stoch Опубликовано 27 января, 2019 Поделиться Опубликовано 27 января, 2019 (изменено) Доброго времени, уважаемые специалисты.Буду признателен за высказанное мнение. Описание ситуации:С детства испытываю проблемы с зубами по части эстэтического вида. До переезда в Москву жил в небольшом городе, где у многих до определенного времени были похожие проблемы с зубами (возможно причина в переизбытке фтора). Примерно 8 лет назад в том же небольшом городе на 8-ми верхним зубах сделал композитное отбеливание. Периодически для части зубов эту процедуру приходилось повторять при различных повреждениях. На текущий момент помимо неудовлетворенности эстетическим видов зубов, после еды, иногда испытываю дискомфорт в зубах. Все зубы живые.Насколько я понимаю, то использование виниров в моём случае не поможет, а МК коронки имеют массу недостатков и в дальнейшем не очень бы хотелось тратить своё время на решение проблем с ними. Посещая стоматологические клиники мне предлагали сделать для всех зубов коронки из диоксида циркония, предварительно пройдя лечение. Не могу понять и решить, стоит вкладываться в это или есть высокий риск дальнейших проблем с зубами?Также не могу понять ценник: есть коронки, например за 15 тыр., а также за 35 тыр. Как это повлияет, например 1-й вариант прослужит 10 лет, а второй 20? Или там учитываются другие критерии? Каков риск поиска минимального ценника для коронок на основе диоксида циркония?Спасибо. Изменено 27 января, 2019 пользователем stoch Ссылка на комментарий
___49___ Опубликовано 27 января, 2019 Поделиться Опубликовано 27 января, 2019 очень скудная информация , конкретно по вашему клиническому случаю, хотя бы снимки выложили. Ищите в первую очередь доктора , после консультации с которым вы не будите уже задавать такие вопросы . Однозначно могу сказать одно - любая ортопедическая конструкция требует ухода и при отсутствии оного , долго не проходит. ... 1 Ссылка на комментарий
stoch Опубликовано 27 января, 2019 Автор Поделиться Опубликовано 27 января, 2019 очень скудная информация , конкретно по вашему клиническому случаю, хотя бы снимки выложили. Ищите в первую очередь доктора , после консультации с которым вы не будите уже задавать такие вопросы . Однозначно могу сказать одно - любая ортопедическая конструкция требует ухода и при отсутствии оного , долго не проходит. ...Спасибо за то, что уделили время моему вопросу.Снимков к сожалению нет, но думаю, сделать не проблема. Осталось найти доктора. Ссылка на комментарий
DmitrySH Опубликовано 27 января, 2019 Поделиться Опубликовано 27 января, 2019 Панорамный снимок вам в любом случае потребуется и ходить с ним на консультации намного информативнее.Сами по себе зубы ( на фото) не представляют какой-то особой сложности для изготовления красивых керамических реставраций 2 Ссылка на комментарий
stoch Опубликовано 28 января, 2019 Автор Поделиться Опубликовано 28 января, 2019 Панорамный снимок вам в любом случае потребуется и ходить с ним на консультации намного информативнее.Сами по себе зубы ( на фото) не представляют какой-то особой сложности для изготовления красивых керамических реставраций Дмитрий, спасибо. В течение недели постараюсь заскочить в клинику и сделать снимок. Ссылка на комментарий
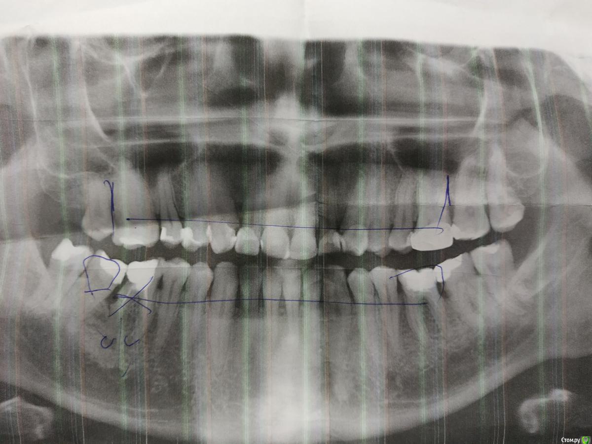
stoch Опубликовано 29 января, 2019 Автор Поделиться Опубликовано 29 января, 2019 (изменено) Доброго времени суток, уважаемые доктора.Сегодня зашел в клинику и сделал снимок, также врач набросал примерную схему лечения, которая займёт несколько месяцев.Будьте добры, если есть свободная минутка, подскажите ваше мнение касательно состояния зубов и выбора метода лечения. Врач в клинике вызывает уважение, четко и по делу, но всё же интересно мнение других профессионалов. Из сюрпризов: нужно удалять один зуб и на его место ставить имплант.Спасибо. Изменено 29 января, 2019 пользователем stoch Ссылка на комментарий
