bogdan_r Опубликовано 27 декабря, 2018 Поделиться Опубликовано 27 декабря, 2018 Здравствуйте. Подскажите, как бы вы поступили в этой ситуации. Пациент не курит, без высоких эстетических требований.1.2 удален несколько лет назад, 1.1. Нуждается в удалении. Планирую одномоментную имплантацию в лунку 1.1. и протезирование консолью через 4-6 мес.. Хочу аккуратно удалить, кюретаж( наверно придется отслоить лоскут?), имплантация, графт, мембрана, Vip-ct). Достаточно будет имплант 4,0*11.5? Или надежнее будет установить 2 импланта? Опыт в имплантации небольшой. Ссылка на комментарий
АнтонТЛТ Опубликовано 28 декабря, 2018 Поделиться Опубликовано 28 декабря, 2018 Имплантат можно подлинее, максимально длинный, который может поместиться. Лунку заполнить графтом без мембраны. Может быть сразу нагрузить. Если не будет нормального торка, то перекрыть vip-ct. 1 Ссылка на комментарий
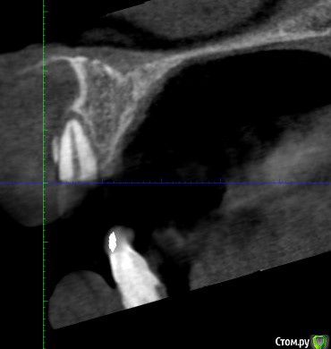
Иван911 Опубликовано 28 декабря, 2018 Поделиться Опубликовано 28 декабря, 2018 (изменено) Здравствуйте. Подскажите, как бы вы поступили в этой ситуации. Пациент не курит, без высоких эстетических требований.1.2 удален несколько лет назад, 1.1. Нуждается в удалении. Планирую одномоментную имплантацию в лунку 1.1. и протезирование консолью через 4-6 мес.. Хочу аккуратно удалить, кюретаж( наверно придется отслоить лоскут?), имплантация, графт, мембрана, Vip-ct). Достаточно будет имплант 4,0*11.5? Или надежнее будет установить 2 импланта? Опыт в имплантации небольшой.Посмотрите на ось зуба , и ось имплантанта , который вы планируете ставить. 1) возможен эстетический провал, 2) Цементная фиксация с консолью не очень хороший вариант, по моему мнению. Если ставить , то лоскут не откидывать( при сохранении костной пластинки , та что пришеечно) и ось я бы выбрал примерно так, как на картинке ниже. Временные сразу можно, для формирования овоида на консоли, 1.1 и поддержки десневого края.http://i.piccy.info/i9/e2567a3bae87288f72504ec47b4d71fa/1545984155/40647/1291603/Stom.jpghttp://i.piccy.info/a3/2018-12-28-08-02/i9-12866474/550x538-r/i.gif Изменено 28 декабря, 2018 пользователем Иван911 4 Ссылка на комментарий
Irouil Опубликовано 28 декабря, 2018 Поделиться Опубликовано 28 декабря, 2018 Судя по нижнему резцу, показанная ось тоже выводит на цемент. ТСу: кто будет протезировать, где срезы для двойки, какой опыт одномоментной имплантации? Если крутить, то лоскут без вертикальных разрезов, заранее обсудить с ортопедом протезирование, ибо на винт все равно, кмк, не вывести, поэтому лучше крутить сразу туда, где больше кости 1 Ссылка на комментарий
bogdan_r Опубликовано 28 декабря, 2018 Автор Поделиться Опубликовано 28 декабря, 2018 Спасибо всем. В позиции 2 зуба мало кости.Ось импланта чуть смещу, как указал Иван911. Одномоментной имплантации раньше не делал. Планирую сделать ортопедический шаблон для подстраховки. Ссылка на комментарий
Иван911 Опубликовано 28 декабря, 2018 Поделиться Опубликовано 28 декабря, 2018 Судя по нижнему резцу, показанная ось тоже выводит на цемент. ТСу: кто будет протезировать, где срезы для двойки, какой опыт одномоментной имплантации? Если крутить, то лоскут без вертикальных разрезов, заранее обсудить с ортопедом протезирование, ибо на винт все равно, кмк, не вывести, поэтому лучше крутить сразу туда, где больше костиОно то так, но позиция все-равно предпочтительней. И можно попробовать накладку керамическую зафиксировать адгезивно, некоторые техники могут сделать красиво. 1 Ссылка на комментарий
Nazim_NV86 Опубликовано 28 декабря, 2018 Поделиться Опубликовано 28 декабря, 2018 Спасибо всем. В позиции 2 зуба мало кости.Ось импланта чуть смещу, как указал Иван911. Одномоментной имплантации раньше не делал. Планирую сделать ортопедический шаблон для подстраховки.Какой? Смотрите с шаблоном не ошибитесь потом. Одномоментно в лунку закрутить можно на глаз вполне предсказуемо. Тем более это фронт. 2 Ссылка на комментарий
