Перейти к содержанию
Стоматология для всех

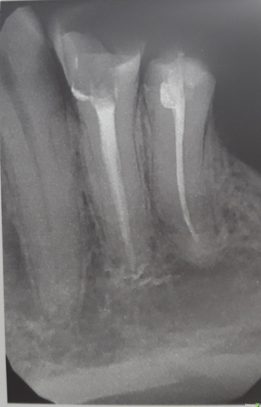
5й зуб, снимок, периодические боли


Kraas

Рекомендуемые сообщения

Всем доброго дня. Спасибо за внимание. 5й зуб, депульпирован больше 10 лет, был под группой коронок, коронки сняты 4 года назад из-за удаления 6го зуба. Когда меняли пломбу, врач обратил, что от зуба идет плохой запах, пыталась переделать канал, но не смогла его распечатать, в итоге поставили пломбу и забыли. Порядка года назад начали появляться боли по ночам в районе этого зуба, при нажимании пальцем на щеку на нижней челюсти в районе зуба возникают несильные неприятные ощущения, но после приема найза пропадают и через некоторое время всё повторяется. Таким образом, насколько я понимаю, пролечить канал зуба нельзя, а особых проблем на снимке не видно, в тоже время проблемы с периодическими болевыми ощущениями не уходят, а повторяются (болит - найз - передышка - болит - найз). Готов расстаться с зубом, но прислушаюсь к рекомендациям. Еще раз спасибо!

post-1000-0-30732000-1549519521_thumb.jpg

Ссылка на комментарий

 

 

Таким образом, насколько я понимаю, пролечить канал зуба нельзя, а особых проблем на снимке не видно
Воспаление есть на снимке. Но снимок сам по себе не очень четкий. 

Если раньше не удалось полностью обработать канал, то это ничего не значит.

Сделайте КТ

Ссылка на комментарий

Для публикации сообщений создайте учётную запись или авторизуйтесь

Вы должны быть пользователем, чтобы оставить комментарий

Создать аккаунт

Зарегистрируйте новый аккаунт в нашем сообществе. Это очень просто!

Регистрация нового пользователя

Войти

Уже есть аккаунт? Войти в систему.

Войти
×
×
  • Создать...
Вверх