Ирина 0372 Опубликовано 4 февраля, 2019 Поделиться Опубликовано 4 февраля, 2019 Здравствуйте! Прошу совета, так как прошерстила просторы инет, не нахожу ответа...В 2011 году поставила металлокерамические коронки на все зубы. Ходила в клинику целый год, отдала 413 тысяч, сделали. Вроде все ничего, по сравнению с тем, что было...правда потом уже обнаружила, что как-то не симметрично стоят передние зубы, правая сторона чуть ниже, чем левая, на жевательных, у десны, видно железо, на некоторых зубах... Удивило и то, что по всему рту стоят мосты: один мост на пять зубов. Конечно привыкала долго, изменилась дикция, так как межзубное пространство отсутствует.. На вопрос почему мосты на передних зубах, не лучше ли сделать каждый отдельно, врач ответил:" Нельзя, так надежнее"Сейчас появилась возможность заменить передние металлокерамические коронки, на диоксид циркония.Очень хочется поставить на каждый зуб отдельную коронку!!! Хочется вернуть мою прежнюю дикцию (сейчас у меня временами просвисты, буквы "Ц" и "С" произношу как-то не так, как с живыми зубами. Хочется чтобы все стояло ровно, а не так, как сейчас: перекошенные напрочь зубы! Конечно в ту клинику, где ставила коронки больше никогда не пойду!Собственно вопрос заключается в следующем: допускается ли протезирование передних зубов отдельными коронками? Или обязательно должен стоять мост?Буду благодарна вашим ответам, дорогие врачи! Ссылка на комментарий
kramer Опубликовано 4 февраля, 2019 Поделиться Опубликовано 4 февраля, 2019 Покажите панорамный снимок 1 Ссылка на комментарий
Ирина 0372 Опубликовано 4 февраля, 2019 Автор Поделиться Опубликовано 4 февраля, 2019 Покажите панорамный снимокОй, вечером загружу, сейчас на работе... 1 Ссылка на комментарий
Ирина 0372 Опубликовано 4 февраля, 2019 Автор Поделиться Опубликовано 4 февраля, 2019 (изменено) ]Покажите панорамный снимокНашла снимок. Но, к сожалению, не свежий.. Это еще до постановки коронок. Могу сказать, что на верхней челюсти изменилось то, что зубы теперь не живые и все каналы хорошо запломбированы. А на нижней слева, внизу, появились три импланта. У меня есть КТ на диске из клиники, где ставила импланты, но почему то файлы не открываются, видимо нужна спец.программа... Изменено 4 февраля, 2019 пользователем Ирина 0372 Ссылка на комментарий
red_butler Опубликовано 4 февраля, 2019 Поделиться Опубликовано 4 февраля, 2019 Нужен актуальный снимок Ссылка на комментарий
Ирина 0372 Опубликовано 4 февраля, 2019 Автор Поделиться Опубликовано 4 февраля, 2019 Нужен актуальный снимокВот ведь..., актуального у меня нет на руках..., он в клинике, где ставила имплантанты. Жаль, извините за беспокойство Не закрывайте пока тему, пожалуйста! Если удастся взять снимок, размещу! Ссылка на комментарий
DmitrySH Опубликовано 4 февраля, 2019 Поделиться Опубликовано 4 февраля, 2019 Если тот снимок не очень свежий, то лучше всего сделать новый. Это не так дорого, но будет намного актуальнее для понимания общей ситуации и состояния зубов после проведенного лечения. 2 Ссылка на комментарий
DmitrySH Опубликовано 4 февраля, 2019 Поделиться Опубликовано 4 февраля, 2019 Собственно вопрос заключается в следующем: допускается ли протезирование передних зубов отдельными коронками? В идеале так и должно быть 2 Ссылка на комментарий
