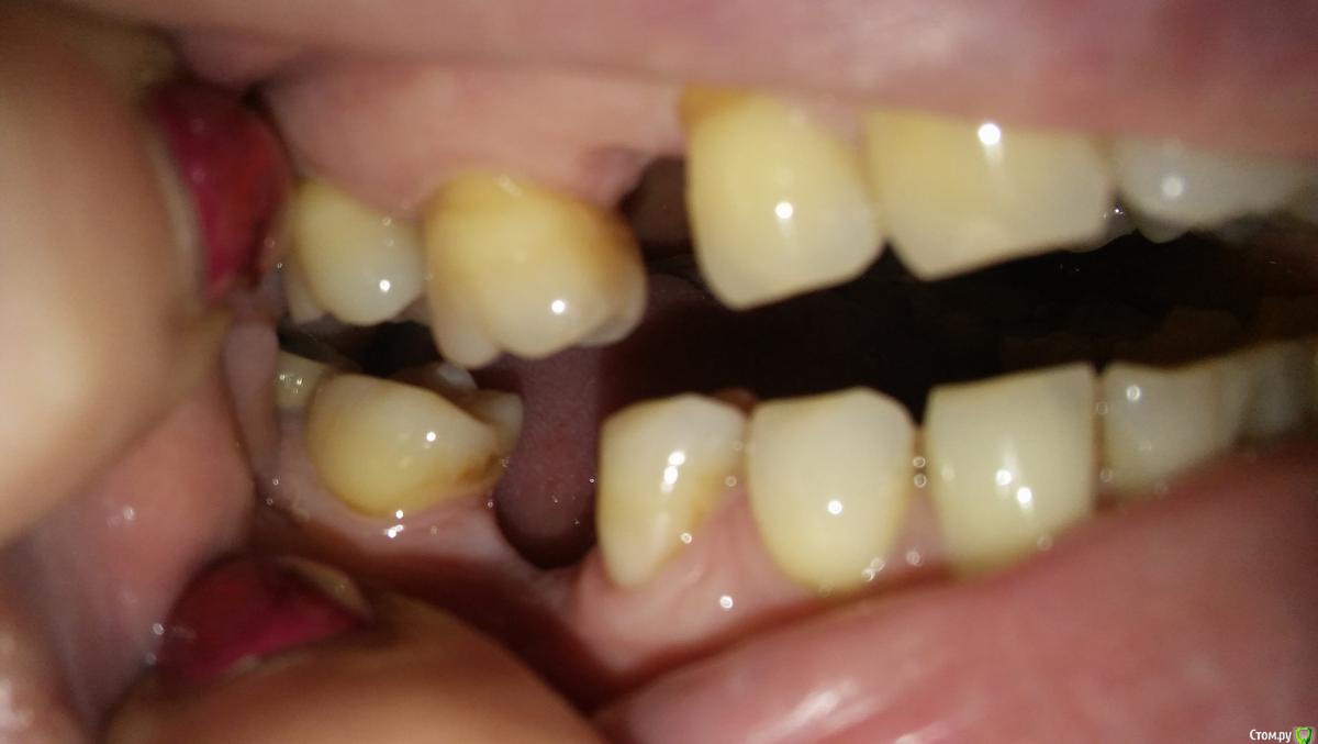
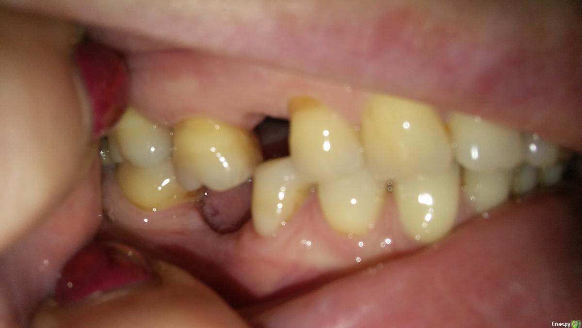
ЕленаАрх Опубликовано 18 февраля, 2019 Поделиться Опубликовано 18 февраля, 2019 Здравствуйте! Мне нужен профессиональный совет!Ситуация такая: Собралась ставить импланты (нижняя челюсть справа), но правый верхний шестой сильно выдвинулся вниз (за более чем 20 лет).Консультировалась с ортодонтом, сказал, что нет проблем, можно поставить зуб на место при помощи мини-винтов, только винты (мини-импланты) ставит хирург-имплантолог. Консультировалась с хирургом-имплантологом, говорит, что мини-винты ставить некуда, якобы не за что зацепиться. Советует депульпировать, спиливать и ставить коронку.Я серьезно обеспокоена этим, и не согласна с хирургом, т.к. ортодонт сказал, что все в норме с верхней челюстью и пазухами.Терять (убивать) здоровый (здоровенный) зуб не хочется, т.к. понимаю, что прослужит мертвый зуб не долго. Прикрепляю ссылку на конусно-лучевую КТ и любительские снимки зуба. Если ссылка не работает, то прошу писать в личку, я попытаюсь отправить через другой файлообменник и архивирую весть диск. Благодарю, за возможность задать вопрос на форуме! ССЫЛКА УДАЛЕНА ПО ЖАЛОБЕ НА ЗАГРУЗКУ СТОРОННИХ ПРОГРАММ Ссылка на комментарий
red_butler Опубликовано 18 февраля, 2019 Поделиться Опубликовано 18 февраля, 2019 Я за ортодонтию Ссылка на комментарий
ЕленаАрх Опубликовано 18 февраля, 2019 Автор Поделиться Опубликовано 18 февраля, 2019 Я за ортодонтиюСпасибо, за Ваше мнение! Ее бы имплантолога хорошего найти в Архангельске, который не побоится ставить мини - импланты))) Ссылка на комментарий
krokomot Опубликовано 18 февраля, 2019 Поделиться Опубликовано 18 февраля, 2019 Никогда не пользуйтесь данным файлообменником, подгружает кучу вирусных программ, неужели нельзя загрузить на яндекс, маил или гугл диск? Томограмму так и не удалось открыть, ссылку на программу прошу администратора удалить.По поводу ортодонтии есть различные решения с помощью минивинтов. Ссылка на комментарий
