alekcandr ovs. Опубликовано 5 января, 2019 Поделиться Опубликовано 5 января, 2019 Здравствуйте коллеги,всех с Новым годом и Рождеством, нужен коллективный разум!!!,Кто Какие протоколы использует для немедленной нагрузки имплантатов в концепции все на 6 или 4 ,допустим у нас старая м.к дуга от 6 и до 7 В.Ч ,все зубы с дугой к сожалению, уходят!!!планируется одномоментная установка 6 болтиков и немедленная нагрузка в тот же день ,Как максимально точно,спланировать протетику и в идеале хочется сразу что-то надежное (армированное ), не съемное??? Коллеги , поделитесь пожалуйста, протоколами которые Вы используете???? как допустим точно перенести Высоту и положение зубов на импланты в один день ,и сколько примерно у Вас уходить времени после роботы Хирурга ??? 1 Ссылка на комментарий
Борис80 Опубликовано 7 января, 2019 Поделиться Опубликовано 7 января, 2019 если в один день, то протез изготавливайте заранее, до удаления, потом лишь фиксируя в нем абатменты Ссылка на комментарий
alekcandr ovs. Опубликовано 8 января, 2019 Автор Поделиться Опубликовано 8 января, 2019 если в один день, то протез изготавливайте заранее, до удаления, потом лишь фиксируя в нем абатменты! А если армировать, то только внутриротовой сварка ???! Ссылка на комментарий
art700 Опубликовано 8 января, 2019 Поделиться Опубликовано 8 января, 2019 Через шаблон ставить то будете? Ссылка на комментарий
alekcandr ovs. Опубликовано 8 января, 2019 Автор Поделиться Опубликовано 8 января, 2019 Через шаблон ставить то будете? Да Ссылка на комментарий
vadyasti Опубликовано 8 января, 2019 Поделиться Опубликовано 8 января, 2019 (изменено) Можно и лабораторные временные заказать. Для оттиска использую гипс артикуляционный. Изменено 8 января, 2019 пользователем vadyasti Ссылка на комментарий
alekcandr ovs. Опубликовано 8 января, 2019 Автор Поделиться Опубликовано 8 января, 2019 Можно и лабораторные временные заказать. Для оттиска использую гипс артикуляционный.А конструкция у ВАС армирована получилась ??? Ссылка на комментарий
art700 Опубликовано 8 января, 2019 Поделиться Опубликовано 8 января, 2019 ДаВарианта два1. Делать до операции, нормальные армированные, ставить по шаблону и прикручивать в день операции. Скорее всего что-то не досядет, через 2 недели подтянете.2. Снимать слепок после установки имплантов и нагружать через 3-4 дня, армированные. 1 Ссылка на комментарий
Борис80 Опубликовано 8 января, 2019 Поделиться Опубликовано 8 января, 2019 если вы хотите к армированию привязать абатменты, то только в полости рта, но почему у вас в этом необходимость? Если у вас будет шаблон, техник сможет армировать заранее изготовленный временный протез без сварки с абатментами без проблем... Ссылка на комментарий
vadyasti Опубликовано 8 января, 2019 Поделиться Опубликовано 8 января, 2019 (изменено) А конструкция у ВАС армирована получилась ???А конструкция у ВАС армирована получилась ???Да, армированая. До операции готовим ПСПП далее операция, мультики, внутриротовая спайка титановых манжет и проволки, перебазировка с соблюдением ЦС. Изменено 8 января, 2019 пользователем vadyasti Ссылка на комментарий
vadyasti Опубликовано 8 января, 2019 Поделиться Опубликовано 8 января, 2019 (изменено) если вы хотите к армированию привязать абатменты, то только в полости рта, но почему у вас в этом необходимость? Если у вас будет шаблон, техник сможет армировать заранее изготовленный временный протез без сварки с абатментами без проблем... Главное трансфера посадить как надо. Оттиск гипсом и никакой деформации и расхождения. Коронки даже армированные садятся в лёгкую. Шаблон в любом случае будет с искажением. Изменено 8 января, 2019 пользователем vadyasti Ссылка на комментарий