red_butler Опубликовано 5 февраля, 2019 Поделиться Опубликовано 5 февраля, 2019 Вот ведь..., актуального у меня нет на руках..., он в клинике, где ставила имплантанты. Жаль, извините за беспокойство Не закрывайте пока тему, пожалуйста! Если удастся взять снимок, размещу!Сделайте новый Ссылка на комментарий
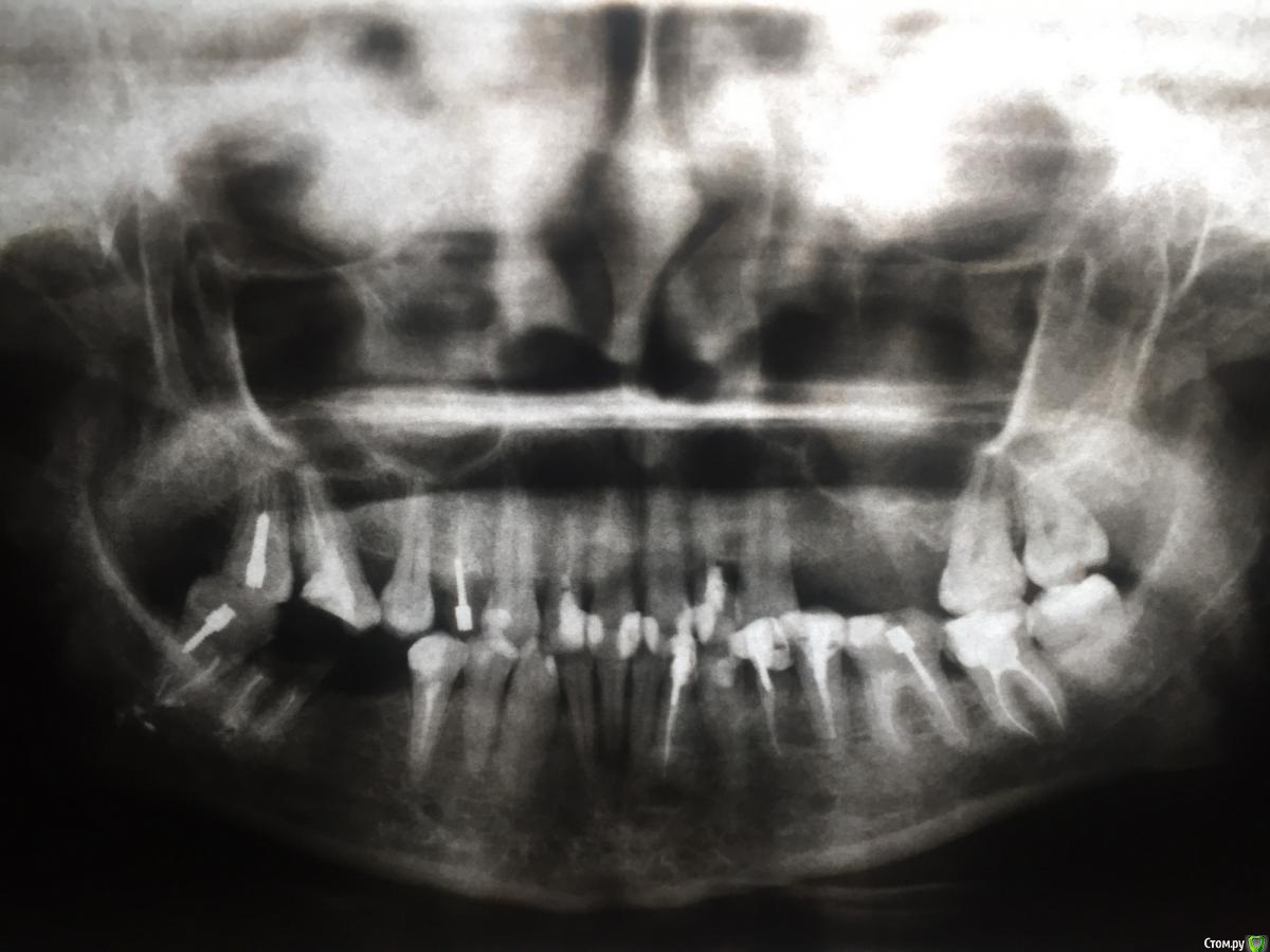
Ирина 0372 Опубликовано 7 февраля, 2019 Автор Поделиться Опубликовано 7 февраля, 2019 Покажите панорамный снимокВот, сегодня сделала: Ссылка на комментарий
DmitrySH Опубликовано 7 февраля, 2019 Поделиться Опубликовано 7 февраля, 2019 Здравствуйте, с лечением в целом все хорошо. Имплантацию справа почему решили не делать? Ссылка на комментарий
Ирина 0372 Опубликовано 7 февраля, 2019 Автор Поделиться Опубликовано 7 февраля, 2019 (изменено) Здравствуйте, с лечением в целом все хорошо. Имплантацию справа почему решили не делать?Спасибо Вам за ответ. Имплантирование вообще не планировала, но лет через пять после установки протезов, вспухла десна слева. После похода к доктору, выяснилось, что мне забыли поставить вкладку в тот зуб, возле которого появилась вздутие, из-за этого появилась киста. Пришлось удалить три зуба и поставить имплантанты. Скорее всего, со временем, придётся и справа ставить импланты.. Но наверно ещё можно так походить? Как Вы думаете, могу я заменить мост на пять зубов сверху, на отдельные коронки? Кроме желания, есть ещё и проблемка: на одном ( левом центральном зубе, я не знаю нумерацию по-правильному)), появилась трещина.. Кстати, как правильнее: импланты или имплантанты? Изменено 7 февраля, 2019 пользователем Ирина 0372 Ссылка на комментарий
DmitrySH Опубликовано 7 февраля, 2019 Поделиться Опубликовано 7 февраля, 2019 Кроме желания, есть ещё и проблемка: на одном ( левом центральном зубе, я не знаю нумерацию по-правильному)), появилась трещина.. Если речь про трещину корня, то стоматология не умеет лечить трещины. Такие зубы подлежат удалению и имплантации. соответственно коронки снимаются, делается временное протезирование, проблемный зуб удаляется, ставится имплант и потом коронки по отдельности. Ссылка на комментарий
Ирина 0372 Опубликовано 7 февраля, 2019 Автор Поделиться Опубликовано 7 февраля, 2019 (изменено) Если речь про трещину корня, то стоматология не умеет лечить трещины. Такие зубы подлежат удалению и имплантации. соответственно коронки снимаются, делается временное протезирование, проблемный зуб удаляется, ставится имплант и потом коронки по отдельности.Если речь про трещину корня, то стоматология не умеет лечить трещины. Такие зубы подлежат удалению и имплантации. соответственно коронки снимаются, делается временное протезирование, проблемный зуб удаляется, ставится имплант и потом коронки по отдельности. Нет, речь о трещине на самой коронке. Вы же не увидели трещин на каком-нибудь корне на снимке.. Речь о том, что хочу поменять мост на передних верхних зубах на отдельные коронки из диоксида циркония. Вы ответили, что в целом всё в порядке, но не сказали возможно ли заменить мост? В моем случае это возможно? Изменено 7 февраля, 2019 пользователем Ирина 0372 Ссылка на комментарий
