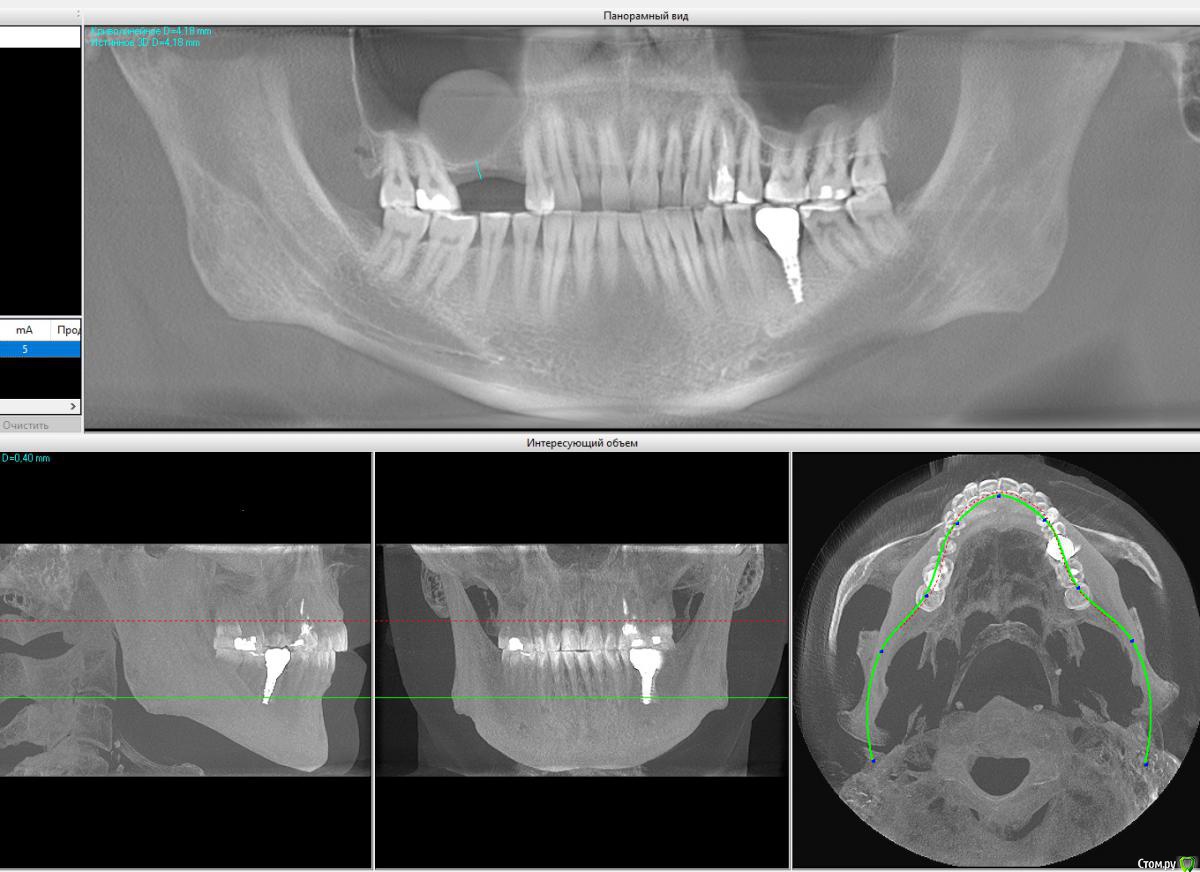
YuraK9 Опубликовано 14 февраля, 2019 Поделиться Опубликовано 14 февраля, 2019 Добрый день, нужна имплантация после удаления верхних 5,6, но над ними приличная киста. Мой стоматолог советует удалить кисту эндоскопически через нос, ждём, затем синус-лифтинг открытый, как я понимаю, ждём, затем имплантация. Есть ли достойные варианты уменьшить количество операций, что-то совместить между собой?Снимок с КТ прилагаю. Ссылка на комментарий
kramer Опубликовано 14 февраля, 2019 Поделиться Опубликовано 14 февраля, 2019 Устранить кисту во время синус-лифта 2 Ссылка на комментарий
YuraK9 Опубликовано 14 февраля, 2019 Автор Поделиться Опубликовано 14 февраля, 2019 (изменено) А это нормально, проблем лишних не добавит? Мне хирург сказал вроде того, что он может попробовать, если с лором проблемы возникнут, но ни за что не ручается, и всё такое...Точнее даже, он не говорил, что во время синус-лифтинга, сказал просто, что может попробовать сам вскрыть. Изменено 14 февраля, 2019 пользователем YuraK9 Ссылка на комментарий
Рекомендуемые сообщения
Для публикации сообщений создайте учётную запись или авторизуйтесь
Вы должны быть пользователем, чтобы оставить комментарий
Создать аккаунт
Зарегистрируйте новый аккаунт в нашем сообществе. Это очень просто!
Регистрация нового пользователяВойти
Уже есть аккаунт? Войти в систему.
Войти