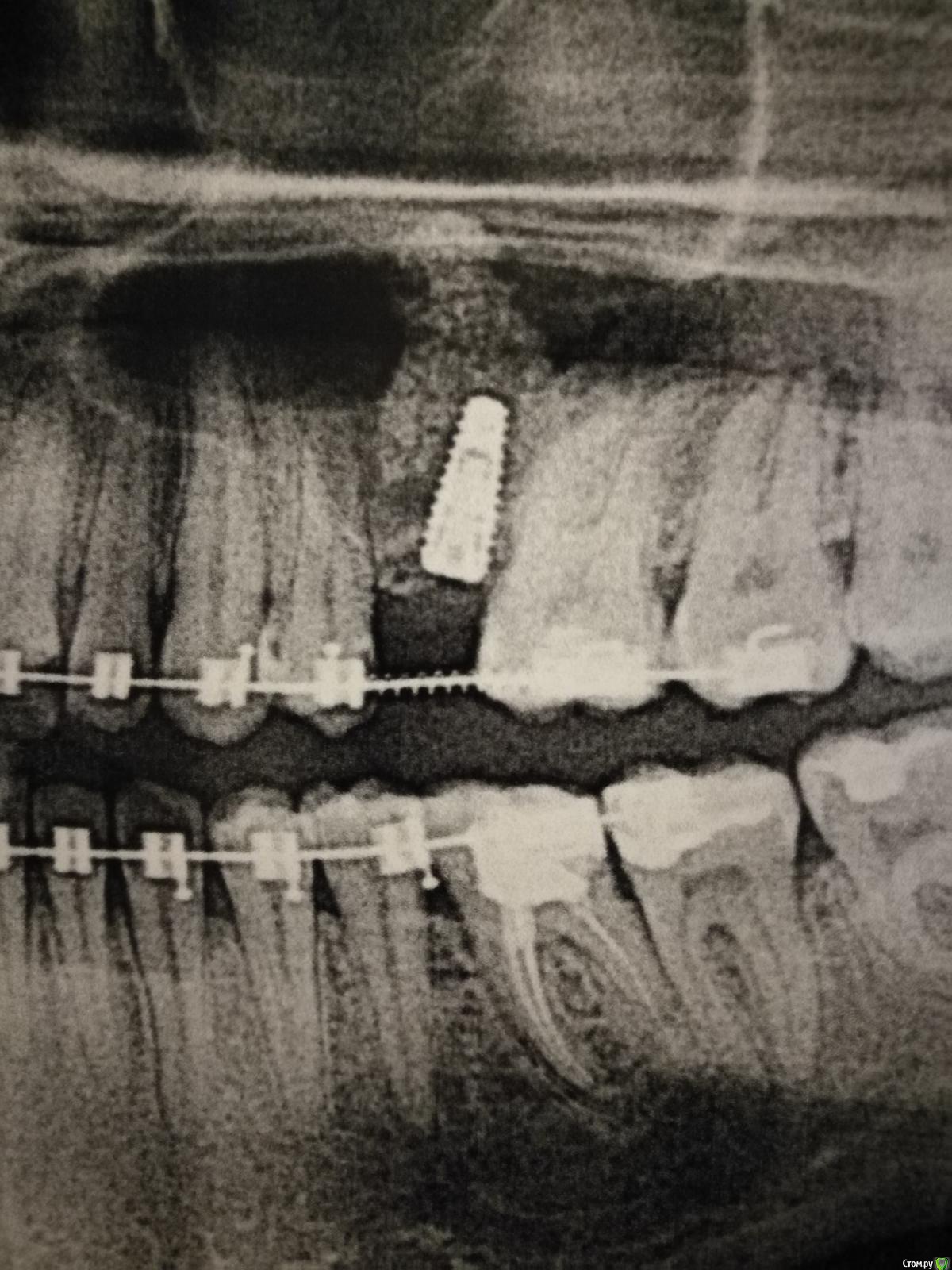
Nadin1 Опубликовано 23 декабря, 2018 Поделиться Опубликовано 23 декабря, 2018 (изменено) Здравствуйте! Нужна ваша консультация. 17 декабря был сделан открытый синус лифтинг и одномоментно установлено 2 импланта. Меня беспокоит не слишком ли близко к корню зуба установлен имплант? Мой хирург говорит, что нормально. Снимки прикрепляю. Спасибо. Изменено 23 декабря, 2018 пользователем Nadin1 Ссылка на комментарий
АнтонТЛТ Опубликовано 23 декабря, 2018 Поделиться Опубликовано 23 декабря, 2018 Нормально 5 Ссылка на комментарий
red_butler Опубликовано 25 декабря, 2018 Поделиться Опубликовано 25 декабря, 2018 Тему можно закрывать? Ссылка на комментарий
Nadin1 Опубликовано 27 декабря, 2018 Автор Поделиться Опубликовано 27 декабря, 2018 Да Ссылка на комментарий
Рекомендуемые сообщения