___49___ Опубликовано 7 февраля, 2019 Поделиться Опубликовано 7 февраля, 2019 (изменено) В моем случае это возможно? исходя из предоставленной Вами информации , установить отдельные коронки на верхних 4 резца технически возможно. Но есть прикус которого я не вижу (и еще пару моментов) требующие очной консультации , для более достоверного ответа . Изменено 7 февраля, 2019 пользователем ___49___ 2 Ссылка на комментарий
DmitrySH Опубликовано 7 февраля, 2019 Поделиться Опубликовано 7 февраля, 2019 Нет, речь о трещине на самой коронке. это не страшно. Подумал что вы про корень зуба. В моем случае это возможно? Да, возможно. Но как правильно подметил коллега, есть нюансы которые надо оценивать очно 2 Ссылка на комментарий
Ирина 0372 Опубликовано 8 февраля, 2019 Автор Поделиться Опубликовано 8 февраля, 2019 (изменено) Благодарю за ответы! На следующей неделе планирую посетить доктора по поводу замены коронок. Надеюсь он не найдет причин не устанавливать одиночные коронки.. Изменено 8 февраля, 2019 пользователем Ирина 0372 Ссылка на комментарий
Борис80 Опубликовано 8 февраля, 2019 Поделиться Опубликовано 8 февраля, 2019 Будьте готовы, что доктор предложит заменить и боковые коронки, чтобы скорректировать форму и положение зубов 1 Ссылка на комментарий
Ирина 0372 Опубликовано 8 февраля, 2019 Автор Поделиться Опубликовано 8 февраля, 2019 Будьте готовы, что доктор предложит заменить и боковые коронки, чтобы скорректировать форму и положение зубовМне бы хотелось заменить все! Постепенно постараюсь, не дёшево это, однако)Можно ещё вопрос: слепка моих родных зубов у меня не осталось, к сожалению. То, что сейчас у меня стоит, довольно сильно отличается, например, нижние передние зубы сделали очень толстыми у основания и совсем не острыми на верхушке. Я понимаю, что первоначальный вариант вернуть уже невозможно.. Есть ли какие-то способы хотя бы приблизить форму к тому, как было? Ссылка на комментарий
___49___ Опубликовано 8 февраля, 2019 Поделиться Опубликовано 8 февраля, 2019 (изменено) Мне бы хотелось заменить все! Постепенно постараюсь, не дёшево это, однако)Можно ещё вопрос: слепка моих родных зубов у меня не осталось, к сожалению. То, что сейчас у меня стоит, довольно сильно отличается, например, нижние передние зубы сделали очень толстыми у основания и совсем не острыми на верхушке. Я понимаю, что первоначальный вариант вернуть уже невозможно.. Есть ли какие-то способы хотя бы приблизить форму к тому, как было?Есть возможность посмотреть, что вы получите в итоге и даже повлиять на форму, размер и положение - попросите доктора выполнить диагностические модели с воксапом ( моделирование из воска) интересующих вас зубов . и тогда вы увидите какие примерно зубы у вас будут по окончанию протезирования , мало того доктор сможет сделать вам временные коронки по данному воксапу и вы уже не посредственно в полости рта сможете увидеть будущую форму своих зубов , и к первой примерке каркаса(если циркон будет выполнятся техникой нанесения керамики) вам будет легче объяснить доктору как бы вы хотели скорректировать ( если