Перейти к содержанию
Стоматология для всех

Рекомендуемые сообщения

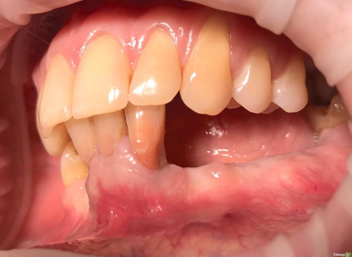
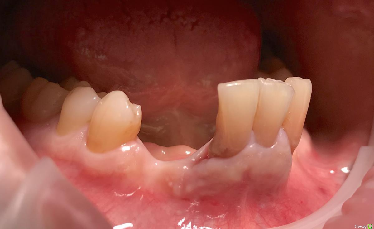
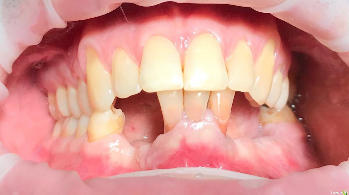
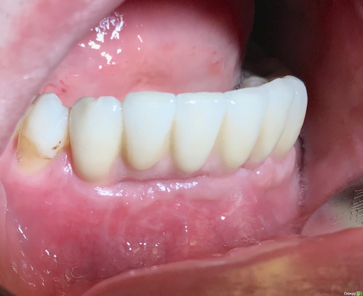
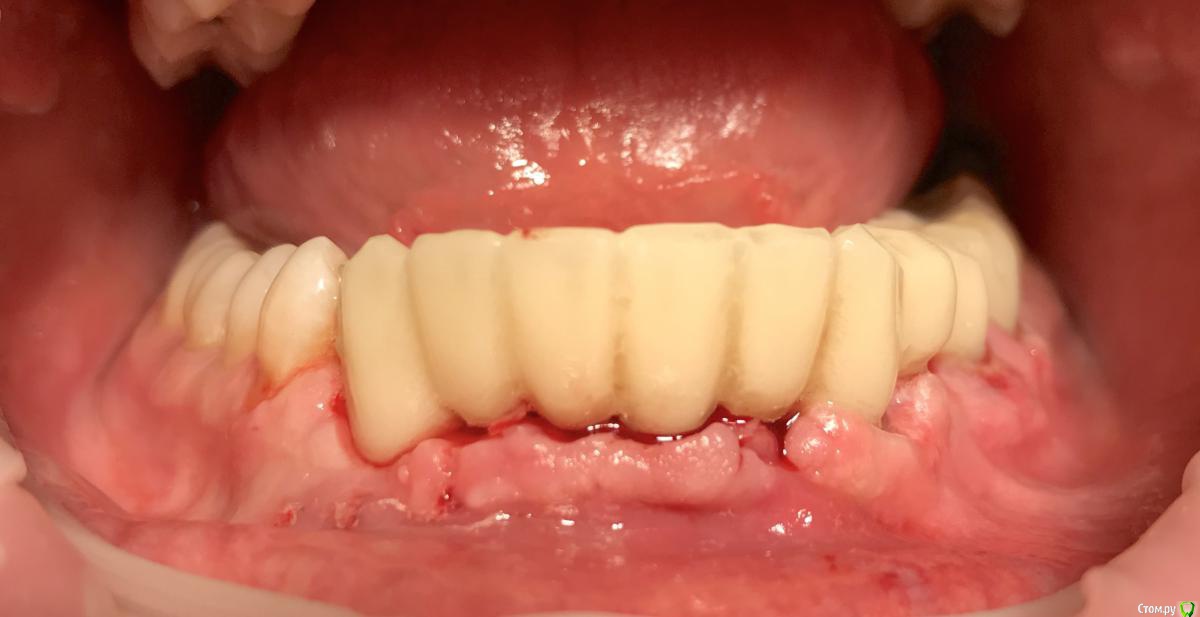
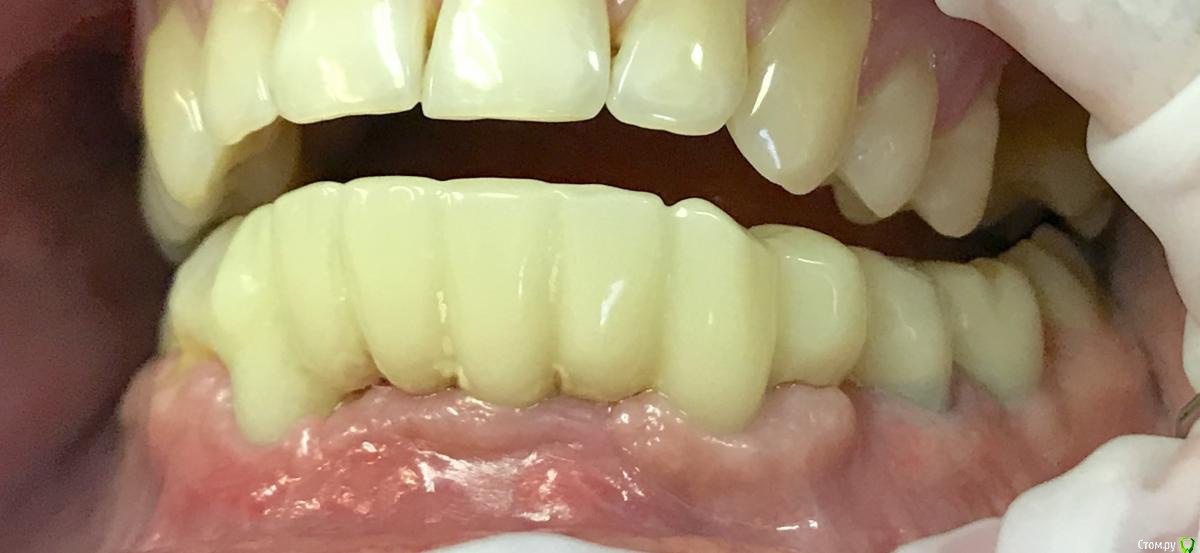
43 профайл с нулевым торком и немедленной нагрузкой. После имплантации увидел пациента через 4 месяца на коррекции временной реставрации и через год уже с постоянной конструкцией. Розовая десна конечно уже не наш уровень,но на мягких тканях поднять ещё выше было бы напрасной надеждой, фактически каркас высотой около 1см. Стоило смоделировать реставрацию с имитацией рецесси,но техник видимо не сумел. Фото загрузились в разбивку,но думаю вы разберётесь.

