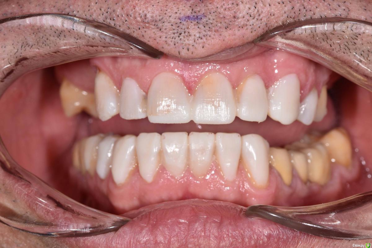
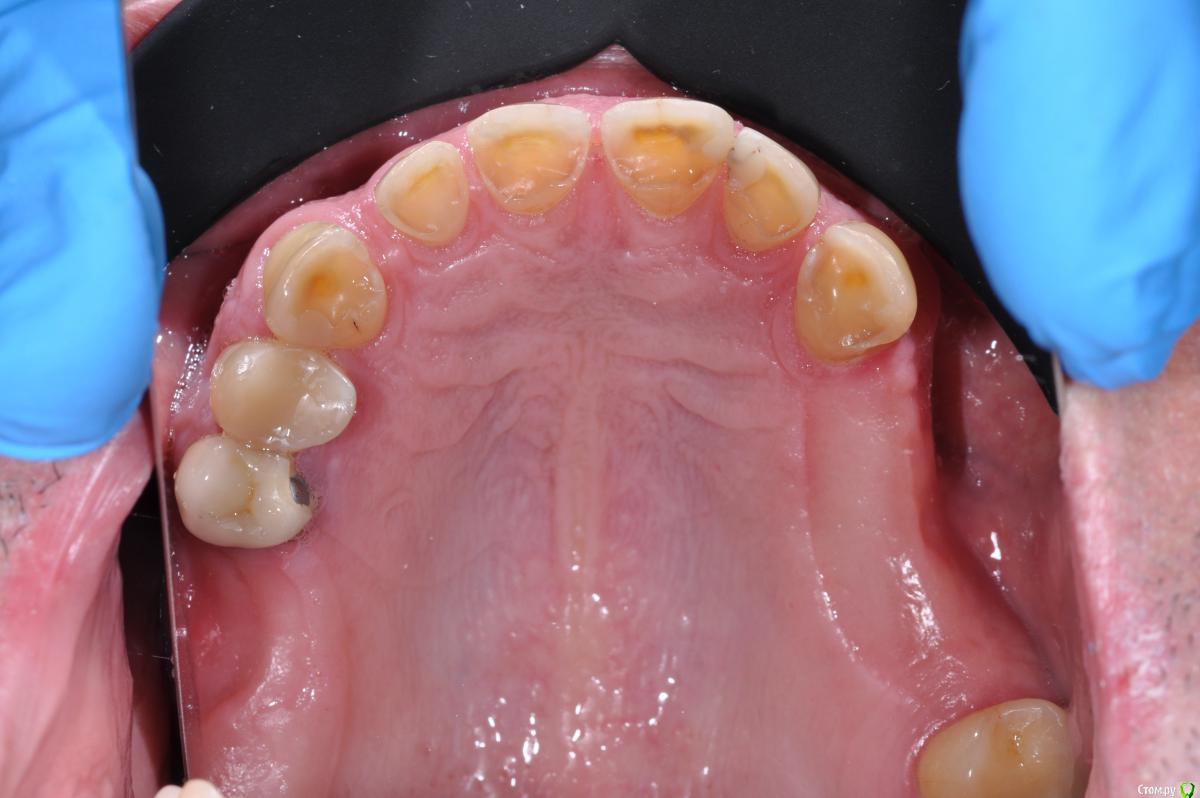
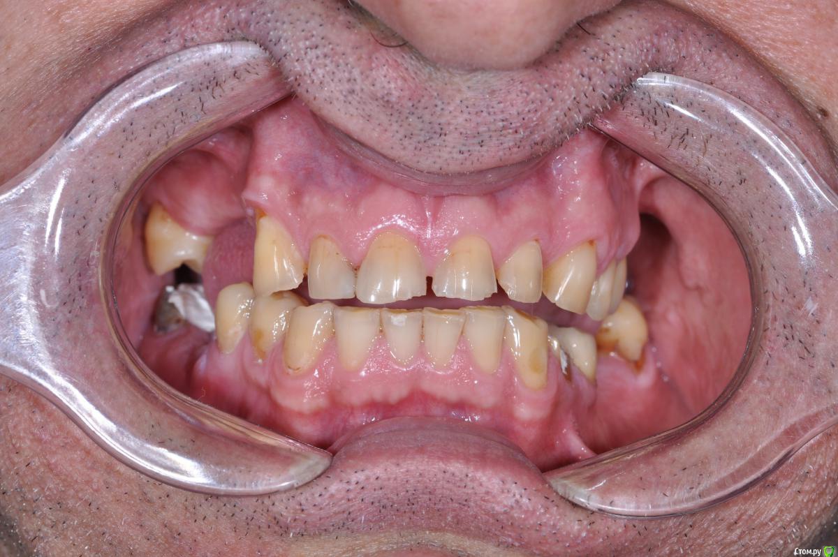
Neilrus Опубликовано 24 января, 2019 Поделиться Опубликовано 24 января, 2019 Здравствуйте, коллеги. Вопрос по выбору типа реставрации, есть пациент с полностью несъемным низом, а вот на верхней челюсти посмотрите на фото и снимок, пожалуйста, 17зуб, потом 13-25. Имлантация на верхней челюсти в ближайшие годы не предвидится по ряду причин. отработали пациента на капах, утвердили мокап, скоро начнем. Стираемость изнутри восстановлю композитом и обработаю под коронки. Вопрос по типу коронок, хочется и красиво и надежно.Верх: Понятно что если иметь ввиду что это мужик с такой объемной потерей тканей, да еще со съемником, то центр желательно цирконий, может даже преттау, но адгезия плохая пугает, да и внешний вид даже с хорошим техником не очень.Дисиликат с нанесением? Как вы считаете, выдержит?Гипертонуса нет, не бруксист, будет каппа ночная на низ, конечно Низ: Тут выбор между коронками и винирами (не на огнеупоре ,а обычные)жевательные низ пока временные, потом выведу их по плоскости, там emax без нанесения будут и цирконий на импл. Как бы поступили вы? Ссылка на комментарий
bakagaidzin Опубликовано 24 января, 2019 Поделиться Опубликовано 24 января, 2019 я бы имакс сделал с вестибулярным нанесением или в полную анатомию под краски 1 Ссылка на комментарий
kramer Опубликовано 24 января, 2019 Поделиться Опубликовано 24 января, 2019 Мне кажется тут все признаки бруксизма 1 Ссылка на комментарий
Neilrus Опубликовано 24 января, 2019 Автор Поделиться Опубликовано 24 января, 2019 Мне кажется тут все признаки бруксизмасейчас нет уже Ссылка на комментарий
Neilrus Опубликовано 24 января, 2019 Автор Поделиться Опубликовано 24 января, 2019 я бы имакс сделал с вестибулярным нанесением или в полную анатомию под краскину вот полная анатомия пока думаю основной вариант, а низ что думаете? Ссылка на комментарий
