Колосс Опубликовано 16 февраля, 2019 Поделиться Опубликовано 16 февраля, 2019 Удалили и заново поставили 2 импланта.Причиной предыдущего удаления был свищ из соседнего зуба, который вовремя не был определен и который снова после повторной имплантации вылез рядом с имплантом.Гнойник надувался каждый день. Зуб залечили, после промывания гной перестал идти, но свищевой ход пока не зарос. Выкладываю фото с моментального снимка. Прошу консультацию.Побежден ли свищ и будет ли жить имплант.Если можно, прошу отвечать подробнее.Доктор настроен оптимистически, но я опасаюсь.Если снимок недостаточно информативен, сделаю орто. Заранее спасибо. Ссылка на комментарий
chervoncevdaniil Опубликовано 16 февраля, 2019 Поделиться Опубликовано 16 февраля, 2019 (изменено) Я оптимизма доктора не разделяю,орто или срезы кт было бы информативнее Изменено 16 февраля, 2019 пользователем chervoncevdaniil 1 Ссылка на комментарий
Колосс Опубликовано 16 февраля, 2019 Автор Поделиться Опубликовано 16 февраля, 2019 Я оптимизма доктора не разделяю,орто или срезы кт было бы информативнееОрто сделаю как можно быстрее Пока можно поделиться предположениямиГной от свища пошёл в имплант? Ссылка на комментарий
red_butler Опубликовано 17 февраля, 2019 Поделиться Опубликовано 17 февраля, 2019 Орто сделаю как можно быстрееПока можно поделиться предположениямиГной от свища пошёл в имплант?давайте дождемся вашего снимка 1 Ссылка на комментарий
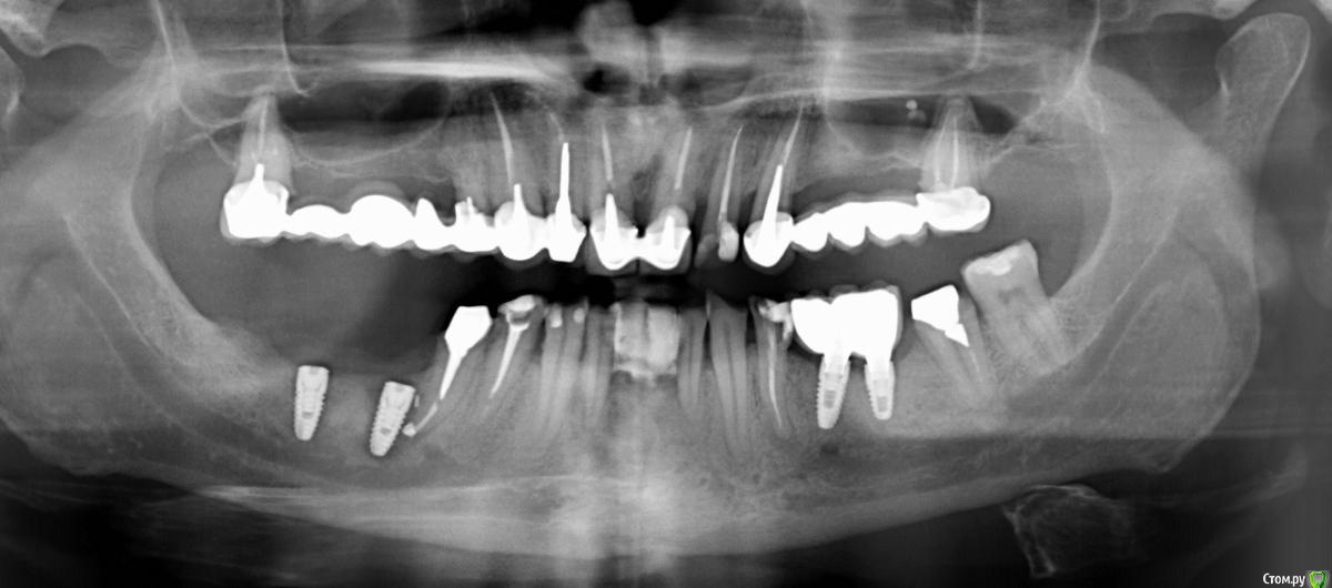
Колосс Опубликовано 17 февраля, 2019 Автор Поделиться Опубликовано 17 февраля, 2019 Выкладываю снимок Ссылка на комментарий
Колосс Опубликовано 17 февраля, 2019 Автор Поделиться Опубликовано 17 февраля, 2019 Выложил снимок, ниже в сообщении Ссылка на комментарий
red_butler Опубликовано 17 февраля, 2019 Поделиться Опубликовано 17 февраля, 2019 сколько времени прошло после имплантации? Ссылка на комментарий
Колосс Опубликовано 17 февраля, 2019 Автор Поделиться Опубликовано 17 февраля, 2019 3 месяца. Ссылка на комментарий
johniola Опубликовано 17 февраля, 2019 Поделиться Опубликовано 17 февраля, 2019 убирайте имплант 5 Ссылка на комментарий
red_butler Опубликовано 17 февраля, 2019 Поделиться Опубликовано 17 февраля, 2019 +1 удалять 3 Ссылка на комментарий
Колосс Опубликовано 17 февраля, 2019 Автор Поделиться Опубликовано 17 февраля, 2019 +1 удалятьЗаново можно будет имплант ставить? Ссылка на комментарий
red_butler Опубликовано 17 февраля, 2019 Поделиться Опубликовано 17 февраля, 2019 Заново можно будет имплант ставить?Для начала нужно убрать имплант и подождать 1 Ссылка на комментарий
Колосс Опубликовано 17 февраля, 2019 Автор Поделиться Опубликовано 17 февраля, 2019 Для начала нужно убрать имплант и подождатьСпасибо большое за ответы. Ссылка на комментарий
red_butler Опубликовано 21 февраля, 2019 Поделиться Опубликовано 21 февраля, 2019 Имплант убрали? Ссылка на комментарий
Колосс Опубликовано 25 марта, 2019 Автор Поделиться Опубликовано 25 марта, 2019 Имплант убралиДобрый день!Спасибо за советы и ответы.Имплант я убрал.Посмотрите пожалуйста нижнюю челюсть в комплексе.Мне разные специалисты рекомендуюта Больше никогда не имплантироваться.б. Оставить как есть.в. Перелечить или дернуть соседние зубы рядом с коронками на имплантах и укреплять импланты. Я не знаю что делать.От врача хочу отказаться.Он мне два раза импланты ставил на свищ и не обратил внимание на соседние больные зубы. У меня депрессия и полное непонимание, куда дальше двигаться.Есть КТ, но я не умею делать срезы. Снимок от 15.03.2019 1 Ссылка на комментарий
Рекомендуемые сообщения
Для публикации сообщений создайте учётную запись или авторизуйтесь
Вы должны быть пользователем, чтобы оставить комментарий
Создать аккаунт
Зарегистрируйте новый аккаунт в нашем сообществе. Это очень просто!
Регистрация нового пользователяВойти
Уже есть аккаунт? Войти в систему.
Войти