aleks.k Опубликовано 1 февраля, 2019 Поделиться Опубликовано 1 февраля, 2019 Добрый день! Пол года назад остро заболели зубы справой стороны, после подводной охоты. Стоматолог сделал укол. Сказал если не пройдет приходить еще, будут принимать меры. Зуб с улаленными 2 года назад нервами. Прошло 2 недели, появился гайморит справа. После лечения 2 месяца зуб поднывал чуть чуть. Потом опять обострилось, лечил синусит у лора еще 2 раза. Зубы болят справа, иногда перестают и начинает болеть слева, иногда всю челюсть ломит. Но 90% времени болит справа. В районе 6ки, щека припухшая, глаза воспаляются. Стоматолог 1 сказал что дело не в зубах (делал снимок маленький обычным рентгеном) Второй сказал что дело в зубе мудиости и надо удалять. 3й сказал что 6 ку нужно вырвать, проблема в ней. Подскажите пожалуйста кто из них прав? Ссылка на комментарий
aleks.k Опубликовано 1 февраля, 2019 Автор Поделиться Опубликовано 1 февраля, 2019 Фото Ссылка на комментарий
kramer Опубликовано 1 февраля, 2019 Поделиться Опубликовано 1 февраля, 2019 Сделайте нормальный снимок. А лучше КТ. Скорее всего причина в 6. Ссылка на комментарий
Nazim_NV86 Опубликовано 1 февраля, 2019 Поделиться Опубликовано 1 февраля, 2019 + КТ. Ссылка на комментарий
aleks.k Опубликовано 1 февраля, 2019 Автор Поделиться Опубликовано 1 февраля, 2019 Кт делал пазух. Не вредно литут де делать зубов еще раз? Есои проблема в 6, вердикт с удаление верен? Или же можно лечить? Ссылка на комментарий
DmitrySH Опубликовано 1 февраля, 2019 Поделиться Опубликовано 1 февраля, 2019 Можно, по ситуации Ссылка на комментарий
Дмитрий М Опубликовано 3 февраля, 2019 Поделиться Опубликовано 3 февраля, 2019 (изменено) Фотоверхняя 8-ка не функциональна (не участвует в жевании) рекомендуется удаление (даже если не болит) Кт делал пазух. Не вредно литут де делать зубов еще раз? Есои проблема в 6, вердикт с удаление верен? Или же можно лечить?Не вредно, на современных аппаратах минимальные доза нагрузки по 6-ке лечить или удалять и она ли является причиной, можно будет сказать после анализа КТ и то не 100%сделайте КТ с расшифровкой рентгенолога, и отнесите диск и заключение своему стоматологу. Изменено 3 февраля, 2019 пользователем Дмитрий М 1 Ссылка на комментарий
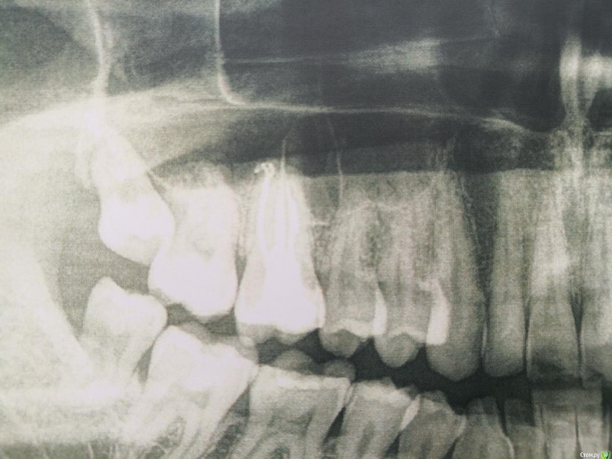
aleks.k Опубликовано 3 февраля, 2019 Автор Поделиться Опубликовано 3 февраля, 2019 Добрый день! Спасибо за ответы. КТ сделаю, удивило то, что мой стоматолог приговорил зуб не задумываясь и не отправляя на КТ, сразу же записав на удаление. А что за искривленный белый отросток на верхушке 6го зуба? Ссылка на комментарий
aleks.k Опубликовано 5 февраля, 2019 Автор Поделиться Опубликовано 5 февраля, 2019 Добрый день! Сделал КТ. Посмотрите пожалуйста.Есть 2 мнения очных стоматологов, пока никто из них КТ не видел, мнение на основании предыдущего панорамного снимка:1. Надо удалять 6 зуб справа2. Который и депульпировал 6 зуб сказал, что проблемы в 6 зубе нет, зуб мудрости нужно оттянуть брекетами. Размер файла 131 мб. http://fayloobmennik.cloud/7349278 Ссылка на комментарий
kramer Опубликовано 5 февраля, 2019 Поделиться Опубликовано 5 февраля, 2019 Срезы выкладывайте 1 Ссылка на комментарий
aleks.k Опубликовано 5 февраля, 2019 Автор Поделиться Опубликовано 5 февраля, 2019 Такие подойдут? Ссылка на комментарий
