Romanson Опубликовано 11 февраля, 2019 Поделиться Опубликовано 11 февраля, 2019 Аве, уважаемым хирургам!Поделитесь пожалуйста протоколом устранения десневой улыбки.Где-нибудь описан?Есть ли классификация?Насколько сложная процедура?Риск осложнений (от 1 до 10)Риск сделать хуже (от 1 до 10)Травматичность?Период заживления? Ссылка на комментарий
Dman Опубликовано 12 февраля, 2019 Поделиться Опубликовано 12 февраля, 2019 Чаще всего десневая улыбка это следствие ротации верхней челюсти и второго класса окклюзии, который исправляется при помощи ортодонта и ортохирургии. Все остальные манипуляции типа увеличения клинической коронки, ботокс, увеличение губ чисто косметические, и результат очень индивидуален в каждом случае. Ссылка на комментарий
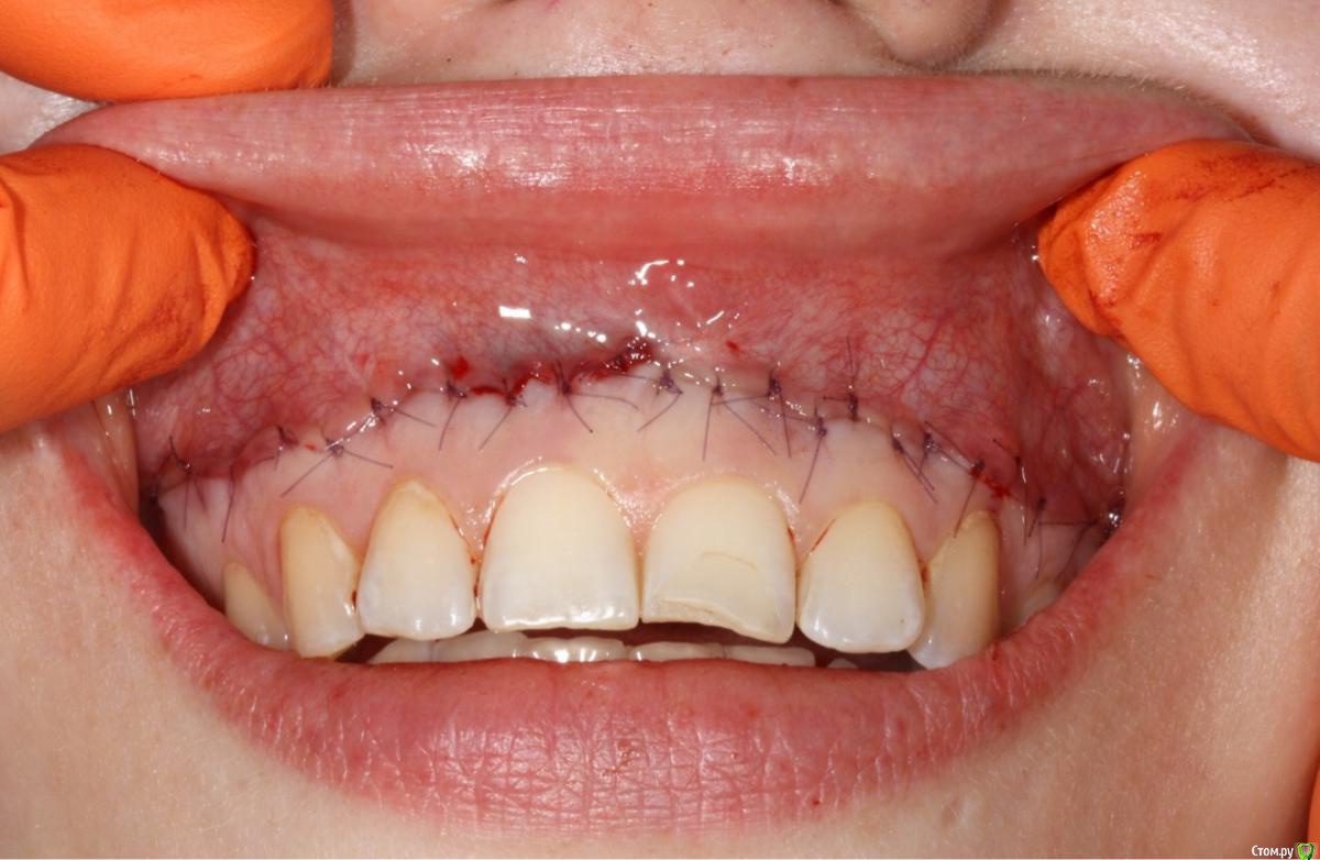
EdGein Опубликовано 12 февраля, 2019 Поделиться Опубликовано 12 февраля, 2019 Реверсивная вестибулопластика.Иссекается полоска эпителия выше слизисто-десневого соединения шириной примерно10-12 мм от шестерки до шестерки.Края раны ушиваются.Таким образом происходит репозиция нижней губы.Так же часто сочетается с удлинением клинических коронок зубов. 4 Ссылка на комментарий
Romanson Опубликовано 12 февраля, 2019 Автор Поделиться Опубликовано 12 февраля, 2019 Реверсивная вестибулопластика.Иссекается полоска эпителия выше слизисто-десневого соединения шириной примерно10-12 мм от шестерки до шестерки.Края раны ушиваютсяСпасибо.А как иссекаются?Просто погружаем лезвие на 1 мм, наметываем прямоугольник, аккуратно хватаем за край и подсекаем пока все не отрежим, при этом обходя уздечку?Насколько травматично для пациента?Какие особенности в ведении раны? Ссылка на комментарий
Romanson Опубликовано 12 февраля, 2019 Автор Поделиться Опубликовано 12 февраля, 2019 10-12 мм всегда, или можно мерять?Я читал, вчера кто-то писал, что нужно замерять расстояние от границы губы, до зенита резца во время улыбки — это и есть ширина иссекаемой части. Ссылка на комментарий
Romanson Опубликовано 12 февраля, 2019 Автор Поделиться Опубликовано 12 февраля, 2019 Вот эти тяжи тоже иссекаются? Ссылка на комментарий
