... Попробуйте спросить другого хирурга. Будете у нас на Колыме в Москве, милости просим 1 Ссылка на комментарий
Onika Опубликовано 27 февраля, 2019 Автор Поделиться Опубликовано 27 февраля, 2019 Попробуйте спросить другого хирурга. Будете у нас на Колыме в Москве, милости просимПробовала, была у разных хирургов.. А в Москве - куда приглашаете, если не секрет? Ссылка на комментарий
Onika Опубликовано 27 февраля, 2019 Автор Поделиться Опубликовано 27 февраля, 2019 Пробовала, была у разных хирургов.. А в Москве - куда приглашаете, если не секрет?Не понимаю тогда, почему мне здесь хирурги говорят, что есть риск, если делать закрытый синус? Ссылка на комментарий
Onika Опубликовано 27 февраля, 2019 Автор Поделиться Опубликовано 27 февраля, 2019 Здесь - имею ввиду по месту моего жительства.Может быть из-за развития рубцовой ткани после радикальной операции на пазухе? Ссылка на комментарий
колесников Опубликовано 3 марта, 2019 Поделиться Опубликовано 3 марта, 2019 У вас речь идёт об одном импланты в области 16. Одиночный короткий Имплант не рекомендуется ни одним из производителей имплантов. Открытый синуслифтинг не показан из за особенностей строения пазухи в этой области,показан закрытый. Так же рекомендовал бы Астра тек,4.5х9. А также:дистализация 17го и имплантация в области 47.. либо удаление 17го,имплантация 17,16,47 Ссылка на комментарий
Рекомендуемые сообщения
Для публикации сообщений создайте учётную запись или авторизуйтесь
Вы должны быть пользователем, чтобы оставить комментарий
Создать аккаунт
Зарегистрируйте новый аккаунт в нашем сообществе. Это очень просто!
Регистрация нового пользователяВойти
Уже есть аккаунт? Войти в систему.
Войти