alezz Опубликовано 4 февраля, 2019 Поделиться Опубликовано 4 февраля, 2019 Вчера у ребенка разболелась десна и немного припухла щека. Сегодня были в клинике, врач после осмотра и рентгена сделала вывод что из-за неправильного пломбирования инфекция заразила нервы в трех молочных зубах и из них пошла в десну. Все зубы боковые, молары. Два рядом справа и один слева. Она мне показала рентгеновкие снимки, там действительно видно что корни у этих зубов сильно разрушились в сравнении с другими.Я предложил их просто вырвать. Но она сказала что ребенку еще только 7.5 лет, а постоянные зубы на этих позициях вырастают в 11 лет. Если их удалить, то другие молочные зубы сместятся и коренные потом неправильно вырастут. Она предлагает удалить пломбы, попробовать пролечить каналы и с новыми пломбами сохранить эти зубы хотя бы еще на год. Мне в этом во-первых не нравится то, что инфицированные зубы будут постоянным источником инфекции во рту. Она сама сказала, что полностью вылечить их уже не получится. И во-вторых просто не хочется платить за сложное лечение молочных зубов.Действительно ли настолько важно в 7,5 лет бороться за сохранение молочных зубов? Ссылка на комментарий
red_butler Опубликовано 4 февраля, 2019 Поделиться Опубликовано 4 февраля, 2019 Покажите снимки Ссылка на комментарий
alezz Опубликовано 4 февраля, 2019 Автор Поделиться Опубликовано 4 февраля, 2019 К сожалению я не догадался попросить у врача снимки. Но Вы не могли бы ответить в принципе, действительно ли настолько важно в 7,5 лет бороться за сохранение молочных зубов? Ссылка на комментарий
DmitrySH Опубликовано 4 февраля, 2019 Поделиться Опубликовано 4 февраля, 2019 Но Вы не могли бы ответить в принципе, действительно ли настолько важно в 7,5 лет бороться за сохранение молочных зубов? при удалении молочных зубов используются специальные ортодонтические конструкции, которые сохранят место для постоянных зубов Ссылка на комментарий
alezz Опубликовано 5 февраля, 2019 Автор Поделиться Опубликовано 5 февраля, 2019 (изменено) Да, про это я уже почитал. Но конкретно в моем случае, что предпочтительней? Лечить или вырвать?И насколько удобно будет ребенку с этими конструкциями, если их применить? Изменено 5 февраля, 2019 пользователем alezz Ссылка на комментарий
red_butler Опубликовано 5 февраля, 2019 Поделиться Опубликовано 5 февраля, 2019 Но Вы не могли бы ответить в принципе Но конкретно в моем случае, что предпочтительней? для ответов нужны объективные данные. Без снимков тему придется закрыть http://forum.stom.ru/topic/20613-sovety-patcientam-obiazatelno-k-prochteniiu/ Ссылка на комментарий
alezz Опубликовано 5 февраля, 2019 Автор Поделиться Опубликовано 5 февраля, 2019 Погодите пока закрывать. Я сейчас пытаюсь их получить по почте 1 Ссылка на комментарий
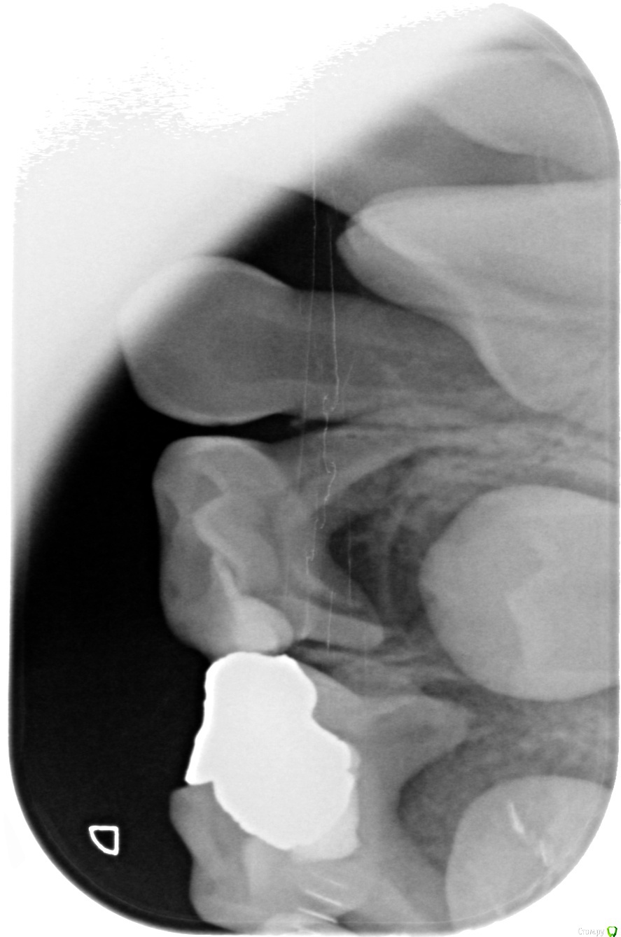
alezz Опубликовано 5 февраля, 2019 Автор Поделиться Опубликовано 5 февраля, 2019 Снимки Ссылка на комментарий
Дмитрий Л. Опубликовано 5 февраля, 2019 Поделиться Опубликовано 5 февраля, 2019 4е моляры молочные удалить, 5й можно попробовать отстрочить ненадолго Ссылка на комментарий
alezz Опубликовано 6 февраля, 2019 Автор Поделиться Опубликовано 6 февраля, 2019 Если удалить все три проблемных зуба, то что именно надо делать после удаления? И будет ли это доставлять неудобства ребенку?А если пробовать лечить? Оправдано ли это в такой ситуации? Ссылка на комментарий
DmitrySH Опубликовано 6 февраля, 2019 Поделиться Опубликовано 6 февраля, 2019 Если удалить все три проблемных зуба, то что именно надо делать после удаления? И будет ли это доставлять неудобства ребенку? Ортодонтическую конструкцию сделать, которая сохранит место для постоянных зубов. У детей хорошая адаптация, не переживайте 1 Ссылка на комментарий
Рекомендуемые сообщения
Для публикации сообщений создайте учётную запись или авторизуйтесь
Вы должны быть пользователем, чтобы оставить комментарий
Создать аккаунт
Зарегистрируйте новый аккаунт в нашем сообществе. Это очень просто!
Регистрация нового пользователяВойти
Уже есть аккаунт? Войти в систему.
Войти