ЕленаАрх Опубликовано 18 февраля, 2019 Автор Поделиться Опубликовано 18 февраля, 2019 Никогда не пользуйтесь данным файлообменником, подгружает кучу вирусных программ, неужели нельзя загрузить на яндекс, маил или гугл диск? Томограмму так и не удалось открыть, ссылку на программу прошу администратора удалить.По поводу ортодонтии есть различные решения с помощью минивинтов.Я ни когда и не пользовалась этим файлообменником, но на этом сайте в указаниях как загружать томограмму указан именно этот файлообменник, т.ч. претензии к администраторам. Я здесь новичок и стараюсь делать так как рекомендуют администраторы сайта. Если возможно редактировать первоначальное сообщение темы, то вставлю ссылку на гуглдиск. Мне нужна пофессиональная подсказка стоматолога хирурга. За этим я здесь! Если Вы можете мне что то подсказать, я буду очень благодарна. Ссылка на комментарий
ЕленаАрх Опубликовано 18 февраля, 2019 Автор Поделиться Опубликовано 18 февраля, 2019 Никогда не пользуйтесь данным файлообменником, подгружает кучу вирусных программ, неужели нельзя загрузить на яндекс, маил или гугл диск? Томограмму так и не удалось открыть, ссылку на программу прошу администратора удалить.По поводу ортодонтии есть различные решения с помощью минивинтов.http://forum.stom.ru/topic/10677-kak-vylozhit-kt-na-sajte/ЗДЕСЬ РЕКОМЕНДАЦИИ для ПАЦИЕНТОВ как ЗАГРУЖАТЬ компьютерную томографию. Здесь и указан этот злосчастный файлообменник. Ссылка на комментарий
ЕленаАрх Опубликовано 18 февраля, 2019 Автор Поделиться Опубликовано 18 февраля, 2019 https://drive.google.com/file/d/138ieFCjTt2bkdRFy-06rFE6WiodMZqO4/view?usp=sharing Ссылка на конусно-лучевую КТ Гугл Диск. Пожалуйста, если не открывается что то сообщите мне, я остараюсь что нибудь предпринять.Мне очень совет нужен! Спасибо! Ссылка на комментарий
ЕленаАрх Опубликовано 18 февраля, 2019 Автор Поделиться Опубликовано 18 февраля, 2019 https://cloud.mail.ru/public/FEC4/ZzaxiGkLH Ссылка на КТ в Майл Облаке. Ссылка на комментарий
krokomot Опубликовано 18 февраля, 2019 Поделиться Опубликовано 18 февраля, 2019 У меня кт не открывается, требует перерегистрацию программы. Ссылка на комментарий
ЕленаАрх Опубликовано 19 февраля, 2019 Автор Поделиться Опубликовано 19 февраля, 2019 Заархивировала весь диск. https://cloud.mail.ru/public/7G8z/EdGpkihEe Уважаемые, специалисты, посмотрите, пожалуста!Что же мне делать??? Убить зуб или есть надежда его сохранить? Ссылка на комментарий