post-41545-0-57015300-1550346748_thumb.jpeg

post-41545-0-08888900-1550346770_thumb.jpeg

post-41545-0-99118100-1550346797_thumb.jpeg

post-41545-0-99803300-1550346856_thumb.jpeg

post-41545-0-34701800-1550346898_thumb.jpeg

post-41545-0-72464400-1550346933_thumb.jpeg

post-41545-0-70896300-1550347050_thumb.jpeg

post-41545-0-67718700-1550347092_thumb.jpeg

post-41545-0-02068600-1550347128_thumb.jpeg

post-41545-0-79973900-1550347191_thumb.jpeg

post-41545-0-03122400-1550347398_thumb.jpeg

post-41545-0-39872100-1550347479_thumb.jpeg

post-41545-0-08015300-1550347518_thumb.jpeg

post-41545-0-11883400-1550347557_thumb.jpeg

post-41545-0-46129700-1550347580_thumb.jpeg

Изменено пользователем колесников
  • Поддерживаю 9
Ссылка на комментарий

Для публикации сообщений создайте учётную запись или авторизуйтесь

Вы должны быть пользователем, чтобы оставить комментарий

Создать аккаунт

Зарегистрируйте новый аккаунт в нашем сообществе. Это очень просто!

Регистрация нового пользователя

Войти

Уже есть аккаунт? Войти в систему.

Войти
×
×
  • Создать...
Вверх