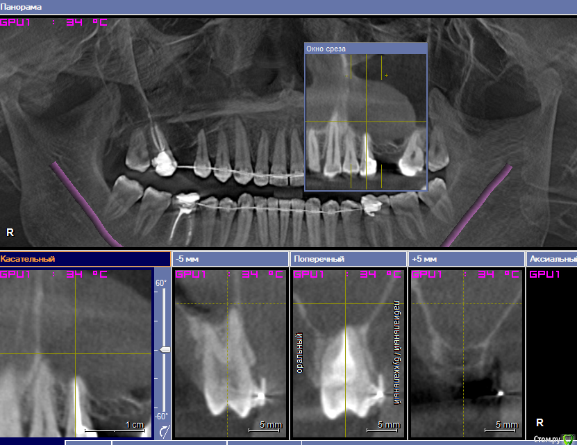
___49___ Опубликовано 15 февраля, 2019 Поделиться Опубликовано 15 февраля, 2019 Уважаемые коллеги , прошу совета, или просто мыслей в слух - как поступить в данной клинической ситуации ? фото прикладываю ниже , хотелось бы выполнить открытый синус слева с одновременным удалением кисты - как это правильнее воплотить технически , обязательна ли гистология , какие "подводные" камни могут быть , какие материалы лучше иметь под рукой ? Справа пока не определился - может ретроградку сделаю через окно с открытым синусом одновременно может удалю ..не суть - пока вопрос по левой стороне . спасибо . Ссылка на комментарий
Дмитрий Л. Опубликовано 15 февраля, 2019 Поделиться Опубликовано 15 февраля, 2019 Пациенту раньше не делали гайморотомию по колдуэл-люку?Я основную проблему вижу в том, что убирая одномоментно "кисту", мы можем порвать мембрану в клочья. И естественно отложить синус придется. Сколько пациенту не объясняй, он всё-равно подумает: "не получилось у доктора".По-этому я бы :#Проверил премоляр и моляр на витальность#Пролечил или перелечил по необходимости каналы#Направил бы к ЛОРу на эндоскопА дальше по плану.С уважением. 2 Ссылка на комментарий
pit Опубликовано 16 февраля, 2019 Поделиться Опубликовано 16 февраля, 2019 Уважаемые коллеги , прошу совета, или просто мыслей в слух - как поступить в данной клинической ситуации ? фото прикладываю ниже , хотелось бы выполнить открытый синус слева с одновременным удалением кисты - как это правильнее воплотить технически , обязательна ли гистология , какие "подводные" камни могут быть , какие материалы лучше иметь под рукой ? Справа пока не определился - может ретроградку сделаю через окно с открытым синусом одновременно может удалю ..не суть - пока вопрос по левой стороне . спасибо .Можно отпунктировать и поднять, это самый простой вариант. Или удалить через разрез слизистой, ретенционная киста легко отделяется от слизистой. Но с юридической точки зрения правильнее направить к ЛОР на эндоскопию и через 2 мес выполнить ОСЛ. 6 Ссылка на комментарий
Nazim_NV86 Опубликовано 16 февраля, 2019 Поделиться Опубликовано 16 февраля, 2019 (изменено) Если такого лора нет поблизости, то удалить через разрез слизистой, ретенционная киста легко отделяется от слизистой.Мне приходится именно так и делать. Судя по всему соустье там рабочее. Поэтому дополнительное окно над 25 позволит убрать оболочку. Алгоритм такой:1. Делаем окно над 25 и иглой откачиваем содержимое. 2. Делаем окно над 26 и отслаиваем3. Надрез слизистой над 25 и извлечение оболочки4. Мембрана, графт, имплант и т.д.Если есть ещё варианты, всегда готов к новым методам. с юридической точки зрения правильнее направить к ЛОР на эндоскопию и через 2 мес выполнить ОСЛ. Всегда об этом думаю. Даже в процессе операции Изменено 16 февраля, 2019 пользователем Nazim_NV86 2 Ссылка на комментарий
___49___ Опубликовано 26 февраля, 2019 Автор Поделиться Опубликовано 26 февраля, 2019 #Проверил премоляр и моляр на витальность #Пролечил или перелечил по необходимости каналы #Направил бы к ЛОРу на эндоскоп А дальше по плану. Но с юридической точки зрения правильнее направить к ЛОР на эндоскопию и через 2 мес выполнить ОСЛ - вот по этому варианту и пойдем , только сначала РВК в области 17 зуба ( уберем всю одонтогенность ) и через 2 недели к ЛОРу на эндоскопию , затем ОСЛ . Спасибо Уважаемые коллеги . Nazim_NV86 все читаю - беру на заметку 1 Ссылка на комментарий
___49___ Опубликовано 5 марта, 2019 Автор Поделиться Опубликовано 5 марта, 2019 В продолжение темы http://forum.stom.ru/topic/38302-rvk-17-zuba/ Ссылка на комментарий
Рекомендуемые сообщения
Для публикации сообщений создайте учётную запись или авторизуйтесь
Вы должны быть пользователем, чтобы оставить комментарий
Создать аккаунт
Зарегистрируйте новый аккаунт в нашем сообществе. Это очень просто!
Регистрация нового пользователяВойти
Уже есть аккаунт? Войти в систему.
Войти