ИришАА Опубликовано 23 февраля, 2019 Поделиться Опубликовано 23 февраля, 2019 Здравствуйте. Треснула верхняя 6 она леченная уже. Врач говорит, тк треснул вместе с корнем и к тому же есть воспаление, то ни коронку ни вкладку делать нет смысла-удаление. Так ли это? И вопрос такой-как бы на общую тему-можно ли по панорамному снимку увидеть, что у зуба (корней) есть воспаление-как в моем случае? Или обязательно делать прицельный снимок? В разных клиниках просто мне делали по-разному и мне если честно не понятно. Спасибо. Ссылка на комментарий
___49___ Опубликовано 23 февраля, 2019 Поделиться Опубликовано 23 февраля, 2019 http://forum.stom.ru/topic/20613-sovety-patcientam-obiazatelno-k-prochteniiu/ Ссылка на комментарий
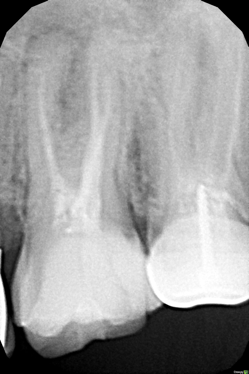
ИришАА Опубликовано 23 февраля, 2019 Автор Поделиться Опубликовано 23 февраля, 2019 Почему-то первый раз не загрузился, простите Ссылка на комментарий
___49___ Опубликовано 23 февраля, 2019 Поделиться Опубликовано 23 февраля, 2019 есть воспаление -это верно. треснул вместе с корнем по прицельному снимку или по ОПГ не всегда можно определить трещину. Ссылка на комментарий
ИришАА Опубликовано 23 февраля, 2019 Автор Поделиться Опубликовано 23 февраля, 2019 Так зуб удалять или как? Ссылка на комментарий
DmitrySH Опубликовано 23 февраля, 2019 Поделиться Опубликовано 23 февраля, 2019 Трещину мы на снимке не видим ( это не значит что ее не может быть) Если Ваш врач очно видел трещину корня, тогда конечно удалять. Воспаление есть. И вопрос такой-как бы на общую тему-можно ли по панорамному снимку увидеть, что у зуба (корней) есть воспаление-как в моем случае? Можно но не всегда, прицельный тоже не всегда покажет. Самое объективное будет КТ 1 Ссылка на комментарий
Рекомендуемые сообщения
Для публикации сообщений создайте учётную запись или авторизуйтесь
Вы должны быть пользователем, чтобы оставить комментарий
Создать аккаунт
Зарегистрируйте новый аккаунт в нашем сообществе. Это очень просто!
Регистрация нового пользователяВойти
Уже есть аккаунт? Войти в систему.
Войти