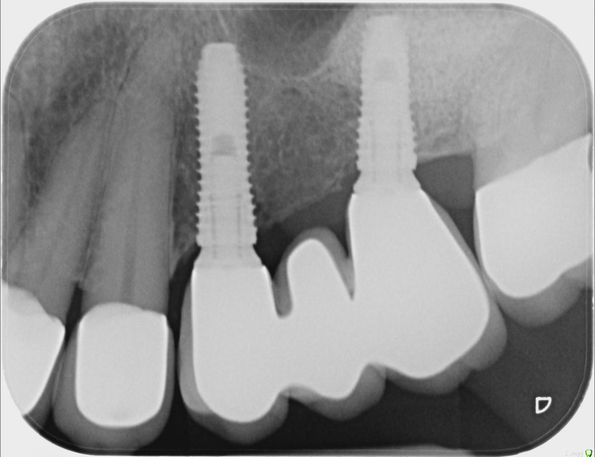
ellenchik Опубликовано 7 февраля, 2019 Поделиться Опубликовано 7 февраля, 2019 Добрый день, имплантант стоит 3 года.( DIO-имплантант). Последнее время-неясные жгучие ,ноющие боли по левой стороне верх.челюсти. Искали причину в зубах под коронкой. По последнему прицельному снимку стоматолог увидела воспаление возле имплантанта.. Имплантолог к сожалению в другой стране. Придется лететь туда или искать другого специалиста на месте ? Спасибо большое за комментарии. С уважением Елена. Ссылка на комментарий
red_butler Опубликовано 7 февраля, 2019 Поделиться Опубликовано 7 февраля, 2019 не вижу проблем с имплантами 6 Ссылка на комментарий
ellenchik Опубликовано 7 февраля, 2019 Автор Поделиться Опубликовано 7 февраля, 2019 ОК, спасибо! Ссылка на комментарий
Бендер Опубликовано 8 февраля, 2019 Поделиться Опубликовано 8 февраля, 2019 Проверяйте соседние зубы Ссылка на комментарий
ellenchik Опубликовано 8 февраля, 2019 Автор Поделиться Опубликовано 8 февраля, 2019 Спасибо за ответ! проверяем,но пока не находят ничего. Ссылка на комментарий
red_butler Опубликовано 21 февраля, 2019 Поделиться Опубликовано 21 февраля, 2019 Спасибо за ответ! проверяем,но пока не находят ничего.Тему можно закрывать? Ссылка на комментарий
ellenchik Опубликовано 21 февраля, 2019 Автор Поделиться Опубликовано 21 февраля, 2019 Да, наверно можно закрыть. Спасибо всем за ответы! Во вторник все же иду к хирургу,очно смотреть имплантант. Стоматолог все же не видит проблем в соседних зубах. Ссылка на комментарий
Рекомендуемые сообщения