EdGein Опубликовано 12 февраля, 2019 Поделиться Опубликовано 12 февраля, 2019 10-12 мм это в среднем.А так нужно замерять от зенита до края губы.Полоска иссекается до мышц. Травматичность минимальна, может быть небольшой отек, но не всегда.Уздечка и тяжы иссекаются, хотя есть методики в обход уздечки. 1 Ссылка на комментарий
Дмитрий Л. Опубликовано 12 февраля, 2019 Поделиться Опубликовано 12 февраля, 2019 (изменено) А если высекаем прикрепленную десну, лоскут лучше расщепить или отслаивается полноценный слизисто-надкостничный лоскут? Изменено 12 февраля, 2019 пользователем Дмитрий Л. Ссылка на комментарий
EdGein Опубликовано 12 февраля, 2019 Поделиться Опубликовано 12 февраля, 2019 Работаем выше слизисто-десневого соединения, т.е. на подвижной слизитой. 2 Ссылка на комментарий
Romanson Опубликовано 12 февраля, 2019 Автор Поделиться Опубликовано 12 февраля, 2019 10-12 мм это в среднем.А так нужно замерять от зенита до края губы.Полоска иссекается до мышц. Травматичность минимальна, может быть небольшой отек, но не всегда.Уздечка и тяжы иссекаются, хотя есть методики в обход уздечки.Видно, что Вы спец и разбираетесь в вопросе, спасибо за ответы.Есть ли какое-нибудь информативное на Ваш взгляд видео, увидеть глазами. Ссылка на комментарий
Ethan Hunt Опубликовано 13 февраля, 2019 Поделиться Опубликовано 13 февраля, 2019 Что товарищ Bier по этому поводу скажет? Ссылка на комментарий
Romanson Опубликовано 13 февраля, 2019 Автор Поделиться Опубликовано 13 февраля, 2019 от шестерки до шестерки.Вот тут доктор иссек от двойки до двойкиhttps://m.youtube.com/watch?v=6yAbB8FoR-cВ чем разница? Ссылка на комментарий
EdGein Опубликовано 14 февраля, 2019 Поделиться Опубликовано 14 февраля, 2019 Вот тут доктор иссек от двойки до двойкиhttps://m.youtube.com/watch?v=6yAbB8FoR-cВ чем разница?В превый раз виду, что бы так делали 1 Ссылка на комментарий
Estes Опубликовано 24 февраля, 2019 Поделиться Опубликовано 24 февраля, 2019 Полоска иссекается до мышц. А где эти мышцы располагаются, покажите ну хоть на рисунке от руки? Ссылка на комментарий
Рекомендуемые сообщения
Для публикации сообщений создайте учётную запись или авторизуйтесь
Вы должны быть пользователем, чтобы оставить комментарий
Создать аккаунт
Зарегистрируйте новый аккаунт в нашем сообществе. Это очень просто!
Регистрация нового пользователяВойти
Уже есть аккаунт? Войти в систему.
Войти