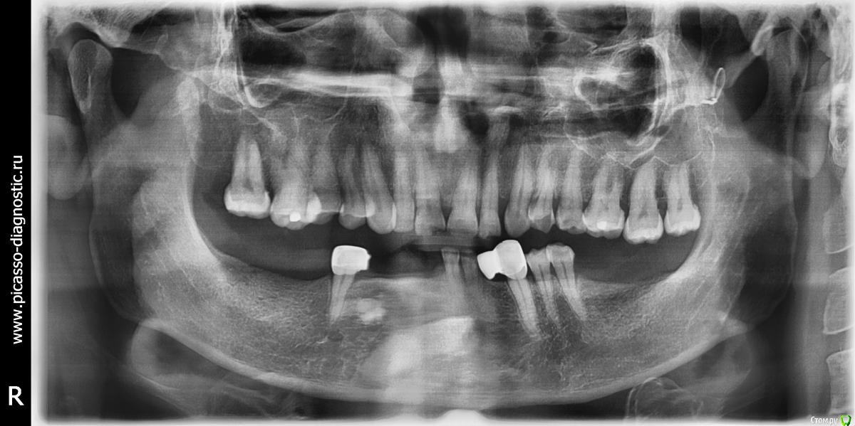
Tatyana_k Опубликовано 19 января, 2019 Поделиться Опубликовано 19 января, 2019 Мужчина 52 года нуждается в ортопедическом лечении. Направила на на ОПТГ. И собственно вопрос, что за уплотнения в кости нижней челюсти? Планируем бюгельный протез на нижнюю челюсть, хотелось бы без сюрпризов. Из анамнеза: 4 года назад пациент попадал в автомобильную аварию, были травмированы нижние зубы ( несколько пришлось удалить), а также перелом челюсти в 2 х местах. Уважаемые коллеги, прошу высказать свое мнение по поводу этих образований. Неизвестность настораживает. С уважением и вниманием к Вам, Татьяна. Ссылка на комментарий
Дмитрий Л. Опубликовано 19 января, 2019 Поделиться Опубликовано 19 января, 2019 То что выше, возможно одонтома, то что ниже - ретенированный клык/премоляр. Делайте Кт. По оптг никогда фронтальный участок не оценивайте. 6 Ссылка на комментарий
krokomot Опубликовано 19 января, 2019 Поделиться Опубликовано 19 января, 2019 Почему вы выбрали бюгельный протез? Ссылка на комментарий
Дмитрий М Опубликовано 20 января, 2019 Поделиться Опубликовано 20 января, 2019 То что выше, возможно одонтома, то что ниже - ретенированный клык/премоляр. Делайте Кт. По оптг никогда фронтальный участок не оценивайте.КЛКТ +1 Ссылка на комментарий
Tatyana_k Опубликовано 20 января, 2019 Автор Поделиться Опубликовано 20 января, 2019 КЛКТ +1Спасибо Всем за ответы, весьма признательна. ) Я тоже по первому впечатлению подумала о ретенированном клыке, но есть какая - то неопределенность в этом образовании..., подумала, лучше подстраховаться.) Ссылка на комментарий
Tatyana_k Опубликовано 20 января, 2019 Автор Поделиться Опубликовано 20 января, 2019 Почему вы выбрали бюгельный протез?Отчасти потому , что в данном случае для этого есть показания и что немаловажно - условия, и разумеется согласие пациента. Ссылка на комментарий
Рекомендуемые сообщения
Для публикации сообщений создайте учётную запись или авторизуйтесь
Вы должны быть пользователем, чтобы оставить комментарий
Создать аккаунт
Зарегистрируйте новый аккаунт в нашем сообществе. Это очень просто!
Регистрация нового пользователяВойти
Уже есть аккаунт? Войти в систему.
Войти