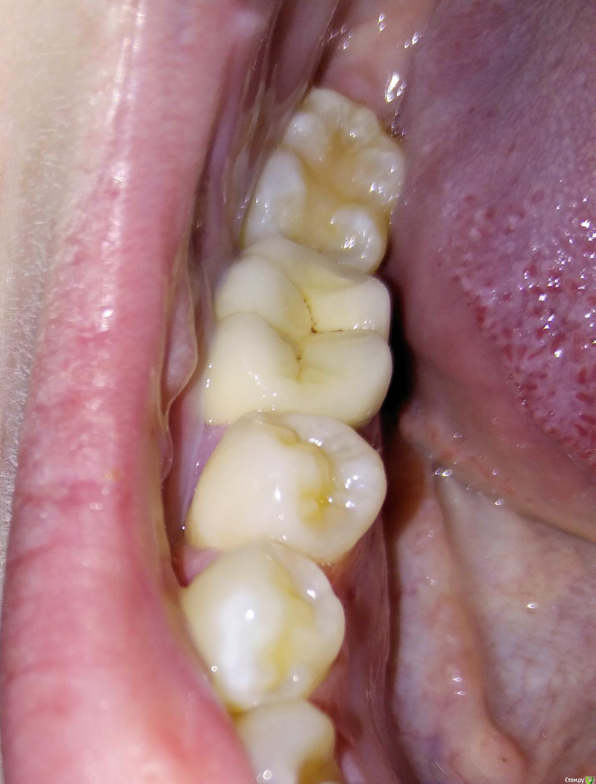
Никнейм Опубликовано 22 февраля, 2019 Поделиться Опубликовано 22 февраля, 2019 Здравствуйте! Недавно вместо временной коронки поставили металлокерамическую коронку на нижнюю шестёрку, но пока на временную фиксацию. Сказали, неделю привыкать. Вечером разглядывала коронку, а на ней вот такие темные бороздки, прилагаю фото. Будто вместе с имитиацией цвета зубов, сделали и имитацию кариеса... Зубной щеткой не счищаются, на ощупь языком вроде бы гладкие. Спросить у врача сейчас нет возможности, до следующего приема целая неделя. Да и есть вероятность, что он скажет, что это "так и надо", а я уже уйду в следующий раз с постоянной фиксацией, думая, что всё в порядке. Что это может быть, подскажите, пожалуйста, какие предположения? Ссылка на комментарий
brg Опубликовано 23 февраля, 2019 Поделиться Опубликовано 23 февраля, 2019 (изменено) Техник хотел как лучше, а получилось как всегда. Пациент не оценил его старания (т.е. подкрашивание фиссур у металлокерамической коронки) Изменено 23 февраля, 2019 пользователем brg 3 Ссылка на комментарий
AndyAndy Опубликовано 23 февраля, 2019 Поделиться Опубликовано 23 февраля, 2019 Если вам не нравится, доктор может сполировать. А можно оставить как есть. По моему скромному более чем 10-летнему опыту могу вас заверить, что через 1-2 недели вы вообще забудете об этой коронке и очень редко будете туда заглядывать. Ссылка на комментарий
Никнейм Опубликовано 23 февраля, 2019 Автор Поделиться Опубликовано 23 февраля, 2019 Техник хотел как лучше, а получилось как всегда. Пациент не оценил его старания (т.е. подкрашивание фиссур у металлокерамической коронки)Никогда бы не подумала, что специально таким образом подкрашивают "чистые" коронки) Если вам не нравится, доктор может сполировать. А можно оставить как есть. По моему скромному более чем 10-летнему опыту могу вас заверить, что через 1-2 недели вы вообще забудете об этой коронке и очень редко будете туда заглядывать.Я про нее забыла сразу, только загянула после установки, уже дома, интересно же, впервые ставлю коронки) Спросила, думая, что это возможно какой-то дефект.А саму коронку можно полировать, без ущерба для нее? Мне когда-то говорили, что готовые коронки нельзя потом поддтачивать, полировать и т.д. Ссылка на комментарий
St. Опубликовано 24 февраля, 2019 Поделиться Опубликовано 24 февраля, 2019 Никогда бы не подумала, что специально таким образом подкрашивают "чистые" коронки) Да, специально, чтоб от своих не отличались. Техник старался сделать красиво. А саму коронку можно полировать, без ущерба для нее? Можно, без фанатизма конечно Ссылка на комментарий
Никнейм Опубликовано 28 февраля, 2019 Автор Поделиться Опубликовано 28 февраля, 2019 Была у врача, он сказал то же самое, что техник так решил подкрасить, чтобы было естественней. Спасибо за ответы! Ссылка на комментарий
red_butler Опубликовано 22 мая, 2019 Поделиться Опубликовано 22 мая, 2019 Была у врача, он сказал то же самое, что техник так решил подкрасить, чтобы было естественней. Спасибо за ответы!тему можно закрывать? Ссылка на комментарий
Никнейм Опубликовано 24 мая, 2019 Автор Поделиться Опубликовано 24 мая, 2019 тему можно закрывать?Да, конечно Ссылка на комментарий
Рекомендуемые сообщения