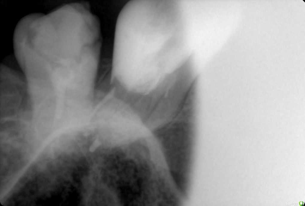
GENRY Опубликовано 28 января, 2019 Поделиться Опубликовано 28 января, 2019 Здравствуйте! За 10 дней дней до дальней поездки отвалился кусок пломбы на 28 зубе и открылась кариозная полость со стороны 27 зуба,на уровне десны. 28 - слева. Поездка на пару месяцев в места без стоматологов. Трогать зуб до отъезда не хочу, боюсь осложнений...да и нет уже времени на лечение. Но протянет ли зуб 2 месяца?Вопросы: 1. Видна ли на снимках какая либо паталогия (воспаления)? Зуб не болит 2. Есть ли риск в постановке временной пломбы, скажем с виноксолом , чтобы закрыть полость? 3.Что еще я могу сделать до отъезда?Спасибо Ссылка на комментарий
St. Опубликовано 28 января, 2019 Поделиться Опубликовано 28 января, 2019 Добрый день. Оба зуба на снимке без нервов , поэтому и не чувствовалось как разрушились. Обязательно закройте временной пломбой перед поездкой чтоб дальше не портились. По приезду нужно будет решать вопрос о перелечивании каналов и постановке коронок на оба зуба Ссылка на комментарий
red_butler Опубликовано 29 января, 2019 Поделиться Опубликовано 29 января, 2019 Что еще я могу сделать до отъезда? За 10 дней дней удалить оба зуба 1 Ссылка на комментарий
GENRY Опубликовано 29 января, 2019 Автор Поделиться Опубликовано 29 января, 2019 Спасибо, но все таки:1. Видна ли на снимках какая либо паталогия (воспаление..)?2. Из какого материала должна быть пломба на пару месяцев...виноксол. avitec, белокор, владмива....иноеСпрашиваю.. т.к за 5 лет, что не был у стоматолога, обнаружил - мои врачи исчезли (переезд, декрет...) ... и надо искать (феодосия-симферополь) не из возможностей клиники, а как надо .... боюсь ошибиться в спешке.. Ссылка на комментарий
red_butler Опубликовано 29 января, 2019 Поделиться Опубликовано 29 января, 2019 Видна ли на снимках какая либо паталогия (воспаление..)? нет Из какого материала должна быть пломба на пару месяцев...виноксол. avitec, белокор, владмива....иное любой гелиокомпозит Ссылка на комментарий
GENRY Опубликовано 29 января, 2019 Автор Поделиться Опубликовано 29 января, 2019 любой гелиокомпозит Т.е цинк - сульфатные цементы на пару месяцев - нереально? Проблем потом с выводом гелиокомпозитной пломбы из кариозной полости не будет? Не может получится так, что обработка под временную пломбу сделает каналы более проницаемыми для инфекции т.е. результат временного пломбирования не будет иметь особого эффекта? И последующее лечение начнется с худших стартовых условий?Исхитрился сфоткать это безобразие. Склоняюсь к мысли оставить на 2 месяца в таком состоянии. Или авантюра? Ссылка на комментарий
dentikl Опубликовано 29 января, 2019 Поделиться Опубликовано 29 января, 2019 Склоняюсь к мысли оставить на 2 месяца в таком состоянии. Или авантюра?был когда то анекдот про циркового артиста,который головой крушил кирпичи .Он всегда ходил с чемоданом анальгина.К чему это я ?За 10 дней врач (любой хороший) может несколько раз успеть сделать вкладки и коронки.Осложнений нужно боятся если не тронете. 1 1 Ссылка на комментарий
GENRY Опубликовано 30 января, 2019 Автор Поделиться Опубликовано 30 января, 2019 За 10 дней врач (любой хороший) может несколько раз успеть сделать вкладки и коронки.Осложнений нужно боятся если не тронете.Извините, но несерьезно... Хорошего еще надо найти..(эндодонт и ортопед).. от Фео до Симферополя 2.5 часа в одну сторону + у хороших запись на неделю вперед + проход какалов..гуттаперча (в ФЕО микроскопов нет, в Симф.. еще поискать, чтоб у хорошего в руках оказался+лаборатория (там своя запись).. потом последний снимок посмотрите..там полость под десну - классическая коронка не ставится.... должно быть нестандартное терапевтическое решение... Любое осложнение на этом пути и я уезжаю с недоделанной работой? Ссылка на комментарий
