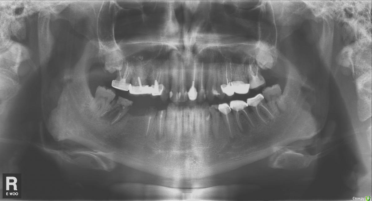
feoddor Опубликовано 6 февраля, 2019 Поделиться Опубликовано 6 февраля, 2019 (изменено) Добрый день. Прошу помощи,совета т.к. сил моих уже больше нет.Мне 35 лет, и всю свою сознательную жизнь я лечу зубы. Не очень успешно(Текущая острая проблема:Снизу,справа стоял мост 5-7.Но в семерке обломилась вкладка, семерку с огромным трудом удалось спасти , и восстановить на стеклокерамических штифтах.Депульпировал здоровую 5-ку,поставил новый мост: 4+5->7Вчера он вывалился.Простоял 4 года. Но за эти 4 года у меня там выросла вполне себе визуально полноценная восьмерка.Что теперь делать? Снимок сделал, вот думаю, куда идти сдаваться. С 7-ой, похоже - все, конец. Или стоит опять что-то попытаться сделать? 5 и 4 визуально выглядят плохо,+ они чуть побаливали эти 4 года. + там вижу какое то потемнение у корня 4-ки( Она обломилась,кусок остался в коронке. 8-ка здоровая, не беспокоит. Удалять ее вообще не хочется(если связываться с имплантами), но и как использовать ее - не знаю. Имеет ли смысл рассматривать мост 8-4+5? Обязательно ли в этом случае депульпировать восьмерку? У меня маленький рот,сводит судорогами челюсть, если держать сильно открытым. И депульпация восьмерки , скорее всего, превратится в тот еще ад. И не факт, что при этом удастся нормально пройти все каналы в ней, а я слышал, что там с ними все сложно. Может попробовать поставить на нее мост без депульпации, комбинированный:штамповка + МК? Мне эта идея на данный момент больше всего нравится. Нужно ли перелечивать 4-5? Или вообще все удалять и ставить мост на имплантах....но это вообще - абзац. И по времени, и по финансам, и с эстетической стороны(((( Прошу помощи, совета. Прилагаю свежий снимок.Зараннее спасибо. Изменено 6 февраля, 2019 пользователем feoddor Ссылка на комментарий
red_butler Опубликовано 6 февраля, 2019 Поделиться Опубликовано 6 февраля, 2019 Что теперь делать? 4.8 4.7 4.5 удалять Имеет ли смысл рассматривать мост 8-4+5? нет У меня маленький рот,сводит судорогами челюсть, если держать сильно открытым. лечитесь под седацией Или вообще все удалять и ставить мост на имплантах....но это вообще - абзац это не так страшно ))) Ссылка на комментарий
feoddor Опубликовано 7 февраля, 2019 Автор Поделиться Опубликовано 7 февраля, 2019 (изменено) Спасибо, к тому все и идет.... 4.8 4.7 4.5 удалять А можно узнать, чем вам 4.5 не понравился? На 4.4 - вообще гранулема, судя по снимку. А восьмерку то за что? Но всякий случай? Изменено 7 февраля, 2019 пользователем feoddor Ссылка на комментарий
red_butler Опубликовано 7 февраля, 2019 Поделиться Опубликовано 7 февраля, 2019 Спасибо, к тому все и идет.... А можно узнать, чем вам 4.5 не понравился? На 4.4 - вообще гранулема, судя по снимку. А восьмерку то за что? Но всякий случай?Оставшийся объём твёрдых тканей не позволяет его восстановить. 4.4 под большим вопросом, если пойдёт под коронку, то его нужно перелечить.4.8 лишён антагониста (нет восьмерки сверху), и частично сместился, если не хотите проблем в будущем, то отпустите его Ссылка на комментарий
Рекомендуемые сообщения
Для публикации сообщений создайте учётную запись или авторизуйтесь
Вы должны быть пользователем, чтобы оставить комментарий
Создать аккаунт
Зарегистрируйте новый аккаунт в нашем сообществе. Это очень просто!
Регистрация нового пользователяВойти
Уже есть аккаунт? Войти в систему.
Войти