надо конечно) форму на постоянных зубах( это сбережет время и нервы как ваши так и доктора с техником) . Можете прям скопировать этот текст и обсудить его с своим будущим доктором . Изменено 8 февраля, 2019 пользователем ___49___ 3 Ссылка на комментарий
DmitrySH Опубликовано 8 февраля, 2019 Поделиться Опубликовано 8 февраля, 2019 Есть ли какие-то способы хотя бы приблизить форму к тому, как было? Если найдете хорошее фото как было до, то можно скопировать 2 Ссылка на комментарий
Ирина 0372 Опубликовано 13 февраля, 2019 Автор Поделиться Опубликовано 13 февраля, 2019 Еще раз здравствуйте! Была вчера у доктора по поводу замены коронок. После осмотра врач не нашел никаких противопоказаний к тому, чтобы поставить отдельные коронки. 24 февраля начнем. Я хотела поставить из диоксида циркония, а врач посоветовал поставить коронки E.MAX. Судя по тому, что читаю в инете об этих коронках, они даже эстетичнее на передних зубах, чем циркониевые, да и чуть дешевле. Что можете сказать о коронках E.MAX, уважаемые врачи? Действительно ли на передние зубы они лучше, чем цирконий? Ссылка на комментарий
___49___ Опубликовано 13 февраля, 2019 Поделиться Опубликовано 13 февраля, 2019 (изменено) Еще раз здравствуйте! Была вчера у доктора по поводу замены коронок. После осмотра врач не нашел никаких противопоказаний к тому, чтобы поставить отдельные коронки. 24 февраля начнем. Я хотела поставить из диоксида циркония, а врач посоветовал поставить коронки E.MAX. Судя по тому, что читаю в инете об этих коронках, они даже эстетичнее на передних зубах, чем циркониевые, да и чуть дешевле. Что можете сказать о коронках E.MAX, уважаемые врачи? Действительно ли на передние зубы они лучше, чем цирконий?лучше то чем ваш доктор(техник) лучше владеет . наиболее живые работы выполняются методом нанесения , но это и самые дорогостоящие работы. Изменено 13 февраля, 2019 пользователем ___49___ Ссылка на комментарий
Ирина 0372 Опубликовано 13 февраля, 2019 Автор Поделиться Опубликовано 13 февраля, 2019 лучше то чем ваш доктор(техник) лучше владеет . наиболее живые работы выполняются методом нанесения , но это и самые дорогостоящие работы. Метод нанесения, что это за метод? Могли бы немножко подробнее рассказать? У меня еще есть время для определиться.. Ссылка на комментарий
DmitrySH Опубликовано 13 февраля, 2019 Поделиться Опубликовано 13 февраля, 2019 На самом деле с выбором метода изготовления коронок правильнее определяться после снятия ваших. ЕМАХ - эстетичнее на зубах с естественным цветом культевой части. Но у вас на зубе 22 стоит обширная культевая вкладка, которая может создать сложности с цветом коронки. Метод нанесения, что это за метод? Могли бы немножко подробнее рассказать? У меня еще есть время для определиться.. Обычно передние зубы всегда с нанесением, независимо от материала колпачка 3 Ссылка на комментарий
Рекомендуемые сообщения
Для публикации сообщений создайте учётную запись или авторизуйтесь
Вы должны быть пользователем, чтобы оставить комментарий
Создать аккаунт
Зарегистрируйте новый аккаунт в нашем сообществе. Это очень просто!
Регистрация нового пользователяВойти
Уже есть аккаунт? Войти в систему.
Войти