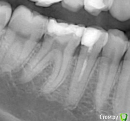
OlgaVeva Опубликовано 15 января, 2019 Поделиться Опубликовано 15 января, 2019 Здравствуйте! Ситуация такая: месяц назад мне запломбировали зуб, нижнюю шестерку справа. Через несколько дней я делала снимки соседнего зуба, и обнаружилось что-то темное в этом зубе (шестерке). Что это значит? Нужно все переделывать или это нормально? Там где темное, как раз была дырка, и ранее этот зуб уже пломбировался. Спасибо. Ссылка на комментарий
St. Опубликовано 15 января, 2019 Поделиться Опубликовано 15 января, 2019 Некоторые материалы могут быть неконтрастными, то есть черные на снимке Ссылка на комментарий
Рекомендуемые сообщения
Для публикации сообщений создайте учётную запись или авторизуйтесь
Вы должны быть пользователем, чтобы оставить комментарий
Создать аккаунт
Зарегистрируйте новый аккаунт в нашем сообществе. Это очень просто!
Регистрация нового пользователяВойти
Уже есть аккаунт? Войти в систему.
Войти