___49___ Опубликовано 29 января, 2019 Поделиться Опубликовано 29 января, 2019 (изменено) нужно удалять один зуб и на его место ставить имплант. - правильно доктор сказал. на счет остального не скажу - более половины снимка не читается(на бумаге , со сгибами и т.д. - вообщем до нас дошли лишь обрывки информации). Изменено 29 января, 2019 пользователем ___49___ 2 Ссылка на комментарий
DmitrySH Опубликовано 29 января, 2019 Поделиться Опубликовано 29 января, 2019 врач набросал примерную схему лечения, которая займёт несколько месяцев. Будьте добры, если есть свободная минутка, подскажите ваше мнение касательно состояния зубов и выбора метода лечения Вам план лечения надо строить с изготовлением диагностических моделей и гипсовкой их в артикулятор. зуб 46 - точно удалять., ОПТГ лучше переделать 2 Ссылка на комментарий
stoch Опубликовано 29 января, 2019 Автор Поделиться Опубликовано 29 января, 2019 (изменено) Уважаемые доктора, прощу прощения за возможно не совсем корректный вопрос, понимаю, что какие-то выводы сложно заочно делать, но не смогли бы вы сориентировать меня по цене. Возможно будет уложиться в пол миллиона? Или есть смысл оставить так как есть? Меня беспокоит вопрос: приобретя хороший эстетический вид зубов в перспективе не станет хуже для их внутреннего здоровья. Ответственность об уходе понимаю сполна. Изменено 29 января, 2019 пользователем stoch Ссылка на комментарий
DmitrySH Опубликовано 30 января, 2019 Поделиться Опубликовано 30 января, 2019 Или есть смысл оставить так как есть? У вас же тут не только неудовлетворительный внешний вид.Присутствует стираемость, пломбы в неудовлетворительном состоянии, местами парадонтальные карманы. зуб 46 разрушается. Меня беспокоит вопрос: приобретя хороший эстетический вид зубов в перспективе не станет хуже для их внутреннего здоровья Если все грамотно сделать, то будет только лучше. И конечно от Вас потребуется качественное поддержание гигиены полости рта. 1 Ссылка на комментарий
stoch Опубликовано 30 января, 2019 Автор Поделиться Опубликовано 30 января, 2019 (изменено) У вас же тут не только неудовлетворительный внешний вид.Присутствует стираемость, пломбы в неудовлетворительном состоянии, местами парадонтальные карманы. зуб 46 разрушается. Если все грамотно сделать, то будет только лучше. И конечно от Вас потребуется качественное поддержание гигиены полости рта. Спасибо, Дмитрий.Даже не знаю почему такая беда с зубами произошла, но уже ничего не поделать и переживать об этом смысла нет. В плане гигиены стараюсь соблюдать базовые правила: если есть возможность, то после приёма пищи чищу, регулярно использую зубную нить. Позвольте задать ещё вопрос. Если депульпировать большую часть зубов, то в итоге чем это грозит? Изменено 30 января, 2019 пользователем stoch Ссылка на комментарий
DmitrySH Опубликовано 30 января, 2019 Поделиться Опубликовано 30 января, 2019 Если депульпировать большую часть зубов, то в итоге чем это грозит? 1. Зубам будет хуже.2. Они станут более хрупкие 3. Потратите денег на ненужные манипуляции4. Потратите много лишнего времении т.п. Все должно быть по показаниям. Изготовление ортопедических конструкций не является показанием к депульпированию.Возможно где-то и может потребоваться депульпировать, но не большую часть 1 Ссылка на комментарий
red_butler Опубликовано 30 января, 2019 Поделиться Опубликовано 30 января, 2019 но не смогли бы вы сориентировать меня по цене финансовые вопросы на форуме не обсуждаются Ссылка на комментарий
Рекомендуемые сообщения
Для публикации сообщений создайте учётную запись или авторизуйтесь
Вы должны быть пользователем, чтобы оставить комментарий
Создать аккаунт
Зарегистрируйте новый аккаунт в нашем сообществе. Это очень просто!
Регистрация нового пользователяВойти
Уже есть аккаунт? Войти в систему.
Войти