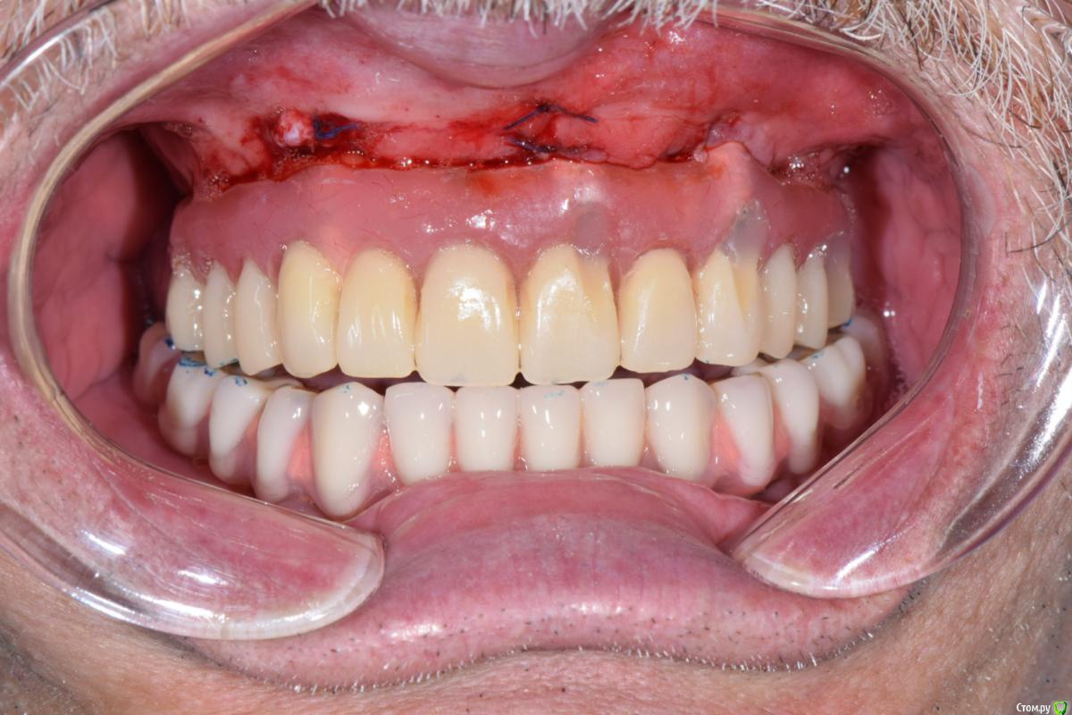
alekcandr ovs. Опубликовано 9 января, 2019 Автор Поделиться Опубликовано 9 января, 2019 Коллеги получается, я снимаю заранее робочий слепок, регистрируется прикус,техник срезаете зубы которые удаляются, ставим постановку ( моделируем зубы), армируется, варим или фрезеруем, по хирургическому шаблону делаются отверстия под временнее абатменты, хирург ставит импланы и наша задача произолировать рану , вкрутить вр... абатменты , сделать перебазировку протеза , отработать прикус!!!! Правильно коллеги, или ч где-то, чего-то упустил??? Ссылка на комментарий
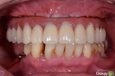
art700 Опубликовано 9 января, 2019 Поделиться Опубликовано 9 января, 2019 Можно и лабораторные временные заказать. Для оттиска использую гипс артикуляционный.Здесь беззубая челюсть была? Как вы поступите при наличии зубов и при необходимости сделать протез без искусственной десны? Ссылка на комментарий
vadyasti Опубликовано 10 января, 2019 Поделиться Опубликовано 10 января, 2019 (изменено) Здесь беззубая челюсть была? Как вы поступите при наличии зубов и при необходимости сделать протез без искусственной десны?В одном случае беззубая, во втором с частичным отсутствием. В случае без искусственной десны делается все тоже самое только пластмасса белая. Изменено 10 января, 2019 пользователем vadyasti Ссылка на комментарий
Magadalina Опубликовано 15 февраля, 2019 Поделиться Опубликовано 15 февраля, 2019 Коллеги получается, я снимаю заранее робочий слепок, регистрируется прикус,техник срезаете зубы которые удаляются, ставим постановку ( моделируем зубы), армируется, варим или фрезеруем, по хирургическому шаблону делаются отверстия под временнее абатменты, хирург ставит импланы и наша задача произолировать рану , вкрутить вр... абатменты , сделать перебазировку протеза , отработать прикус!!!! Правильно коллеги, или ч где-то, чего-то упустил???А как вы изолируете рану? Ссылка на комментарий
alekcandr ovs. Опубликовано 16 февраля, 2019 Автор Поделиться Опубликовано 16 февраля, 2019 А как вы изолируете рану?. Можно натянуть на Вр. Абатменты коффердам или тефлоном ! Ссылка на комментарий
suballex Опубликовано 21 февраля, 2019 Поделиться Опубликовано 21 февраля, 2019 Протокол, как учил один итальянец. Прямо фото с его курса и покажу. Гражданин Энрико Альярди, если чтоПЕРЕД удалением, снимаем оттиски, гипсуем, планируем редукцию костную, поэтапно редуцируем гипс и делаем постановку Поставили Делаем такие вот "скорлупки". Варим, в смысле Удаляем, редуцируем, крутим болты и мультики, на них трансфера для закрытой ложки Опираясь на трансфера - определяем прикус. Слепок с изоляцией швов. Я изолировал гелем для УЗ диагностики. Нормально получается. Там все равно все в слюне, крови и прочей гадости. Отливаем, гипсуем. Получаем такую штуку Вяжем временные абатменты самотвердейкой Прилаживаем изготовленную ранее "скорлупку" и подклеиваем воском Соединяем одно с другим. Готов временный. Это если лаба под боком. Я делал и так, и прямым методом. Так - лучше в разы. 3 Ссылка на комментарий
Дмитрий Л. Опубликовано 21 февраля, 2019 Поделиться Опубликовано 21 февраля, 2019 Соединяем одно с другим. Спасибо. А как соединить? Ссылка на комментарий
suballex Опубликовано 21 февраля, 2019 Поделиться Опубликовано 21 февраля, 2019 Спасибо. А как соединить? Все той же самотвердейкой. Ссылка на комментарий
Рекомендуемые сообщения
Для публикации сообщений создайте учётную запись или авторизуйтесь
Вы должны быть пользователем, чтобы оставить комментарий
Создать аккаунт
Зарегистрируйте новый аккаунт в нашем сообществе. Это очень просто!
Регистрация нового пользователяВойти
Уже есть аккаунт? Войти в систему.
Войти