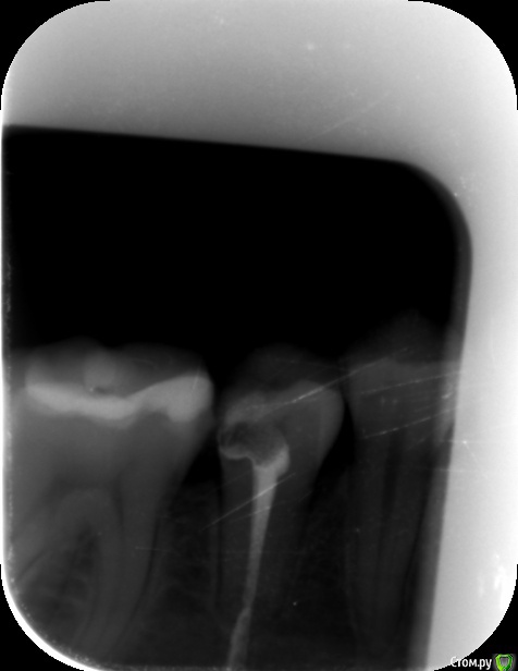
antemareundae Опубликовано 15 января, 2019 Поделиться Опубликовано 15 января, 2019 (изменено) Здравствуйте!Ситуация возникла очень неприятная и весьма непонятная для меня: 26 декабря 2018 года я пришла на прием в клинику в Санкт-Петербурге, чтобы вылечить 29 зуб (жалоб не было). Врач приняла решение о чистке каналов, поскольку, как она сказала, зуб достаточно "мягкий". Каналы после чистки закрыли временной пломбой ("Метапекс"), врач сказала прийти через 2-3 недели. Я взволновалась на следующий день, когда поняла, что ко мне не возвращается чувствительность. Часть губы, подбородка и десны не реагируют на прикосновения, температуру и прочее по сей день. К тому же, на десне рядом с зубом появился маленький гнойничок, которого, по моим наблюдениям, не было раньше (потом я поняла, что это свищ). Вчера, 14 января 2019 года, я пришла на повторный прием, врач сделала рентген (прикладываю к письму, кликнуть сюда), я описала все свои жалобы врачу, но её реакция была такой: "Всё пройдет, это нормально, приходи через месяц, часть пасты, которая вышла за пределы зуба, рассосётся".Дорогие специалисты, такое поведение врача адекватно? Мне кажется, у меня был периодонтит (хотя врач утверждала, что это пульпит), и она вывела пасту непреднамеренно. Я также прочла, это эта паста на масляной основе, она просто так с трудом рассасывается .Подскажите, как поступить правильно? Мне нужно обратиться к другому стоматологу-терапевту? Меня очень волнует эта ситуация и неврит, который появился вследствие вмешательства. Изменено 15 января, 2019 пользователем antemareundae Ссылка на комментарий
red_butler Опубликовано 15 января, 2019 Поделиться Опубликовано 15 января, 2019 Снимок не информативен Ссылка на комментарий
dentikl Опубликовано 15 января, 2019 Поделиться Опубликовано 15 января, 2019 Здравствуйте! 29 зуб (жалоб не было)?несколько вопросов к Вам1-зачем пришли?(жалоб не было..)2-анестезия была? Ссылка на комментарий
antemareundae Опубликовано 15 января, 2019 Автор Поделиться Опубликовано 15 января, 2019 ?несколько вопросов к Вам1-зачем пришли?(жалоб не было..)2-анестезия была?Здравствуйте! 1 — я стараюсь посещать стоматолога регулярно, раз в полгода-год, но визуально было видно, что с зубом что-то происходит (отлом пломбы), но боли не было2 — да, была проводниковая анестезия Ссылка на комментарий
antemareundae Опубликовано 15 января, 2019 Автор Поделиться Опубликовано 15 января, 2019 Снимок не информативенНужно чётче корневую часть зуба? Ссылка на комментарий
red_butler Опубликовано 15 января, 2019 Поделиться Опубликовано 15 января, 2019 Нужно чётче корневую часть зуба?Наоборот Ссылка на комментарий
dentikl Опубликовано 15 января, 2019 Поделиться Опубликовано 15 января, 2019 как изменилась чувствительность губы и подбородка на сегодняшний день? Ссылка на комментарий
antemareundae Опубликовано 15 января, 2019 Автор Поделиться Опубликовано 15 января, 2019 как изменилась чувствительность губы и подбородка на сегодняшний день?Я полностью контролирую мышцы, но нечувствительная зона остаётся такой же. Температуры и прикосновений не чувствую, при употреблении пищи могу, порой, случайно прикусить губу с внутренней стороны и не почувствовать. Если изменения и есть, то очень минимальные, к сожалению... Не понимаю, это из-за пасты такая реакция на нерв или какие-то другие причины. Ссылка на комментарий
St. Опубликовано 15 января, 2019 Поделиться Опубликовано 15 января, 2019 Нужно чётче корневую часть зуба?Нужно чтоб корень поместился полностью Ссылка на комментарий
dentikl Опубликовано 15 января, 2019 Поделиться Опубликовано 15 января, 2019 Я полностью контролирую мышцы, у Вас врачебный стиль изложения.Вы-кто по профессии?Номер зуба уточните плз.Снимок до или после? Ссылка на комментарий
antemareundae Опубликовано 16 января, 2019 Автор Поделиться Опубликовано 16 января, 2019 у Вас врачебный стиль изложения.Вы-кто по профессии?Номер зуба уточните плз.Снимок до или после?Мне 21 год, я совсем не связана с медицинской сферой, обучаюсь гуманитарным наукам Зуб — 29, снимок сделан после. Ссылка на комментарий
antemareundae Опубликовано 16 января, 2019 Автор Поделиться Опубликовано 16 января, 2019 Нужно чтоб корень поместился полностью Хорошо, поняла Вас! Сделаю снимок. Ссылка на комментарий
Рекомендуемые сообщения
Для публикации сообщений создайте учётную запись или авторизуйтесь
Вы должны быть пользователем, чтобы оставить комментарий
Создать аккаунт
Зарегистрируйте новый аккаунт в нашем сообществе. Это очень просто!
Регистрация нового пользователяВойти
Уже есть аккаунт? Войти в систему.
Войти