Falsecross Опубликовано 25 февраля, 2019 Поделиться Опубликовано 25 февраля, 2019 Здравствуйте. В 2017 г. была сделана микрогайморотомия с удалением кистогранулемы над 16-м зубом. Зуб был уже депульпированным. Спустя 4-5 месяцев начали проявляется странные ощущения в окружающих зуб тканях и губе, похожие на сокращение нервов или тики при давлении на верхушку 16-го зуба или небольшом давлении языком на него с внутренней стороны челюсти. Особенно отчетливо проявляется если надкусывать что-то жесткое этим зубом.В общем, это очень похоже именно на нервы. Будто под кожей или по десне "пробегают насекомые". Кроме того, когда зубной нитью прикасаюсь к десне между 16-м зубом и рядом стоящими, то тоже ощущаю что-то похожее на зуд. Пил финлепсин, колол лонгидазу и витамины B12 и B6 внутремышечно по рекомандациям лор-хирурга, но -- ноль реакции. Я изначально думал, что это нервы, попавщие в рубцы шва в месте проведения микрогайморотомии. Прошел уже множество врачей, от неврологов до ЧЛХ. Лишь ЧЛХ дал более или менее адекватные рекомендации -- удалить 8-ку, которая может давить на 16-й и 17 зубы, а также сделать пластику шва + пройти курс физиотерапии. Но сам врач делать что-то отказался, т.к. это все, с его слов, по профилю стоматологов. Также ЧЛХ препдположил, что виной всему может быть периодонтит. Собственно, именно к стоматологам с данной проблемой я не обращался. К какому конкретно врачу идти? Пародонтолог, хирург? Проводят ли физиотерапию в стоматологии и в каких случаях? Делают ли пластику швов после микрогайморотомии в стоматологии?Или же, может быть, стоит сразу идти к обычному физиотерапевту? Но будет ли физиотерапевт что-то делать без конкретного диагноза? Ссылка на комментарий
red_butler Опубликовано 25 февраля, 2019 Поделиться Опубликовано 25 февраля, 2019 сделайте Кт Ссылка на комментарий
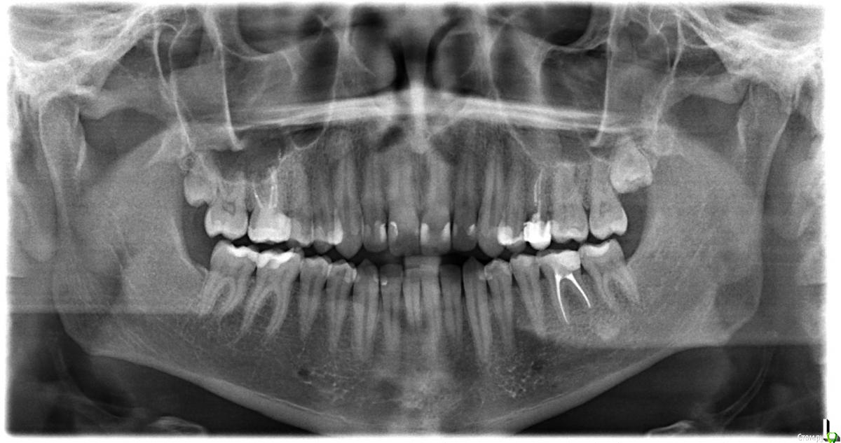
Falsecross Опубликовано 25 февраля, 2019 Автор Поделиться Опубликовано 25 февраля, 2019 КТ, конечно, есть. Загружу как доберусь до него. Однако, ни один врач ничего там не увидел. Ни ЛОРы, ни ЧЛХ, ни неврологи. Все говорят, что операция сделана хорошо. Ссылка на комментарий
dentikl Опубликовано 25 февраля, 2019 Поделиться Опубликовано 25 февраля, 2019 Здравствуйте. неврологию никто не предполагал? Ссылка на комментарий
Falsecross Опубликовано 27 февраля, 2019 Автор Поделиться Опубликовано 27 февраля, 2019 (изменено) Последнее КТ -- https://www.dropbox.com/s/5fo19o1h1vgmlrp/kt_chlh.zip?dl=0Не думаю, что кто-то будет заморачиваться с просмотром, но мало ли. неврологию никто не предполагал? Все предполагали, но неврологи разводят руками и отправляют к ЧЛХ. Это замкнутый круг. Очевидно, что с нервам проблема. Нужна физиотерапия, как минимум. Вопрос в общем-то простой. В стоматологии есть ли врачи, которые могут данной проблемой заняться и предложить решение в виде лечения? Делают ли физиотерапию в стоматологических клиниках? Вопрос, как такой врач называется, к кому идти? Изменено 27 февраля, 2019 пользователем Falsecross Ссылка на комментарий
kramer Опубликовано 27 февраля, 2019 Поделиться Опубликовано 27 февраля, 2019 как такой врач называется Физиотерапевт. Но они в стоматологических клиниках не сидят. Ссылка на комментарий
red_butler Опубликовано 27 февраля, 2019 Поделиться Опубликовано 27 февраля, 2019 Физиотерапевт. Но они в стоматологических клиниках не сидят сидят, но в государственных Ссылка на комментарий
Рекомендуемые сообщения
Для публикации сообщений создайте учётную запись или авторизуйтесь
Вы должны быть пользователем, чтобы оставить комментарий
Создать аккаунт
Зарегистрируйте новый аккаунт в нашем сообществе. Это очень просто!
Регистрация нового пользователяВойти
Уже есть аккаунт? Войти в систему.
Войти