red_butler Опубликовано 30 января, 2019 Поделиться Опубликовано 30 января, 2019 Любое осложнение на этом пути и я уезжаю с недоделанной работой? Вы теряете время, удалите их сегодня и спите спокойно 2 Ссылка на комментарий
DmitrySH Опубликовано 30 января, 2019 Поделиться Опубликовано 30 января, 2019 Беда в том, что нет смысла вкладывать время и деньги в данные зубы. Ссылка на комментарий
GENRY Опубликовано 31 января, 2019 Автор Поделиться Опубликовано 31 января, 2019 Вы теряете время, удалите их сегодня и спите спокойно Беда в том, что нет смысла вкладывать время и деньги в данные зубы. Я и сам понимаю, что зубы дохлые..будь их у меня хоть на пару больше..последовал бы Вашему (в целом правильному) совету. Но лишение этих 2-х зубов (последних на этой стороне!) на следующий же день поставит меня перед необходимостью съемных протезов (имплантация затруднена узостью и малой толщиной гребней)... проблема не лучше нынешней, учитывая состояние потенциальных опор.. 5 лет назад также стоял вопрос удаления 27 зуба ... каналы были забиты какой то дрянью советских времен , не все они были пройдены и найдены.. вкладка поэтому исключалась...залили гутту куда возможно+ штифты, врач в этих условиях давал ему жить только 2-года, но ,похоже он сработал неплохо, зуб стоит уже 6 -ой год и спасает меня.. Если бы такой результат получить с 28 зубом - возможно это было бы достаточно. Учитывая, что мне 72. Так что при выборе стратегии я руководствуюсь этими соображениями.... и, если я вернусь без осложнений, меня обступят следующие вопросы:1) возможна ли вкладка на зубе с разрывом на уступе над десной?2) возможна ли коронка и , если "да", в связке с чем (штифты, вкладки....)?3) возможен ли вариант по типу 27 зуба, с пломбой уходящей под десну (сколько простоит, материал, риски.....)?4) чем полоскать в пути?... будет полтора десятка перелетов т.е жидкость исключается ... ничего на ум, кроме как взять с собой таблетки фурацелина. не приходит. Ссылка на комментарий
DmitrySH Опубликовано 31 января, 2019 Поделиться Опубликовано 31 января, 2019 Но лишение этих 2-х зубов (последних на этой стороне!) на следующий же день поставит меня перед необходимостью съемных протезов (имплантация затруднена узостью и малой толщиной гребней)... проблема не лучше нынешней, учитывая состояние потенциальных опор.. Тут как раз не проблема. Нужен хороший имплантолог который создаст необходимый объем кости. И это намного более предсказуемо, чем мучать этих 2х несчастных. 1 Ссылка на комментарий
GENRY Опубликовано 1 февраля, 2019 Автор Поделиться Опубликовано 1 февраля, 2019 Нужен хороший имплантолог который создаст необходимый объем кости. И это намного более предсказуемо, чем мучать этих 2х несчастных. Возможно и так. Лет 7 назад погружался в эту тему ... и , не знаю, возрастное это дело или черта характера, решил не рисковать.. Ссылка на комментарий
Рекомендуемые сообщения
Для публикации сообщений создайте учётную запись или авторизуйтесь
Вы должны быть пользователем, чтобы оставить комментарий
Создать аккаунт
Зарегистрируйте новый аккаунт в нашем сообществе. Это очень просто!
Регистрация нового пользователяВойти
Уже есть аккаунт? Войти в систему.
Войти