nataganka Опубликовано 20 февраля, 2019 Автор Поделиться Опубликовано 20 февраля, 2019 Если вы нашли ортопеда через форум, что мешает послать ему это сообщение в ЛС?Нет, вы немного неправильно поняли. Ортопеды, контакты которых мне давали люди с этого форума, здесь не бывают. Т.е. мне дали контакты хороших врачей (по доступности, качеству лечения и цене) врачи с этого форума с хорошей репутацией вот. Потом я сходила на консультации и сделала выбор, у кого буду протезироваться. Ссылка на комментарий
suballex Опубликовано 22 февраля, 2019 Поделиться Опубликовано 22 февраля, 2019 Дорогие врачи, можно попросить Вас, пожалуйста, структурированно ответить мне. А то я запуталась) сейчас сформулирую еще раз по номерам и фото/снимок прицеплю в это сообщение. Имплантацию 46 сейчас не рассматриваю совсем, понимаю что это лучше, но в ближайшие 5, а то и 10 лет - никак. 45 зуб депульпироваться не будет. Коронки цирконий. Аллергия на всю металлическую бижутерию, опухание, покраснение, в анамнезе присутствует пищевой отек Квинке. С золотыми украшениями дружу. Серебро не носила.Предпочтительнее восстановить 47 вкладкой. Не штифтовой. Обычная керамическая по типу оверлей.Установить имплант 46.Я резко не согласен с тем, что "без шестого можно жить". Шестой зуб - основной жевательный. Не нужно забывать, что верхний шестой в стороне не останется. Он будет смещаться в сторону отсутствующего собрата. Это, в результате может привести к необходимости удаления абсолютно интактного зуба.Мост 47-45, это сильно кажущаяся экономия бюджета. Вернее, в краткосрочном периоде вы потратите меньше. Но в долгосрочной перспективе - намного больше. Ну и здоровый пятый запихнете в саркофаг. Ссылка на комментарий
chervoncevdaniil Опубликовано 22 февраля, 2019 Поделиться Опубликовано 22 февраля, 2019 Даже особой экономии и не получается чаще всего,3 единицы безметалла,плюс штифтовая кострукция плюс временные коронки равносильно 1 коронке на импланте по стоимости в клиниках,где ценовая политика адекватная 1 Ссылка на комментарий
Pavel-Pskov Опубликовано 22 февраля, 2019 Поделиться Опубликовано 22 февраля, 2019 Как я понял большую часть в схеме с имплантом играет нрк, хотя по орте я особых проблем не увидел, ну да во рту виднее. Ссылка на комментарий
nataganka Опубликовано 16 марта, 2019 Автор Поделиться Опубликовано 16 марта, 2019 Поставила вкладку из золото-платинового сплава в 47, нашла таки где это делают в Москве и накрыла временной коронкой. Через три недели постоянную из циркония поставлю и покажу результат потом в течении пары месяцев тоже самое сделаю с 36 зубом, так как в том виде, в котором он сейчас с огромной пломбой и депульпированный он потихоньку скалывается. В следующем году удалю ретинированный 48 и буду ставить имплант на место 46. Если интересно следить за процессом, тему не закрывайте, буду выкладывать результаты, ну и если вдруг будут вопросы в процессе - спрашивать 2 Ссылка на комментарий
nataganka Опубликовано 16 апреля, 2019 Автор Поделиться Опубликовано 16 апреля, 2019 Выкладываю было-стало. Один зуб сделан полностью. Как и писала выше, вкладка разборная из золото-платинового сплава, коронка диоксид циркония без керамики, потом еще снимок выложу. Дальше буду лечить 24 зуб, все-таки там не камень, а кариес под десной. Затем буду делать все тоже самое с 36 зубом (вкладка из золота, коронка цирконий) и покажу результат 36-го. Вкладку ставлю у одного доктора, коронку у другого. Вопросов не возникло ни у одного из докторов, оба согласились так работать. Изначально планировала все делать у одного доктора рекомендованного мне здесь, но в их клинике не делают золотые вкладки. Еле-еле нашла где в Москве делают вкладки из золота и врач понравился А коронку уже ставлю у рекомендованного здесь на форуме в личке доктора, доктор тоже понравился. Ссылка на комментарий
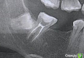