krokomot Опубликовано 19 февраля, 2019 Поделиться Опубликовано 19 февраля, 2019 корень нужно удалить, а 1.6 вполне можно выполнить интрузию с помощью 2-х минивинтов. Которые можно установить в межкорневое пространство щечно и небно и будет вам счастье. Кт нужно было сразу так выкладывать. Ссылка на комментарий
ЕленаАрх Опубликовано 19 февраля, 2019 Автор Поделиться Опубликовано 19 февраля, 2019 корень нужно удалить, а 1.6 вполне можно выполнить интрузию с помощью 2-х минивинтов. Которые можно установить в межкорневое пространство щечно и небно и будет вам счастье. Кт нужно было сразу так выкладывать.спасибо большое за Вашу отзывчивость и внимние! Корень я уже удалила в начале октября, потому и заторопилась с имплантацией, т.к. образовались "дыры" вместо зубов. очень это неудобно. Значит мне надо найти уверенного имплантолога, который может установить минивинты. как выяснилось у нас их не так много... Ссылка на комментарий
Дмитрий Л. Опубликовано 20 февраля, 2019 Поделиться Опубликовано 20 февраля, 2019 Если между верхним выдвинутым и верхним спереди стоящим зубом есть условия для имплантата, можно установить туда имплантат(ы). Параллельно установить имплантат на нижней челюсти. Подождать полгода. Затем одеть временную коронку и спользовать её и другие зубы верхней челюсти для интрузии выдвинутого зуба. Обговорите предложенный вариант с врачом. Предположил по фото, Кт не смотрел. Ссылка на комментарий
ЕленаАрх Опубликовано 20 февраля, 2019 Автор Поделиться Опубликовано 20 февраля, 2019 Если между верхним выдвинутым и верхним спереди стоящим зубом есть условия для имплантата, можно установить туда имплантат(ы). Параллельно установить имплантат на нижней челюсти. Подождать полгода. Затем одеть временную коронку и спользовать её и другие зубы верхней челюсти для интрузии выдвинутого зуба. Обговорите предложенный вариант с врачом. Предположил по фото, Кт не смотрел.Спасибо, обязательно обговорю с врачом такой вариант. Ссылка на комментарий
Рекомендуемые сообщения
Для публикации сообщений создайте учётную запись или авторизуйтесь
Вы должны быть пользователем, чтобы оставить комментарий
Создать аккаунт
Зарегистрируйте новый аккаунт в нашем сообществе. Это очень просто!
Регистрация нового пользователяВойти
Уже есть аккаунт? Войти в систему.
Войти