kramer Опубликовано 5 февраля, 2019 Поделиться Опубликовано 5 февраля, 2019 Судя по срезам, вероятнее причина в пульпите 7 зуба, возникшего в результате давления на него 8-ки. Ссылка на комментарий
DmitrySH Опубликовано 5 февраля, 2019 Поделиться Опубликовано 5 февраля, 2019 Такие подойдут? В Аксиальной проекции покажите еще несколько срезов Ссылка на комментарий
aleks.k Опубликовано 6 февраля, 2019 Автор Поделиться Опубликовано 6 февраля, 2019 Срезы Ссылка на комментарий
aleks.k Опубликовано 6 февраля, 2019 Автор Поделиться Опубликовано 6 февраля, 2019 Еще один срез, может быть более удачный чем первые в этой проекции Ссылка на комментарий
DmitrySH Опубликовано 6 февраля, 2019 Поделиться Опубликовано 6 февраля, 2019 Срезы Очень хорошо. Теперь как первые три, но увеличить 16 зуб. Остальные нам мало интересны, пазуха тоже Ссылка на комментарий
aleks.k Опубликовано 6 февраля, 2019 Автор Поделиться Опубликовано 6 февраля, 2019 (изменено) porsche macan 0 60 mph Изменено 6 февраля, 2019 пользователем aleks.k 1 Ссылка на комментарий
aleks.k Опубликовано 6 февраля, 2019 Автор Поделиться Опубликовано 6 февраля, 2019 (изменено) Изменено 6 февраля, 2019 пользователем aleks.k Ссылка на комментарий
Борис80 Опубликовано 6 февраля, 2019 Поделиться Опубликовано 6 февраля, 2019 Я бы удалил первым делом 8 зуб, он однозначно вам не нужен,это облегчит симптоматику 3 Ссылка на комментарий
DmitrySH Опубликовано 7 февраля, 2019 Поделиться Опубликовано 7 февраля, 2019 В шестом зубе похоже еще 1 канал есть Ссылка на комментарий
aleks.k Опубликовано 7 февраля, 2019 Автор Поделиться Опубликовано 7 февраля, 2019 (изменено) Я так понимаю что меня записали на удаление, по причине того, что стоматолог не обладает квалификацией для такого лечения? Ведь нужен именно эндодантист. Допустим что канал есть. Если его лечить, по цене примерно сколько это стоит? В Калуге думаю нет таких специалистов. Хотя бы примерно. И в случае лечения есть ли гарантия на такой зуб? Изменено 7 февраля, 2019 пользователем aleks.k Ссылка на комментарий
red_butler Опубликовано 7 февраля, 2019 Поделиться Опубликовано 7 февраля, 2019 Если его лечить, по цене примерно сколько это стоит? финансовые вопросы на форуме не обсуждаются, да и что Вам толку от средней цены по России, она может отличаться на пару порядков И в случае лечения есть ли гарантия на такой зуб? Гарантии на лечение корневых каналов не существует, обратитесь к своему врачу 1 Ссылка на комментарий
aleks.k Опубликовано 7 февраля, 2019 Автор Поделиться Опубликовано 7 февраля, 2019 Всем спасибо за ответы! Ссылка на комментарий
DmitrySH Опубликовано 7 февраля, 2019 Поделиться Опубликовано 7 февраля, 2019 Я так понимаю что меня записали на удаление, по причине того, что стоматолог не обладает квалификацией для такого лечения? Ведь нужен именно эндодантист. Допустим что канал есть. Если его лечить, по цене примерно сколько это стоит? В Калуге думаю нет таких специалистов. Хотя бы примерно. И в случае лечения есть ли гарантия на такой зуб? Еще нужен микроскоп. Потому как если бы канал был хорошо виден, то его бы сразу нашли и обработали. Ссылка на комментарий
aleks.k Опубликовано 8 февраля, 2019 Автор Поделиться Опубликовано 8 февраля, 2019 Спасибо. Поищу специалиста в Калуге, вроде бы и в Областной стоматологии появились микроскопы. Так сразу удалять зуб не хочется. Что скажете о предложении стоматолога хирурга удалить данный зуб без просмотра КТ? Ссылка на комментарий
Рекомендуемые сообщения