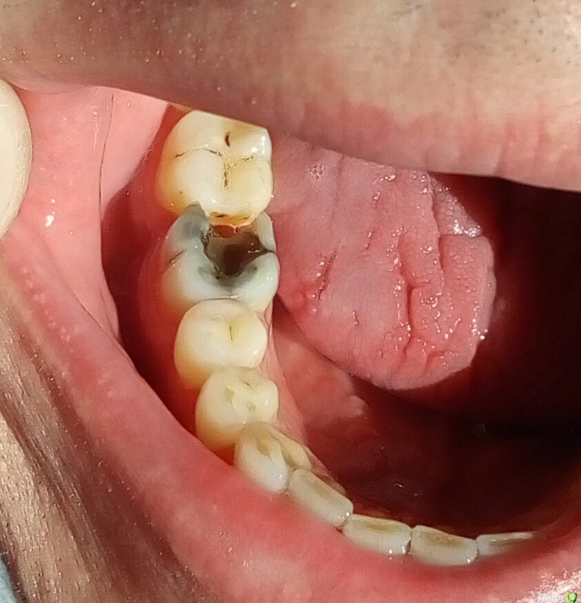
Устала Опубликовано 13 февраля, 2019 Поделиться Опубликовано 13 февраля, 2019 (изменено) Добрый день!Выкладываю ситуацию, что было несколько месяцев назад. Восстановили коронковую часть, каналы не трогали. Сейчас беспокоит легкая подвижность зуба, периодические боли, свищ (на фото видно). Снимок свежий.Что делать?Спасибо! Добрый день!Выкладываю ситуацию, что было несколько месяцев назад. Восстановили коронковую часть, каналы не трогали. Сейчас беспокоит легкая подвижность зуба, периодические боли, свищ (на фото видно). Снимок свежий.Что делать?Спасибо! Изменено 13 февраля, 2019 пользователем Устала Ссылка на комментарий
dok1 Опубликовано 13 февраля, 2019 Поделиться Опубликовано 13 февраля, 2019 Удалять Ссылка на комментарий
Устала Опубликовано 13 февраля, 2019 Автор Поделиться Опубликовано 13 февраля, 2019 Спасибо. Ссылка на комментарий
Doc Опубликовано 13 февраля, 2019 Поделиться Опубликовано 13 февраля, 2019 Снимок есть? Скорее всего удалять, конечно, но снимок все равно обязателен. Ссылка на комментарий
dok1 Опубликовано 13 февраля, 2019 Поделиться Опубликовано 13 февраля, 2019 Был. Делся, кстати, куда-то Ссылка на комментарий
Рекомендуемые сообщения
Для публикации сообщений создайте учётную запись или авторизуйтесь
Вы должны быть пользователем, чтобы оставить комментарий
Создать аккаунт
Зарегистрируйте новый аккаунт в нашем сообществе. Это очень просто!
Регистрация нового пользователяВойти
Уже есть аккаунт? Войти в систему.
Войти