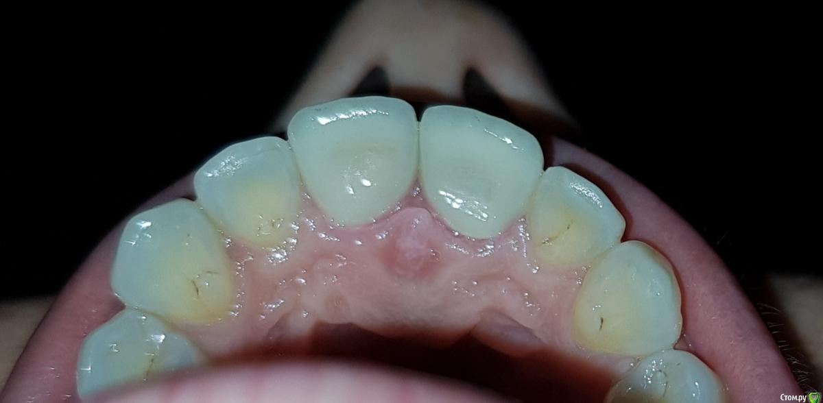
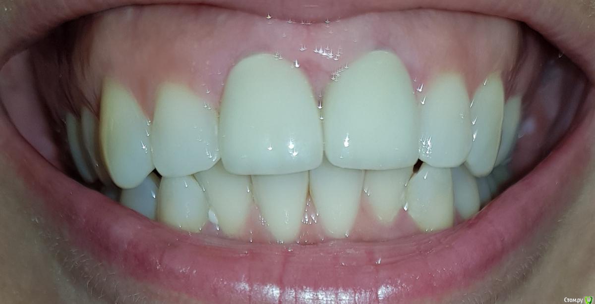
esmeron79 Опубликовано 24 декабря, 2018 Поделиться Опубликовано 24 декабря, 2018 Посоветуйте что делать. Сделали 2 передних циркониевых зуба и пришеечная окантовка оголилась. Почему шейки оголились? Когда врач мерила колпачки, они какие-то оказались большие, но виду не подала. Техник сделал на то что есть. Сосочки воспалены, сзади вообще мешается центральный, набух. Пошла к другому врачу, много счистил цемента, "сосочки" как будто сели, но центральный сзади опять набухает и передние шейки все таки оголены. От чего это могло пройзойти, может большие зубы слишком? Ссылка на комментарий
red_butler Опубликовано 25 декабря, 2018 Поделиться Опубликовано 25 декабря, 2018 http://forum.stom.ru/topic/20613-sovety-patcientam-obiazatelno-k-prochteniiu/ Ссылка на комментарий
esmeron79 Опубликовано 25 декабря, 2018 Автор Поделиться Опубликовано 25 декабря, 2018 1 Ссылка на комментарий
esmeron79 Опубликовано 25 декабря, 2018 Автор Поделиться Опубликовано 25 декабря, 2018 1 Ссылка на комментарий
esmeron79 Опубликовано 25 декабря, 2018 Автор Поделиться Опубликовано 25 декабря, 2018 1 Ссылка на комментарий
esmeron79 Опубликовано 25 декабря, 2018 Автор Поделиться Опубликовано 25 декабря, 2018 Ссылка на комментарий
esmeron79 Опубликовано 25 декабря, 2018 Автор Поделиться Опубликовано 25 декабря, 2018 Извините, не знала. Ссылка на комментарий
esmeron79 Опубликовано 25 декабря, 2018 Автор Поделиться Опубликовано 25 декабря, 2018 Ну когда же, кто-нибудь ответит(( 1 Ссылка на комментарий
esmeron79 Опубликовано 25 декабря, 2018 Автор Поделиться Опубликовано 25 декабря, 2018 Ссылка на комментарий
Борис80 Опубликовано 16 января, 2019 Поделиться Опубликовано 16 января, 2019 чтобы сказать однозначно, желательно знать что было ДО протезирования и посмотреть Вас очно. Если вы считаете, что до протезирования с десной проблем не было, а после установки коронок они появились, Вам необходимо сообщить об этом своему врачу. Сказать точно невозможно, тк можно предположить минимум 3 причины происходящего, а может и большеБыли ли у Вас временные коронки?Согласовали ли с Вами форму зубов во время примерки?итд итп... Но если Вам не нравится результат работы, обязательно обсудите это со своим врачом.С ним же у Вас нет конфликта? Ссылка на комментарий
DmitrySH Опубликовано 16 января, 2019 Поделиться Опубликовано 16 января, 2019 Сколько времени прошло после фиксации? . Сосочки воспалены, сзади вообще мешается центральный, набух. Пошла к другому врачу, а к своему ходили? 1 Ссылка на комментарий
Рекомендуемые сообщения
Для публикации сообщений создайте учётную запись или авторизуйтесь
Вы должны быть пользователем, чтобы оставить комментарий
Создать аккаунт
Зарегистрируйте новый аккаунт в нашем сообществе. Это очень просто!
Регистрация нового пользователяВойти
Уже есть аккаунт? Войти в систему.
Войти