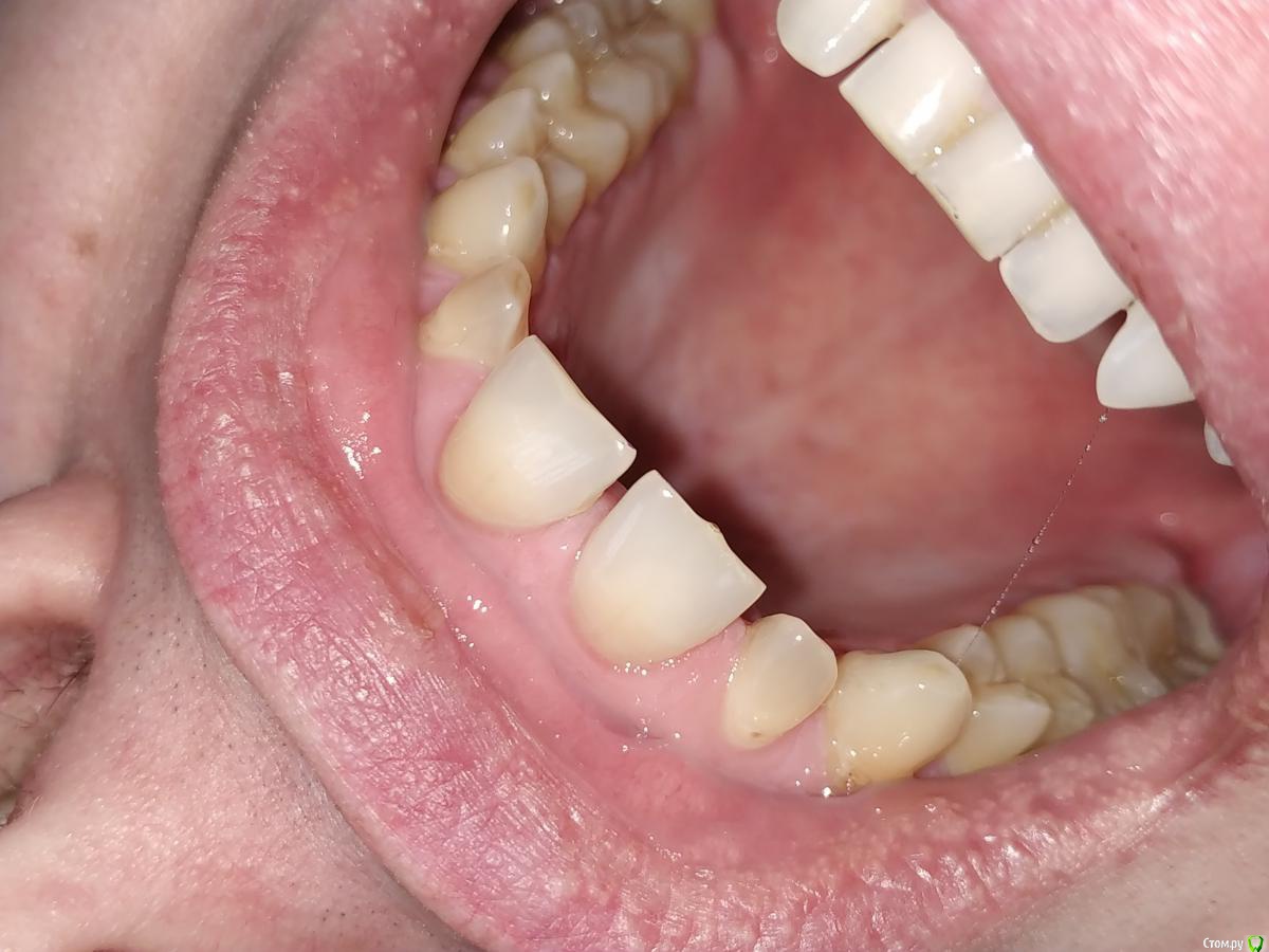
Danger Опубликовано 6 февраля, 2019 Поделиться Опубликовано 6 февраля, 2019 Добрый вечер. Есть такой пациент. есть такой воск. Пациент готов оплатить что керамику что композит этих 4х зубов. Конечно керамикой сделать гораздо лучше,но становится вопрос о дизайне препа вторых резцов, а именно создания уступа что значительно уменьшит зуб и может вызвать пульпит. Композитом можно вообще нон преп сделать, что биологичнее но менее п редсказуемо с точки зрения исполнения\\\\ как решить? Ссылка на комментарий
Борис80 Опубликовано 8 февраля, 2019 Поделиться Опубликовано 8 февраля, 2019 виниры Ссылка на комментарий
kramer Опубликовано 8 февраля, 2019 Поделиться Опубликовано 8 февраля, 2019 становится вопрос о дизайне препа вторых резцов, а именно создания уступа что значительно уменьшит зуб и может вызвать пульпит Сделайте нон-преп виниры Ссылка на комментарий
Danger Опубликовано 8 февраля, 2019 Автор Поделиться Опубликовано 8 февраля, 2019 Сделайте нон-преп виниры нон преп виниры из композиты представляю как. Ссылка на комментарий
Дмитрий Л. Опубликовано 8 февраля, 2019 Поделиться Опубликовано 8 февраля, 2019 А вакс-ап делался с учетом прикуса? Зубы на моделях как-то препарировали? Есть возможность сделать ноупреп одиночные времянки, чтоб оценить, к примеру, необходимость редукции режущего края и посмотреть на сосочек?P.S. Ноупреп виниры - это круто, а пломбы с нависающим краям - это пародонтит. Почему?) Ссылка на комментарий
bakagaidzin Опубликовано 8 февраля, 2019 Поделиться Опубликовано 8 февраля, 2019 можно сделать виниры с минимальным препарированием,о каком пульпите тут идет речь?случай вообще идеальный для такого решения,только надо будет смещать границу субгингивально для того чтобы у техника был "разгон" для плавного выхода керамики Ссылка на комментарий
