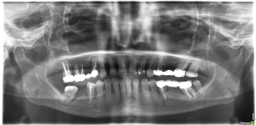
елена сок Опубликовано 11 февраля, 2019 Поделиться Опубликовано 11 февраля, 2019 Прошла 4 врачей - и все советуют РАЗНЫЙ комплекс лечения - от просто тщательной и постоянной гигиены до удаления зубов и имплантации. Мозг взрывается! Нужно определятся - а я не знаю, каким путем идти... Все же НЕ хотелось бы лишаться СВОИХ зубов.(если только, конечно, нет других вариантов...) Есть надежда, что получу понятную консультацию на этом форуме и смогу принять ПРАВИЛЬНОЕ решение. Заранее - всем СПАСИБО!!!!! Ссылка на комментарий
___49___ Опубликовано 11 февраля, 2019 Поделиться Опубликовано 11 февраля, 2019 (изменено) http://forum.stom.ru/topic/20613-sovety-patcientam-obiazatelno-k-prochteniiu/ нет предмета обсуждения , прочтите пожалуйста. Изменено 11 февраля, 2019 пользователем ___49___ Ссылка на комментарий
DmitrySH Опубликовано 11 февраля, 2019 Поделиться Опубликовано 11 февраля, 2019 и все советуют РАЗНЫЙ комплекс лечения - от просто тщательной и постоянной гигиены до удаления зубов и имплантации. Сложная ситуация, и без очного осмотра сложно что-то конкретное сказать. Но те кто смотрел, все правильно сказали. Минимально - это поддержание проф. гигиены. очень тщательно, после каждого приема пищи. обязательно с ирригатором. Максимально - удаление и имплантация. Ссылка на комментарий
Рекомендуемые сообщения
Для публикации сообщений создайте учётную запись или авторизуйтесь
Вы должны быть пользователем, чтобы оставить комментарий
Создать аккаунт
Зарегистрируйте новый аккаунт в нашем сообществе. Это очень просто!
Регистрация нового пользователяВойти
Уже есть аккаунт? Войти в систему.
Войти