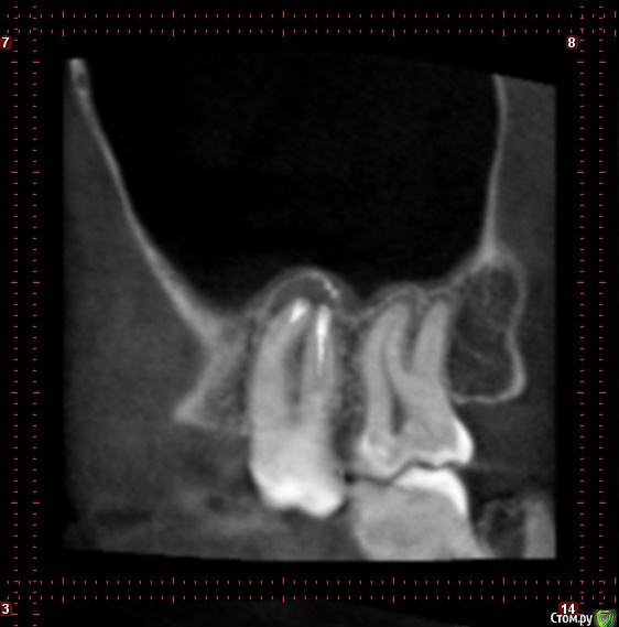
Seven Опубликовано 4 февраля, 2019 Поделиться Опубликовано 4 февраля, 2019 ЗдравствуйтеЗуб на верхней челюсти, справа, перед зубом мудрости.Зуб, лечился с удалением нервов лет 5 назад. Сейчас на протяжении пару месяцев чувствовалось распирание и жжение, перед этим между ним и зубом мудрости часто попадала пища и я чувствовал болезненность.фото, оно большое https://b.radikal.ru/b42/1902/18/ad6fa98f7463.jpgДве недели назад пошел к зубному. Определили на корне этого зуба кисту фото 12,13 в зеленой рамке, 8 в красной. Врач прочистила канал и заложила лекарство, под временную пломбу. Прочистка пошла не совсем по плану, инструмент пошел по красной линии на рисунке(по мотивам того что я видел на ренгене), врач сказала раз крови нет значит в кость не попали. Да под зубом есть уплотнение на десне, до введение лекарства было довольно болезненное, теперь намного меньше. Собственно теперь проблемы, прошло две недели, и две недели этот зуб у меня болит, причем собственно сам зуб не очень, болит чуть выше него, от ноющей до очень сильной боли, вместе с ним болит голова, и глаза, отдает немного в ухо. Сильная боль радует меня по ночам и утрам. По совету врача пью Нимесил, помогает, но без него продолжает болеть. Так и должно быть ? или что то идет не так ? Врач неделю назад на приеме говорила надо наблюдать, но т.к. он меня очень беспокоит решил дополнительно спросить у Вас. Насколько вероятно развитие осложнений в моей ситуации, если время пользуясь обезбаливающими побегать по другим врачам ? Или бежать вырывать ? Если вырывать то случай простой, или искать врача поопытнее/подороже ? Начитался интернетов, что у меня корень зуба в гайморовой пазухе, может быть осложнение =) да и киста. Ссылка на комментарий
red_butler Опубликовано 4 февраля, 2019 Поделиться Опубликовано 4 февраля, 2019 Ссылка на комментарий
red_butler Опубликовано 4 февраля, 2019 Поделиться Опубликовано 4 февраля, 2019 фото ничего не видно Ссылка на комментарий
Seven Опубликовано 4 февраля, 2019 Автор Поделиться Опубликовано 4 февраля, 2019 (изменено) Что бы увидеть большую картинку надо перейди в радикал и щелкнуть по картинке она раскроется во всю ширь.По этим тоже если щелкнуть больше станут, ваш кэп ) Изменено 4 февраля, 2019 пользователем Seven Ссылка на комментарий
___49___ Опубликовано 4 февраля, 2019 Поделиться Опубликовано 4 февраля, 2019 (изменено) Так и должно быть ? или что то идет не так ?- Это называется отсутствие положительной динамики , да такое возможно и если динамика станет отрицательной , то для решения ситуации придется прибегнуть к помощи хирурга стоматолога. ( и не обязательно удаление - есть и зубосохраняющие операции) побегать по другим врачам ? Или бежать вырывать ? - к сожалению у вас есть снимки до лечения , но нет после - ответить пока не могу. искать врача поопытнее/подороже ? - более опытный врач это хорошо , но не забывайте что для нового врача вы новый пациент которого он в динамике не видел Изменено 4 февраля, 2019 пользователем ___49___ 2 Ссылка на комментарий
Рекомендуемые сообщения
Для публикации сообщений создайте учётную запись или авторизуйтесь
Вы должны быть пользователем, чтобы оставить комментарий
Создать аккаунт
Зарегистрируйте новый аккаунт в нашем сообществе. Это очень просто!
Регистрация нового пользователяВойти
Уже есть аккаунт? Войти в систему.
Войти