Бендер Опубликовано 25 января, 2019 Поделиться Опубликовано 25 января, 2019 сейчас нет ужеОткуда такая уверенность? Ссылка на комментарий
alboard Опубликовано 25 января, 2019 Поделиться Опубликовано 25 января, 2019 Вести речь о безметалловых конструкциях и при этом съемном протезе довольно странно. 1 Ссылка на комментарий
johniola Опубликовано 25 января, 2019 Поделиться Опубликовано 25 января, 2019 здесь надо ставить импланты,плюс коронкина все зубы,и поднимать высоту по любому. Никогта не совмещал цельнокерамические конструкции с бюгелем. Ссылка на комментарий
Neilrus Опубликовано 25 января, 2019 Автор Поделиться Опубликовано 25 января, 2019 (изменено) здесь надо ставить импланты,плюс коронкина все зубы,и поднимать высоту по любому. Никогта не совмещал цельнокерамические конструкции с бюгелем.Спасибо. Причем здесь бюгель? Высота поднята (смотри мокап). Имплантатов не будет ближайшие лет 10 Изменено 25 января, 2019 пользователем Neilrus Ссылка на комментарий
Neilrus Опубликовано 25 января, 2019 Автор Поделиться Опубликовано 25 января, 2019 Вести речь о безметалловых конструкциях и при этом съемном протезе довольно странно.не думаю...давеча у меня была девушка на собеседовании, она очень удивилась что мы в клинике иногда ставим мостовидные протезы, вот у нее на другом рабочем месте только имплантаты, и вообще, мосты уже нигде не делают (девушке 26) Ссылка на комментарий
Neilrus Опубликовано 25 января, 2019 Автор Поделиться Опубликовано 25 января, 2019 Откуда такая уверенность?яснознание ) Ссылка на комментарий
Рекомендуемые сообщения
Для публикации сообщений создайте учётную запись или авторизуйтесь
Вы должны быть пользователем, чтобы оставить комментарий
Создать аккаунт
Зарегистрируйте новый аккаунт в нашем сообществе. Это очень просто!
Регистрация нового пользователяВойти
Уже есть аккаунт? Войти в систему.
Войти