Danger Опубликовано 9 февраля, 2019 Автор Поделиться Опубликовано 9 февраля, 2019 А вакс-ап делался с учетом прикуса? Зубы на моделях как-то препарировали? Есть возможность сделать ноупреп одиночные времянки, чтоб оценить, к примеру, необходимость редукции режущего края и посмотреть на сосочек?P.S. Ноупреп виниры - это круто, а пломбы с нависающим краям - это пародонтит. Почему?)Ну почему же тут пломбы будут нависать?пломбой можно вывести плавный переход.Не представляю ноу преп керамические виниры, ведь керамике надо уступ. Может не хватка у меня знаний Ссылка на комментарий
kramer Опубликовано 9 февраля, 2019 Поделиться Опубликовано 9 февраля, 2019 ведь керамике надо уступ Сделайте уступ 0,2-0,3 мм, чтобы техник видел границу и все. Пульпит не случится Ссылка на комментарий
Дмитрий Л. Опубликовано 9 февраля, 2019 Поделиться Опубликовано 9 февраля, 2019 Ну почему же тут пломбы будут нависать?пломбой можно вывести плавный переход.Не представляю ноу преп керамические виниры, ведь керамике надо уступ. Может не хватка у меня знанийЯ не про конкретно ваш случай, я в общем смысле. Ссылка на комментарий
suballex Опубликовано 22 февраля, 2019 Поделиться Опубликовано 22 февраля, 2019 Добрый вечер. Есть такой пациент. есть такой воск. Пациент готов оплатить что керамику что композит этих 4х зубов. Конечно керамикой сделать гораздо лучше,но становится вопрос о дизайне препа вторых резцов, а именно создания уступа что значительно уменьшит зуб и может вызвать пульпит. Композитом можно вообще нон преп сделать, что биологичнее но менее п редсказуемо с точки зрения исполнения\\\\ как решить? Что то я не заметил показаний к сильной редукции. Как раз наоборот. Вся эмаль уцелеет. О каком пульпите речь? Ссылка на комментарий
Danger Опубликовано 28 февраля, 2019 Автор Поделиться Опубликовано 28 февраля, 2019 в общем сделал на композите Ссылка на комментарий
Рекомендуемые сообщения
Для публикации сообщений создайте учётную запись или авторизуйтесь
Вы должны быть пользователем, чтобы оставить комментарий
Создать аккаунт
Зарегистрируйте новый аккаунт в нашем сообществе. Это очень просто!
Регистрация нового пользователяВойти
Уже есть аккаунт? Войти в систему.
Войти