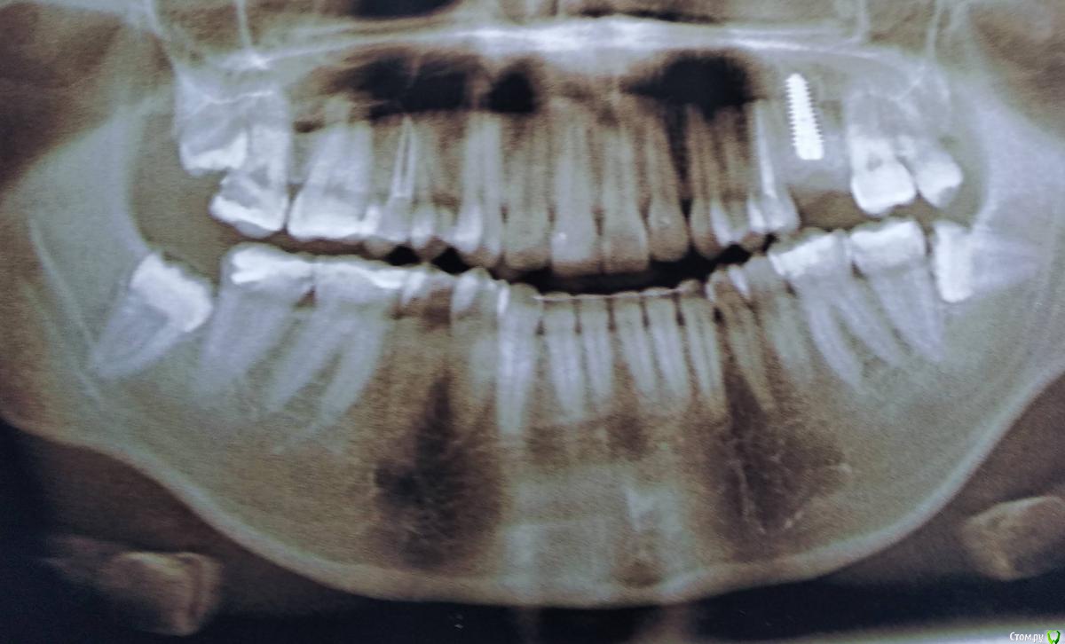
i.a.parfenko Опубликовано 29 января, 2019 Поделиться Опубликовано 29 января, 2019 (изменено) На последнем осмотре у стоматолога на 17 зубе обнаружен кариес, т. к. пломба занимает 75% жевательной поверхности зуба, врач предложил разобраться с этим зубом в самом конце, но вчера из этого зуба выпала пломба. На ОПТГ в ноябре 2018 выяснилось, что еще не прорезавшийся зуб мудрости основательно упирается в корень 17 зуба. К терапевту запись только через неделю. Вопрос в том, стоит ли вообще записываться к терапевту (лечение и восстановление зуба пломбой или подготовка для протезирования) или терапевт сразу отправит к хирургу на удаление и 17, и 18 зуба, и я просто потеряю время? И если 17 зуб терапевт сможет сохранить, выдержит ли корень зуба и штифт с коронкой, и удаление 18 зуба? Заранее спасибо! Изменено 29 января, 2019 пользователем i.a.parfenko Ссылка на комментарий
red_butler Опубликовано 29 января, 2019 Поделиться Опубликовано 29 января, 2019 1.8 удалить, 1.7 лечить и протезировать Ссылка на комментарий
i.a.parfenko Опубликовано 29 января, 2019 Автор Поделиться Опубликовано 29 января, 2019 1.8 удалить, 1.7 лечить и протезировать Спасибо! А последовательность? Лечение/подготовка к протезированию 17 - удаление 18 - протезирование 17? Ссылка на комментарий
red_butler Опубликовано 29 января, 2019 Поделиться Опубликовано 29 января, 2019 Спасибо! А последовательность? Лечение/подготовка к протезированию 17 - удаление 18 - протезирование 17? для ответа нужен очный осмотр, но скорее всего лечение - удаление - протезирование Ссылка на комментарий
i.a.parfenko Опубликовано 29 января, 2019 Автор Поделиться Опубликовано 29 января, 2019 Тогда начну с терапевта. Спасибо за консультацию! Ссылка на комментарий
Рекомендуемые сообщения
Для публикации сообщений создайте учётную запись или авторизуйтесь
Вы должны быть пользователем, чтобы оставить комментарий
Создать аккаунт
Зарегистрируйте новый аккаунт в нашем сообществе. Это очень просто!
Регистрация нового пользователяВойти
Уже есть аккаунт? Войти в систему.
Войти