bogdan_r Опубликовано 28 декабря, 2018 Автор Поделиться Опубликовано 28 декабря, 2018 Какой? Смотрите с шаблоном не ошибитесь потом. Одномоментно в лунку закрутить можно на глаз вполне предсказуемо. Тем более это фронт. Техник сделает восковой прогноз. И С него сделает шаблон. Больше для подстраховки Ссылка на комментарий
Дмитрий М Опубликовано 29 декабря, 2018 Поделиться Опубликовано 29 декабря, 2018 (изменено) Техник сделает восковой прогноз. И С него сделает шаблон. Больше для подстраховкипокажите пожалуйста фото шаблона и на КТ ширина гребня 9,11мм? срезы корректно выставлены? Изменено 29 декабря, 2018 пользователем Дмитрий М Ссылка на комментарий
bogdan_r Опубликовано 29 декабря, 2018 Автор Поделиться Опубликовано 29 декабря, 2018 (изменено) покажите пожалуйста фото шаблона и на КТ ширина гребня 9,11мм? срезы корректно выставлены?Шаблон будет после нг. Позиция импланта будет немного другая. Ширина в самом узком месте 9.11мм Изменено 29 декабря, 2018 пользователем bogdan_r Ссылка на комментарий
Дмитрий М Опубликовано 29 декабря, 2018 Поделиться Опубликовано 29 декабря, 2018 Шаблон будет после нг. Позиция импланта будет немного другая. Ширина в самом узком месте 9.11ммспасибо, за ответ Ссылка на комментарий
Smileee Опубликовано 29 декабря, 2018 Поделиться Опубликовано 29 декабря, 2018 Какой? Смотрите с шаблоном не ошибитесь потом. Одномоментно в лунку закрутить можно на глаз вполне предсказуемо. Тем более это фронт. Шаблон же наоборот используют, чтобы максимально точно установить имплант, или я чего-то не знаю? Ссылка на комментарий
Irouil Опубликовано 30 декабря, 2018 Поделиться Опубликовано 30 декабря, 2018 Шаблон же наоборот используют, чтобы максимально точно установить имплант, или я чего-то не знаю?Используют - это одно, а получается - это другое ( Много тонкостей с этой дурацкой фигнёй 3 Ссылка на комментарий
Smileee Опубликовано 30 декабря, 2018 Поделиться Опубликовано 30 декабря, 2018 Используют - это одно, а получается - это другое (Много тонкостей с этой дурацкой фигнёйМожно с этого момента подробнее пожалуйста. Есть пациент, пока только на этапе планирования, собирался использовать шаблон на нч для установки имплантов по методу "все на 4". Теперь меня начинают терзать сомнения в целесообразности его использования Ссылка на комментарий
Bier Опубликовано 30 декабря, 2018 Поделиться Опубликовано 30 декабря, 2018 Можно с этого момента подробнее пожалуйста. Есть пациент, пока только на этапе планирования, собирался использовать шаблон на нч для установки имплантов по методу "все на 4". Теперь меня начинают терзать сомнения в целесообразности его использованияну не всегда шаблон точен, не всегда он точно позиционируется, вы делайте, но слепо ему не доверяйте. 2 Ссылка на комментарий
Smileee Опубликовано 31 декабря, 2018 Поделиться Опубликовано 31 декабря, 2018 ну не всегда шаблон точен, не всегда он точно позиционируется, вы делайте, но слепо ему не доверяйте.Хотел установить имплантаты без отслоения полнослойных лоскутов, дабы облегчить послеоперационный период пациенту. Теперь думаю в обратном направлении, все же контроль важнее) Ссылка на комментарий
Kazankov.Egor Опубликовано 31 декабря, 2018 Поделиться Опубликовано 31 декабря, 2018 Может просто отсроченно? Сначала подсыпать кость, а вторым этапом по нужной оси поставить? Ссылка на комментарий
Smileee Опубликовано 1 января, 2019 Поделиться Опубликовано 1 января, 2019 (изменено) Может просто отсроченно? Сначала подсыпать кость, а вторым этапом по нужной оси поставить?Пациент не хочет ходить "без зубов", а накладывать протез сразу после НКР побаиваюсь, тем более там нужно по вертикали наращивать. Да и в финансовом плане тоже не потянет. Уже обсуждали, даже с возможностью рассрочки. Изменено 1 января, 2019 пользователем Smileee Ссылка на комментарий
Irouil Опубликовано 2 января, 2019 Поделиться Опубликовано 2 января, 2019 Да, шаблон помогает, при оо4 сильно, но точность его далеко не идеальна, это значит что нужно постоянно контролировать. Когда это тотал - сверлить, вынимать пины, снимать шаблон, проверять, сажать обратно, снова пинить - бывает адски долго, муторно, плюс к этому каждый раз распинивая шаблон он садится все менее точно. Поэтому я использую шаблон только для пилотного сверления, хотя мне его делают полноценным под навигационный набор Ссылка на комментарий
