Оксана Мирзаева Опубликовано 16 января, 2019 Поделиться Опубликовано 16 января, 2019 ! В воскресенье 13.01 удалила нижнюю восьмерку слева. Удаление было сложным. Длилось три с половиной часа. Стоматолог почему то не разрезал десну, а расковырял ее. Коронка была частично разрушена, удаляли по частям. Последний загнутый корень очень долго доставали. Когда мне в четвёртый раз докололи анестезию, у меня перестал моргать левый глаз, вообще левая половина лица будто онемела. Врач сказал выпить дома антибиотик, супрастин, обезболивающее и лечь спать. С полуоткрытым глазом я уснула, проснулась через 2,5 часа с дикой болью в ухе и горле при глотании. Из за неудачного положения зуба, врач инструментом натягивал мне уголок губы, в итоге она порвалась. Рот я не могла раскрыть больше чем на 2см., думала что из за губы. В последующие 2 дня стало хуже, отек на лице не сходил, причём появился он не на месте 8ки, а чуть дальше к подбородку. Шишка твёрдая при пальпации болезненная, когда открываю рот происходит будто натяжение от шишки до самого уха и очень больно. К вечеру на месте шишки появилось красное пятно (утром уже не было). Не могу полностью наклонить голову вправо-болят мышцы шеи слева. На лунке и щеке рядом белый налёт. Сегодня врач почистил под анестезией. Про шишку сказал инфильтрат и отправил резать вотделение челюстно-лицевой хирургии. Подскажите пожалуйста что со мной!!! Мой чудо стоматолог на все мои вопросы отвечает лишь что у него также было Ссылка на комментарий
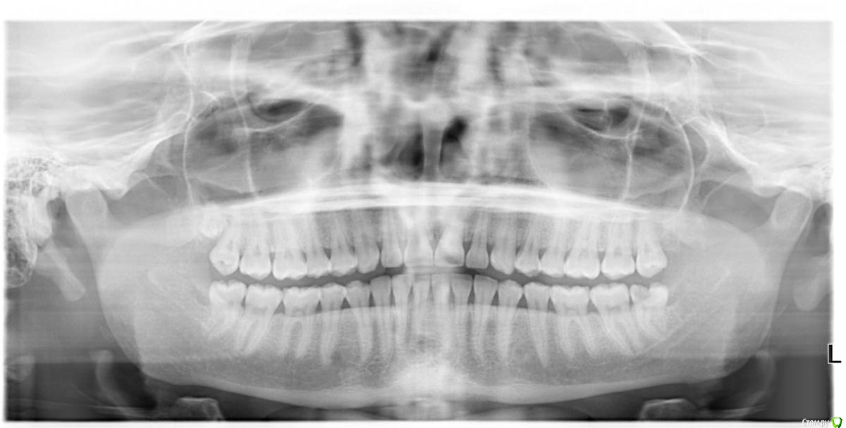
Оксана Мирзаева Опубликовано 16 января, 2019 Автор Поделиться Опубликовано 16 января, 2019 Вот снимок перед удалением И шишка с покраснением Ссылка на комментарий
kramer Опубликовано 16 января, 2019 Поделиться Опубликовано 16 января, 2019 Нужен очный осмотр. 1 Ссылка на комментарий
Рекомендуемые сообщения
Для публикации сообщений создайте учётную запись или авторизуйтесь
Вы должны быть пользователем, чтобы оставить комментарий
Создать аккаунт
Зарегистрируйте новый аккаунт в нашем сообществе. Это очень просто!
Регистрация нового пользователяВойти
Уже есть аккаунт? Войти в систему.
Войти