Перейти к содержанию
Стоматология для всех

Посоветуйте опытного хирурга-пародонтолога


scrappy_coco

Рекомендуемые сообщения

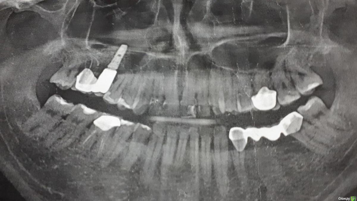
Доброго времени суток! Будьте добры, посоветуйте хорошего, опытного хирурга-пародонтолога, работающего поближе к Магнитогорску.- Челябинск, Екатеринбург, Уфа, Оренбург, Самара, который смог бы помочь мне с моей проблемой,а проблема заключается в генерализованной рецессии. Заранее Спасибо!

post-42047-0-38047300-1545910280_thumb.jpg

post-42047-0-42222300-1545910286_thumb.jpg

post-42047-0-47844600-1545910291_thumb.jpg

post-42047-0-93332600-1545910297_thumb.jpg

Ссылка на комментарий
Гость
Эта тема закрыта для публикации ответов.
×
×
  • Создать...
Вверх