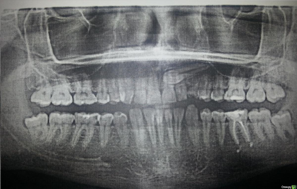
fulnik Опубликовано 3 января, 2019 Поделиться Опубликовано 3 января, 2019 (изменено) 48 частично закрыт капюшоном, 38 полностью. На счет 23 знаю, интересуют только нижние восьмерки. Нижний ряд аномалия: плотное расположение. 33 повернут. Сразу скажу, удалять 48,38 не хотелось бы, ибо имеют полностью здоровых антагонистов и если удалять, то вместе с 18,28, а на это нет ни времени ни сил.Так вот, как считаете что делать с 48,38? Изменено 3 января, 2019 пользователем fulnik Ссылка на комментарий
kramer Опубликовано 4 января, 2019 Поделиться Опубликовано 4 января, 2019 Удалять 18 28 38 48 2 Ссылка на комментарий
fulnik Опубликовано 4 января, 2019 Автор Поделиться Опубликовано 4 января, 2019 Удалять 18 28 38 4838 48 простое удаление? Ссылка на комментарий
kramer Опубликовано 4 января, 2019 Поделиться Опубликовано 4 января, 2019 38 48 простое удаление? Что вы имеете ввиду? 1 Ссылка на комментарий
fulnik Опубликовано 4 января, 2019 Автор Поделиться Опубликовано 4 января, 2019 Что вы имеете ввиду?При таком положении восьмых моляров, особенно 38 операция тяжелая будет? Я приблизительно по времени и травматичности. Ссылка на комментарий
kramer Опубликовано 4 января, 2019 Поделиться Опубликовано 4 января, 2019 При таком положении восьмых моляров, особенно 38 операция тяжелая будет? Я приблизительно по времени и травматичности. Все зависит от квалификации хирурга / оснащения. Не самая сложная ситуация. Послеоперационный отек, болезненность все равно будут так или иначе 1 Ссылка на комментарий
fulnik Опубликовано 4 января, 2019 Автор Поделиться Опубликовано 4 января, 2019 Последний вопрос. На сколько ситуация ждет? Мне предстоит операция на челюстной сустав и ухо с последующей реабилитацией. Боюсь что удалять нижние восьмерки будет затруднительно с "неоткрывающейся" челюстью, или стоит стоит "подвинуть" операцию на сустав в угоду экстракции? Ссылка на комментарий
kramer Опубликовано 4 января, 2019 Поделиться Опубликовано 4 января, 2019 Последний вопрос. На сколько ситуация ждет? Мне предстоит операция на челюстной сустав и ухо с последующей реабилитацией. Боюсь что удалять нижние восьмерки будет затруднительно с "неоткрывающейся" челюстью, или стоит стоит "подвинуть" операцию на сустав в угоду экстракции?Какая операция? Ссылка на комментарий
___49___ Опубликовано 4 января, 2019 Поделиться Опубликовано 4 января, 2019 (изменено) Последний вопрос. На сколько ситуация ждет? Мне предстоит операция на челюстной сустав и ухо с последующей реабилитацией. Боюсь что удалять нижние восьмерки будет затруднительно с "неоткрывающейся" челюстью, или стоит стоит "подвинуть" операцию на сустав в угоду экстракции?Если есть возможность удалить 8 ки до операции на сустав , лучше удалите. Если ограничения движения ВНЧС не позволяют провести экстракцию зубов , то уже по факту - сначала операция потом удаление . При удалении 8ок, ВНЧС может испытывать определенные нагрузки и лучше если это будет не сразу после операции на сустав . Изменено 4 января, 2019 пользователем ___49___ 1 Ссылка на комментарий
fulnik Опубликовано 4 января, 2019 Автор Поделиться Опубликовано 4 января, 2019 Какая операция?Удаление рубцов на диске сустава. Ссылка на комментарий
Рекомендуемые сообщения
Для публикации сообщений создайте учётную запись или авторизуйтесь
Вы должны быть пользователем, чтобы оставить комментарий
Создать аккаунт
Зарегистрируйте новый аккаунт в нашем сообществе. Это очень просто!
Регистрация нового пользователяВойти
Уже есть аккаунт? Войти в систему.
Войти