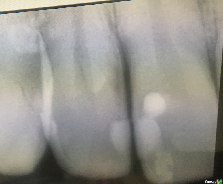
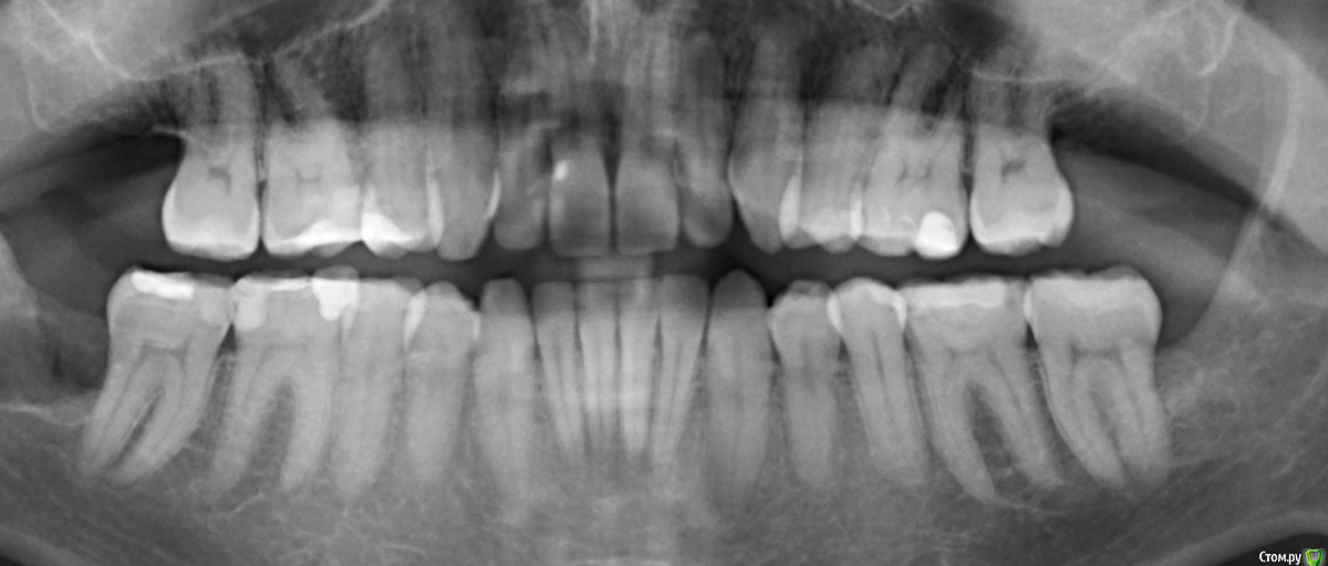
michaelks7 Опубликовано 2 февраля, 2019 Поделиться Опубликовано 2 февраля, 2019 Добрый день Предыстория: 14 числа было сложное удаление нижней 8ки10 дней антибиотиков + ~ 12 дней обезбаливающих ( с понижением силы/дозировок) Несколько дней назад после мороза хлебнул горячеватый кофе - заныл передний резец или около негоплюс на нижней челюсти периодически появляются ноющие ощущения в области 11-12 зубов(параллельно верхним с пломбами) - они ни разу не лечились - без пломбоколо них воспалена деснав моей бывшей клинике даже снимка не сделали - ограничились внешним осмотром, сказали чувствительность зубовв другой клинике посмотрели панорамный , также сделали прицельный. Вердикт , кариес под пломбами между зубов -перелечиватьпро нижние сказали все нормально, снимок делали, на нем тоже криминала не увидели. Сказали проблема скорее всего в зубном камне под деснойплюс под перелечивание отправили нижние правую 7 и левую 6 не могли бы вы взглянуть насколько все так как сказали или потенциальных проблем больше/меньше - появился вопрос с выбором стоматолога. В старую клинику не хочу возвращаться.и неясный момент с нижними 11-12 прикладываю панорамный снимок и прицельный передних с пломбамиЗаранее спасибо Ссылка на комментарий
michaelks7 Опубликовано 4 февраля, 2019 Автор Поделиться Опубликовано 4 февраля, 2019 добрый день0 откликоввзгляните пожалуйста , основные жалобы 21-22 зуб несколько дней назад была разовая реакция на температуру. после этого периодически появляются слабые ноющие ощущения. вторичный кариес может такое вызывать или грешить сразу на пульпит?про перелечивание зубов 16/17/26/27/36/37 , какие из них на ваш взгляд требуют повторного лечения?спасибо, надеюсь на получение ответа Ссылка на комментарий
red_butler Опубликовано 4 февраля, 2019 Поделиться Опубликовано 4 февраля, 2019 на снимках кариеса не увидел, покажите фото зубов Ссылка на комментарий
Рекомендуемые сообщения
Для публикации сообщений создайте учётную запись или авторизуйтесь
Вы должны быть пользователем, чтобы оставить комментарий
Создать аккаунт
Зарегистрируйте новый аккаунт в нашем сообществе. Это очень просто!
Регистрация нового пользователяВойти
Уже есть аккаунт? Войти в систему.
Войти