Kazankov.Egor Опубликовано 2 января, 2019 Поделиться Опубликовано 2 января, 2019 Пациент не хочет ходить "без зубов", а накладывать протез сразу после НКР побаиваюсь, тем более там нужно по вертикали наращивать. Да и в финансовом плане тоже не потянет. Уже обсуждали, даже с возможностью рассрочки. сделайте адгезивный, причем можно сделать его лабораторно: металлизированный базис+пластмассовый зуб. Можно просто адгезивный. Ссылка на комментарий
Kazankov.Egor Опубликовано 2 января, 2019 Поделиться Опубликовано 2 января, 2019 Да, шаблон помогает, при оо4 сильно, но точность его далеко не идеальна, это значит что нужно постоянно контролировать. Когда это тотал - сверлить, вынимать пины, снимать шаблон, проверять, сажать обратно, снова пинить - бывает адски долго, муторно, плюс к этому каждый раз распинивая шаблон он садится все менее точно. Поэтому я использую шаблон только для пилотного сверления, хотя мне его делают полноценным под навигационный наборесли не секрет, напишите ЛС кто делает навигацию. Ссылка на комментарий
Smileee Опубликовано 2 января, 2019 Поделиться Опубликовано 2 января, 2019 (изменено) Да, шаблон помогает, при оо4 сильно, но точность его далеко не идеальна, это значит что нужно постоянно контролировать. Когда это тотал - сверлить, вынимать пины, снимать шаблон, проверять, сажать обратно, снова пинить - бывает адски долго, муторно, плюс к этому каждый раз распинивая шаблон он садится все менее точно. Поэтому я использую шаблон только для пилотного сверления, хотя мне его делают полноценным под навигационный наборВы верно написали, что после каждого снятия и последующего наложения шаблона, он уже также на 100% не сядет, поэтому я планирую только под пилотное сверление, чтобы в случае неточности можно было исправить. А по поводу точности шаблона- вы имели ввиду при наложении на беззубую челюсть? ПС: планирую использовать двойной шаблон (первый назубный как позиционер для второго). Изменено 2 января, 2019 пользователем Smileee Ссылка на комментарий
Smileee Опубликовано 2 января, 2019 Поделиться Опубликовано 2 января, 2019 (изменено) сделайте адгезивный, причем можно сделать его лабораторно: металлизированный базис+пластмассовый зуб. Можно просто адгезивный.Зубы частично у пациента есть (как для ориентира), если я правильно понял вас. Металлизированный базис для прочности? Опыта работы с шаблонами мало, поэтому всех нюансов не знаю. Изменено 2 января, 2019 пользователем Smileee Ссылка на комментарий
Nazim_NV86 Опубликовано 2 января, 2019 Поделиться Опубликовано 2 января, 2019 Вы верно написали, что после каждого снятия и последующего наложения шаблона, он уже также на 100% не сядет, поэтому я планирую только под пилотное сверление, чтобы в случае неточности можно было исправить. А по поводу точности шаблона- вы имели ввиду при наложении на беззубую челюсть? ПС: планирую использовать двойной шаблон (первый назубный как позиционер для вторТолькоТолько для пилотного сверления в шаблоне особо толку не будет. Он хорош как раз тем, что через него можно отсверлить с нажимом и никакие края лунок и т.п. не повлияют на позиционирование. Но для этого шаблон нужно чётко смоделировать, чтоб он одевался без излишних усилий и не болтался. Отпечатать его в хорошем качестве и чтоб втулки залезали плотно, надёжно и без лишней суеты с подогревом их. Возможно для этого придётся поиграть и найти оптимальный диаметр в программе для них. 1 Ссылка на комментарий
Евгений Ходыкин Опубликовано 6 января, 2019 Поделиться Опубликовано 6 января, 2019 Сделайте нормальный нави шаблон и проблем нет. Чего тут опять все прицепились к этой винтовой фиксации, не пойму? Ссылка на комментарий
Рекомендуемые сообщения
Для публикации сообщений создайте учётную запись или авторизуйтесь
Вы должны быть пользователем, чтобы оставить комментарий
Создать аккаунт
Зарегистрируйте новый аккаунт в нашем сообществе. Это очень просто!
Регистрация нового пользователяВойти
Уже есть аккаунт? Войти в систему.
Войти