nataganka Опубликовано 24 июня, 2019 Автор Поделиться Опубликовано 24 июня, 2019 Всем добрый день, если кто-то следил за моей темой))) Продолжение. Вылечила 24 зуб, там все-же был не камень, а кариес. Также заменили одну старую пломбу на 17 зубе, лет 15 ей было, сказали что пора))))))) Ну и продолжение истории с золотыми вкладками. Занялась второй стороной, 36-м зубом. Поставили по аналогии с 47-м вкладку из золото-платинового сплава и надели временную коронку, сейчас буду ставить цирконевую. Обточив 36-й зуб на 35-м у меня обнаружили кариес, прятался между зубами, пока 36 не обточили, его не видно было вообще (я выше писала, что при всей моей гигиене, огромная склонность к кариесу (((( Вылечили конечно ))) Следующая цель поздней осенью - удаление ретинированного 48 )) все верно же? я не ошибаюсь, его лучше убрать до имплантации 46? Ссылка на комментарий
nataganka Опубликовано 24 июня, 2019 Автор Поделиться Опубликовано 24 июня, 2019 Или если он меня никак не беспокоит вообще в моем возрасте (35 лет) его можно не трогать? Я даже не подозревала, что он у меня существует, пока на снимке не увидела)))) Интересует компетентное мнение) удалять или нет, и перед имплантацией (за полгода до начала имплантации хочу удалить, если нужно) или после без разницы? Ссылка на комментарий
red_butler Опубликовано 24 июня, 2019 Поделиться Опубликовано 24 июня, 2019 Или если он меня никак не беспокоит вообще в моем возрасте (35 лет) его можно не трогать? удалять 1 Ссылка на комментарий
nataganka Опубликовано 24 июня, 2019 Автор Поделиться Опубликовано 24 июня, 2019 удалять спасибо, поняла! осенью удалю, в следующем году займусь имплантацией. ну тогда тему не закрывайте)) вдруг после удаления еще какие-то вопросы возникнут Ссылка на комментарий
nataganka Опубликовано 9 декабря, 2019 Автор Поделиться Опубликовано 9 декабря, 2019 Нет, ну я точно перешла дорогу какой-то зубной феечке, у меня уже смех истерический))))) ладно бы гигиену не соблюдала, но нет ведь, и нитью пользуюсь после еды, и ирригатором пользуюсь и щетка электрическая))))))) видимо и впрямь наследственность такая штука коварная. В общем, не успела я заняться удалением ретинированного 48-го зуба... так как теперь финансы потекли в зуб 27. И полугода не прошло. У меня там была пятилетней давности пломба, которая не вызывала ни у кого вопросов собственно на осмотрах и лечении зубов все начало этого года. В ноябре откололся кусочек пломбы, при том ела обычную пищу, не твердую. Под ней внутри зуба оказалась кариозная полость и довольно таки обширная, глазом пока пломба не откололась ее не было видно ни одному врачу, коих я посетила за этот год множество (( Так вот теперь предстоит лечение, либо обойдется пломбой, либо снова депульпация и коронка с вкладкой. По снимку врачи сказали, что на грани, все станет ясно на лечении. Как мне снять карму со своих зубов, чтобы денег хватало на жизнь и одежду, а не относила все финансы в стоматологию? Вопрос походу риторический))))))))))А теперь вопрос фактический, если все-таки будут депульпировать, то можно ли потом это все закрыть керамической реставрацией, а не вкладку+коронку? Сфоткать во рту у меня не получится, по причине расположения зуба. Снимок с предыдущей страницы. Зуб и кариозная полость отмечена Ссылка на комментарий
red_butler Опубликовано 10 декабря, 2019 Поделиться Опубликовано 10 декабря, 2019 А теперь вопрос фактический, если все-таки будут депульпировать, то можно ли потом это все закрыть керамической реставрацией, а не вкладку+коронку? для ответа нужно оценить объём оставшихся твердых тканей Ссылка на комментарий
nataganka Опубликовано 19 декабря, 2019 Автор Поделиться Опубликовано 19 декабря, 2019 (изменено) Обошлось! Лечили под микроскопом)))))) зуб остался витальным. Выдали направление на "Трехмерное рентгенологическое исследование одного сегмента" для оценки во что выльется имплантация шестого зуба и сказали ответят по этому же КТ, нужно ли все-таки удалять 8-ой зуб Изменено 19 декабря, 2019 пользователем nataganka 1 Ссылка на комментарий
Рекомендуемые сообщения
Для публикации сообщений создайте учётную запись или авторизуйтесь
Вы должны быть пользователем, чтобы оставить комментарий
Создать аккаунт
Зарегистрируйте новый аккаунт в нашем сообществе. Это очень просто!
Регистрация нового пользователяВойти
Уже есть аккаунт? Войти в систему.
Войти